Alpha B Crystallin Recombinant Rabbit Monoclonal Antibody [JA50-32]
cat.: ET1704-60
Product Type: Recombinant Rabbit monoclonal IgG, primary antibodies
Species reactivity: Human, Rat
Applications: WB, IHC-P, IF-Cell, IF-Tissue, IP, FC
Clonality: Monoclonal
Clone number: JA50-32
Form: Liquid
Storage condition: Shipped at 4℃. Store at +4℃ short term (1-2 weeks). It is recommended to aliquot into single-use upon delivery. Store at -20℃ long term.
Storage buffer: 1*TBS (pH7.4), 0.05% BSA, 40% Glycerol. Preservative: 0.05% Sodium Azide.
Concentration: 1ug/ul
Purification: Protein A affinity purified.
Molecular weight: Predicted band size: 20 kDa
Isotype: IgG
Immunogen: Synthetic peptide within Human Alpha B Crystallin aa 126-175 / 175.
Positive control: U-2 OS cell lysate, rat heart tissue lysate, human skeletal muscle tissue lysate, Hela, human embryonic skeletal muscle tissue, human prostate tissue, human cardiac muscle tissue, rat cardiac muscle tissue, U-2 OS.
Subcellular location: Nucleus, Cytoplasm.
Recommended Dilutions:
  WB
  IF-Cell
  IF-Tissue
  IHC-P
  IP
  FC

1:500-1:2,000
1:50-1:200
1:50-1:200
1:50-1:200
Use at an assay dependent concentration.
1:1,000
Uniprot #: SwissProt: P02511 Human | P23928 Rat
Alternative names: AACRYA Alpha B crystallin Alpha crystallin B chain Alpha(B)-crystallin Alpha-crystallin B chain CRYA2 Cryab CRYAB_HUMAN Crystallin alpha B Crystallin alpha polypeptide 2 CTPP2 Heat shock 20 kD like protein Heat shock protein beta 5 Heat shock protein beta-5 HspB5 Renal carcinoma antigen NY REN 27 Renal carcinoma antigen NY-REN-27 Rosenthal fiber component
Images
ET1704-60_1.jpg Fig1: Western blot analysis of Alpha B Crystallin on different lysates with Rabbit anti-Alpha B Crystallin antibody (ET1704-60) at 1/1,000 dilution.

Lane 1: U-2 OS cell lysate

Lysates/proteins at 20 µg/Lane.

Predicted band size: 20 kDa
Observed band size: 20 kDa

Exposure time: 59 seconds; ECL: K1801;

4-20% SDS-PAGE gel.

Proteins were transferred to a PVDF membrane and blocked with 5% NFDM/TBST for 1 hour at room temperature. The primary antibody (ET1704-60) at 1/1,000 dilution was used in 5% NFDM/TBST at 4℃ overnight. Goat Anti-Rabbit IgG - HRP Secondary Antibody (HA1001) at 1/50,000 dilution was used for 1 hour at room temperature.
ET1704-60_2.jpg Fig2: Western blot analysis of Alpha B Crystallin on different lysates with Rabbit anti-Alpha B Crystallin antibody (ET1704-60) at 1/1,000 dilution.

Lane 1: Rat heart tissue lysate

Lysates/proteins at 40 µg/Lane.

Predicted band size: 20 kDa
Observed band size: 20 kDa

Exposure time: 2 seconds; ECL: K1801;

4-20% SDS-PAGE gel.

