SFRP1 Recombinant Rabbit Monoclonal Antibody [JA11-68]
cat.: ET1704-29
Product Type: Recombinant Rabbit monoclonal IgG, primary antibodies
Species reactivity: Human, Mouse
Applications: WB, IHC-P
Clonality: Monoclonal
Clone number: JA11-68
Form: Liquid
Storage condition: Shipped at 4℃. Store at +4℃ short term (1-2 weeks). It is recommended to aliquot into single-use upon delivery. Store at -20℃ long term.
Storage buffer: 1*TBS (pH7.4), 0.05% BSA, 40% Glycerol. Preservative: 0.05% Sodium Azide.
Concentration: 1ug/ul
Purification: Protein A affinity purified.
Molecular weight: Predicted band size: 35 kDa
Isotype: IgG
Immunogen: Synthetic peptide within Human SFRP1 aa 31-80 / 314.
Positive control: SH-SY5Y cell lysate, SK-MEL-28 cell lysate, NIH/3T3 cell lysate, Mouse kidney tissue lysate, human testis tissue.
Subcellular location: Secreted.
Recommended Dilutions:
  WB
  IHC-P

1:1,000
1:1,000
Uniprot #: SwissProt: Q8N474 Human | Q8C4U3 Mouse
Alternative names: Frizzled related protein 1 FRP 1 FRP FRP-1 FRP1 FrzA SARP 2 SARP-2 SARP2 Secreted apoptosis related protein 2 Secreted apoptosis-related protein 2 Secreted frizzled related protein 1 Secreted frizzled related protein Secreted frizzled-related protein 1 SFRP 1 sFRP-1 SFRP1 SFRP1_HUMAN
Images
ET1704-29_1.jpg Fig1: Western blot analysis of SFRP1 on different lysates with Rabbit anti-SFRP1 antibody (ET1704-29) at 1/1,000 dilution.

Lane 1: SH-SY5Y cell lysate (20 µg/Lane)
Lane 2: SK-MEL-28 cell lysate (20 µg/Lane)
Lane 3: NIH/3T3 cell lysate (20 µg/Lane)
Lane 4: Mouse kidney tissue lysate (40 µg/Lane)

Predicted band size: 35 kDa
Observed band size: 35 kDa

Exposure time: 25 seconds; ECL: K1801;

4-20% SDS-PAGE gel.

Proteins were transferred to a PVDF membrane and blocked with 5% NFDM/TBST for 1 hour at room temperature. The primary antibody (ET1704-29) at 1/1,000 dilution was used in 5% NFDM/TBST at 4℃ overnight. Goat Anti-Rabbit IgG - HRP Secondary Antibody (HA1001) at 1/50,000 dilution was used for 1 hour at room temperature.
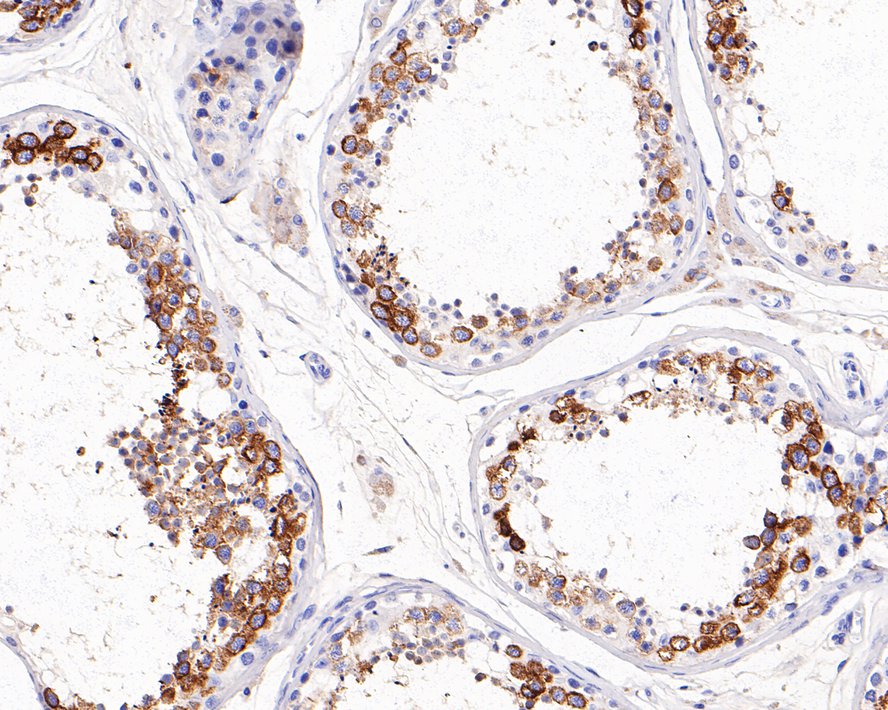
ET1704-29_2.jpg Fig2: Immunohistochemical analysis of paraffin-embedded human testis tissue with Rabbit anti-SFRP1 antibody (ET1704-29) at 1/1,000 dilution.

The section was pre-treated using heat mediated antigen retrieval with Tris-EDTA buffer (pH 9.0) for 20 minutes. The tissues were blocked in 1% BSA for 20 minutes at room temperature, washed with ddH2O and PBS, and then probed with the primary antibody (ET1704-29) at 1/1,000 dilution for 1 hour at room temperature. The detection was performed using an HRP conjugated compact polymer system. DAB was used as the chromogen. Tissues were counterstained with hematoxylin and mounted with DPX.
Note: All products are “FOR RESEARCH USE ONLY AND ARE NOT INTENDED FOR DIAGNOSTIC OR THERAPEUTIC USE”.