Aggrecan Recombinant Rabbit Monoclonal Antibody [JA40-23]
cat.: ET1704-57
Product Type: Recombinant Rabbit monoclonal IgG, primary antibodies
Species reactivity: Human, Mouse, Rat
Applications: WB, IHC-P
Clonality: Monoclonal
Clone number: JA40-23
Form: Liquid
Storage condition: Shipped at 4℃. Store at +4℃ short term (1-2 weeks). It is recommended to aliquot into single-use upon delivery. Store at -20℃ long term.
Storage buffer: 1*TBS (pH7.4), 0.05% BSA, 40% Glycerol. Preservative: 0.05% Sodium Azide.
Concentration: 1ug/ul
Purification: Protein A affinity purified.
Molecular weight: Predicted band size: 261 kDa
Isotype: IgG
Immunogen: Recombinant protein within Human Aggrecan aa 742-881 / 2530.
Positive control: Mouse articular cartilage tissue lysate, rat articular cartilage tissue lysate, rat cartilage tissue, human liver tissue.
Subcellular location: Secreted, extracellular space, extracellular matrix.
Recommended Dilutions:
  WB
  IHC-P

1:1,000
1:50-1:200
Uniprot #: SwissProt: P16112 Human | Q61282 Mouse | P07897 Rat
Alternative names: ACAN AGC 1 AGC1 AGCAN Aggrecan 1 (chondroitin sulfate proteoglycan 1, large aggregating proteoglycan, antigen identified by monoclonal A0122) Aggrecan 1 Aggrecan core protein Aggrecan proteoglycan Aggrecan structural proteoglycan of cartilage Aggrecan1 ATEGQV Cartilage specific proteoglycan core protein Chondroitin sulfate proteoglycan 1 Chondroitin sulfate proteoglycan 1 large aggregating proteoglycan antigen identified by monoclonal A0122 Chondroitin sulfate proteoglycan core protein 1 CSPG 1 CSPG1 CSPGCP JSCATE Large aggregating proteoglycan mcspg mgsk16 MSK 16 MSK16 SEDK
Images
ET1704-57_1.jpg Fig1: Western blot analysis of Aggrecan on different lysates with Rabbit anti-Aggrecan antibody (ET1704-57) at 1/1,000 dilution.

Lane 1: Mouse articular cartilage tissue lysate
Lane 2: Rat articular cartilage tissue lysate

Lysates/proteins at 40 µg/Lane.

Predicted band size: 261 kDa
Observed band size: 261 kDa

Exposure time: 1 minute; ECL: K1801;

4-20% SDS-PAGE gel.

Proteins were transferred to a PVDF membrane and blocked with 5% NFDM/TBST for 1 hour at room temperature. The primary antibody (ET1704-57) at 1/1,000 dilution was used in primary antibody dilution (K1803) at 4℃ overnight. Goat Anti-Rabbit IgG - HRP Secondary Antibody (HA1001) at 1/50,000 dilution was used for 1 hour at room temperature.
ET1704-57_2.jpg Fig2: Immunohistochemical analysis of paraffin-embedded rat cartilage tissue using anti-Aggrecan antibody. The section was pre-treated using heat mediated antigen retrieval with Tris-EDTA buffer (pH 8.0-8.4) for 20 minutes.The tissues were blocked in 5% BSA for 30 minutes at room temperature, washed with ddH2O and PBS, and then probed with the primary antibody (ET1704-57, 1/50) for 30 minutes at room temperature. The detection was performed using an HRP conjugated compact polymer system. DAB was used as the chromogen. Tissues were counterstained with hematoxylin and mounted with DPX.
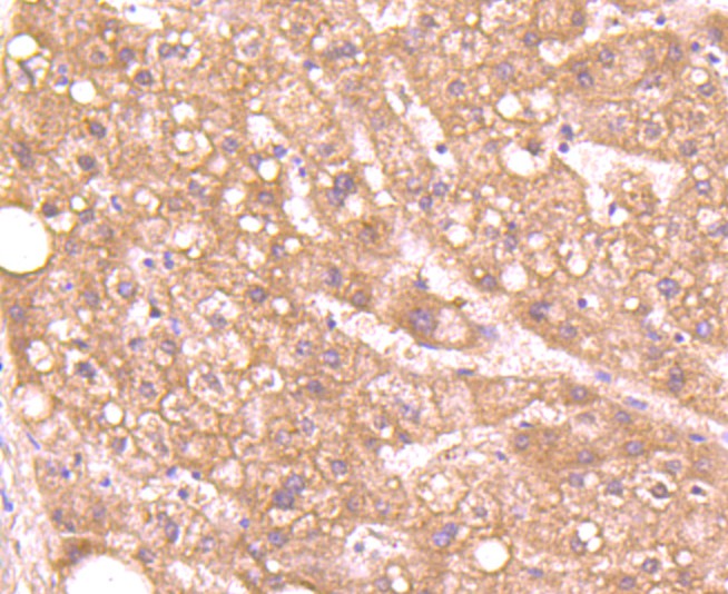
ET1704-57_3.jpg Fig3: Immunohistochemical analysis of paraffin-embedded human liver tissue using anti-Aggrecan antibody. The section was pre-treated using heat mediated antigen retrieval with Tris-EDTA buffer (pH 8.0-8.4) for 20 minutes.The tissues were blocked in 5% BSA for 30 minutes at room temperature, washed with ddH2O and PBS, and then probed with the primary antibody (ET1704-57, 1/50) for 30 minutes at room temperature. The detection was performed using an HRP conjugated compact polymer system. DAB was used as the chromogen. Tissues were counterstained with hematoxylin and mounted with DPX.
Note: All products are “FOR RESEARCH USE ONLY AND ARE NOT INTENDED FOR DIAGNOSTIC OR THERAPEUTIC USE”.