Proteins were transferred to a PVDF membrane and blocked with 5% NFDM/TBST for 1 hour at room temperature. The primary antibody (ET1704-60) at 1/1,000 dilution was used in 5% NFDM/TBST at 4℃ overnight. Goat Anti-Rabbit IgG - HRP Secondary Antibody (HA1001) at 1/50,000 dilution was used for 1 hour at room temperature.
ET1704-60_3.jpg Fig3: Western blot analysis of Alpha B Crystallin on different lysates. Proteins were transferred to a PVDF membrane and blocked with 5% BSA in PBS for 1 hour at room temperature. The primary antibody (ET1704-60, 1/500) was used in 5% BSA at room temperature for 2 hours. Goat Anti-Rabbit IgG - HRP Secondary Antibody (HA1001) at 1:20,000 dilution was used for 1 hour at room temperature.
Positive control:
Lane 1: Rat heart tissue lysate
Lane 2: Human skeletal muscle tissue lysate
ET1704-60_4.jpg Fig4: ICC staining of Alpha B Crystallin in Hela cells (green). Formalin fixed cells were permeabilized with 0.1% Triton X-100 in TBS for 10 minutes at room temperature and blocked with 10% negative goat serum for 15 minutes at room temperature. Cells were probed with the primary antibody (ET1704-60, 1/50) for 1 hour at room temperature, washed with PBS. Alexa Fluor®488 conjugate-Goat anti-Rabbit IgG was used as the secondary antibody at 1/1,000 dilution. The nuclear counter stain is DAPI (blue).
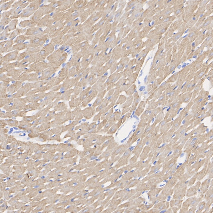
ET1704-60_5.jpg Fig5: Immunohistochemical analysis of paraffin-embedded human embryonic skeletal muscle tissue using anti-Alpha B Crystallin antibody. The section was pre-treated using heat mediated antigen retrieval with Tris-EDTA buffer (pH 9.0) for 20 minutes.The tissues were blocked in 5% BSA for 30 minutes at room temperature, washed with ddH2O and PBS, and then probed with the primary antibody (ET1704-60, 1/50) for 30 minutes at room temperature. The detection was performed using an HRP conjugated compact polymer system. DAB was used as the chromogen. Tissues were counterstained with hematoxylin and mounted with DPX.
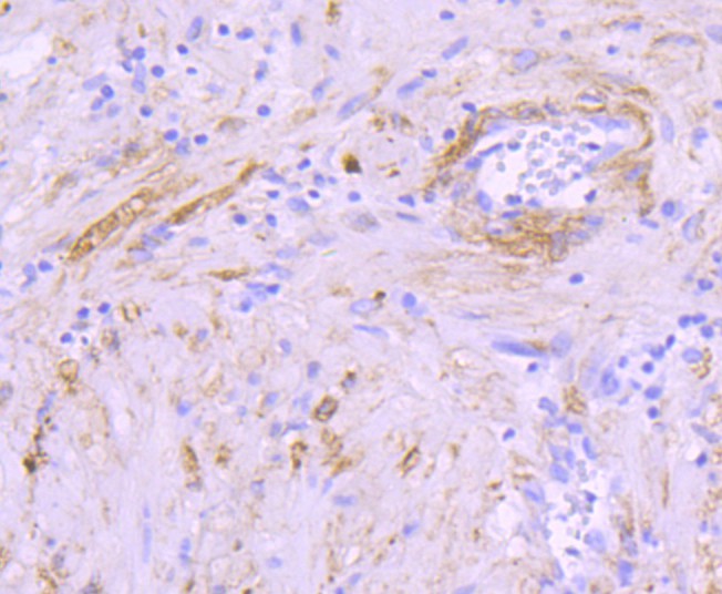
ET1704-60_6.jpg Fig6: Immunohistochemical analysis of paraffin-embedded human prostate tissue using anti-Alpha B Crystallin antibody. The section was pre-treated using heat mediated antigen retrieval with Tris-EDTA buffer (pH 9.0) for 20 minutes.The tissues were blocked in 5% BSA for 30 minutes at room temperature, washed with ddH2O and PBS, and then probed with the primary antibody (ET1704-60, 1/50) for 30 minutes at room temperature. The detection was performed using an HRP conjugated compact polymer system. DAB was used as the chromogen. Tissues were counterstained with hematoxylin and mounted with DPX.
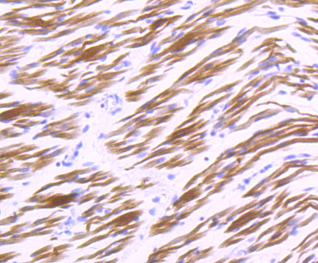
ET1704-60_7.jpg Fig7: Immunohistochemical analysis of paraffin-embedded human cardiac muscle tissue with Rabbit anti-Alpha B Crystallin antibody (ET1704-60) at 1/200 dilution.

The section was pre-treated using heat mediated antigen retrieval with Tris-EDTA buffer (pH 9.0) for 20 minutes. The tissues were blocked in 1% BSA for 20 minutes at room temperature, washed with ddH2O and PBS, and then probed with the primary antibody (ET1704-60) at 1/200 dilution for 1 hour at room temperature. The detection was performed using an HRP conjugated compact polymer system. DAB was used as the chromogen. Tissues were counterstained with hematoxylin and mounted with DPX.
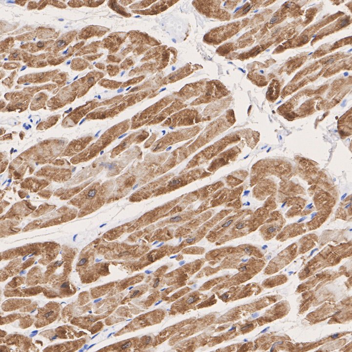
ET1704-60_8.jpg Fig8: Immunohistochemical analysis of paraffin-embedded rat cardiac muscle tissue with Rabbit anti-Alpha B Crystallin antibody (ET1704-60) at 1/200 dilution.

The section was pre-treated using heat mediated antigen retrieval with Tris-EDTA buffer (pH 9.0) for 20 minutes. The tissues were blocked in 1% BSA for 20 minutes at room temperature, washed with ddH2O and PBS, and then probed with the primary antibody (ET1704-60) at 1/200 dilution for 1 hour at room temperature. The detection was performed using an HRP conjugated compact polymer system. DAB was used as the chromogen. Tissues were counterstained with hematoxylin and mounted with DPX.
ET1704-60_9.jpg Fig9: Flow cytometric analysis of MCF7 (left, negative) and U-2 OS (right, positive) cells labeling Alpha B Crystallin.

Cells were fixed and permeabilized. Then stained with the primary antibody (ET1704-60, 1/1,000) (red) compared with Rabbit IgG Isotype Control (green). After incubation of the primary antibody at +4℃ for an hour, the cells were stained with a iFluor™ 488 conjugate-Goat anti-Rabbit IgG Secondary antibody (HA1121) at 1/1,000 dilution for 30 minutes at +4℃. Unlabelled sample was used as a control (cells without incubation with primary antibody; black).
Note: All products are “FOR RESEARCH USE ONLY AND ARE NOT INTENDED FOR DIAGNOSTIC OR THERAPEUTIC USE”.