ULK1 Recombinant Rabbit Monoclonal Antibody [JA58-36]
cat.: ET1704-63
Product Type: Recombinant Rabbit monoclonal IgG, primary antibodies
Species reactivity: Human, Mouse, Rat
Applications: WB, IHC-P
Clonality: Monoclonal
Clone number: JA58-36
Form: Liquid
Storage condition: Shipped at 4℃. Store at +4℃ short term (1-2 weeks). It is recommended to aliquot into single-use upon delivery. Store at -20℃ long term.
Storage buffer: 1*TBS (pH7.4), 0.05% BSA, 40% Glycerol. Preservative: 0.05% Sodium Azide.
Concentration: 1ug/ul
Purification: Protein A affinity purified.
Molecular weight: Predicted band size: 113 kDa
Isotype: IgG
Immunogen: Synthetic peptide within Human ULK1 aa 930-979 / 1050.
Positive control: A-172 cell lysate, SH-SY5Y cell lysate, U-2 OS cell lysate, MCF7 cell lysate, mouse spleen tissue lysate, rat spleen tissue lysate, HepG2 cell lysate, C2C12 cell lysate, MEF cell lysate, PC-12 cell lysate, human spleen tissue, rat skeletal muscle tissue, human colon carcinoma tissue, mouse brain tissue.
Subcellular location: Cytosol, Preautophagosomal structure.
Recommended Dilutions:
  WB
  IHC-P

1:5,000
1:50-1:200
Uniprot #: SwissProt: O75385 Human | O70405 Mouse | D3ZMG0 Rat
Alternative names: ATG 1 ATG1 ATG1 autophagy related 1 homolog ATG1A Autophagy related protein 1 homolog Autophagy-related protein 1 homolog FLJ38455 FLJ46475 hATG1 KIAA0722 Serine/threonine protein kinase ULK1 Serine/threonine protein kinase Unc51.1 Serine/threonine-protein kinase ULK1 ULK 1 ULK1 ULK1_HUMAN Unc 51 (C. elegans) like kinase 1 UNC 51 Unc 51 like kinase 1 Unc-51 like kinase 1 (C. elegans) Unc-51-like kinase 1 UNC51 UNC51, C. elegans, homolog of Unc51.1
Images
ET1704-63_1.jpg Fig1: Western blot analysis of ULK1 on different lysates with Rabbit anti-ULK1 antibody (ET1704-63) at 1/5,000 dilution.

Lane 1: A-172 cell lysate (15 µg/Lane)
Lane 2: SH-SY5Y cell lysate (15 µg/Lane)
Lane 3: U-2 OS cell lysate (15 µg/Lane)
Lane 4: MCF7 cell lysate (15 µg/Lane)
Lane 5: Mouse spleen tissue lysate (20 µg/Lane)
Lane 6: Rat spleen tissue lysate (20 µg/Lane)

Predicted band size: 113 kDa
Observed band size: 130 kDa

Exposure time: 1 minute 30 seconds;

4-20% SDS-PAGE gel.

Proteins were transferred to a PVDF membrane and blocked with 5% NFDM/TBST for 1 hour at room temperature. The primary antibody (ET1704-63) at 1/5,000 dilution was used in 5% NFDM/TBST at 4℃ overnight. Goat Anti-Rabbit IgG - HRP Secondary Antibody (HA1001) at 1/50,000 dilution was used for 1 hour at room temperature.
ET1704-63_2.jpg Fig2: Western blot analysis of ULK1 on different lysates with Rabbit anti-ULK1 antibody (ET1704-63) at 1/5,000 dilution.

Lane 1: HepG2 cell lysate
Lane 2: C2C12 cell lysate
Lane 3: MEF cell lysate
Lane 4: PC-12 cell lysate

Lysates/proteins at 20 µg/Lane.

Predicted band size: 113 kDa
Observed band size: 130 kDa

Exposure time: 6 seconds; ECL: K1801;

4-20% SDS-PAGE gel.

Proteins were transferred to a PVDF membrane and blocked with 5% NFDM/TBST for 1 hour at room temperature. The primary antibody (ET1704-63) at 1/5,000 dilution was used in 5% NFDM/TBST at 4℃ overnight. Goat Anti-Rabbit IgG - HRP Secondary Antibody (HA1001) at 1/50,000 dilution was used for 1 hour at room temperature.
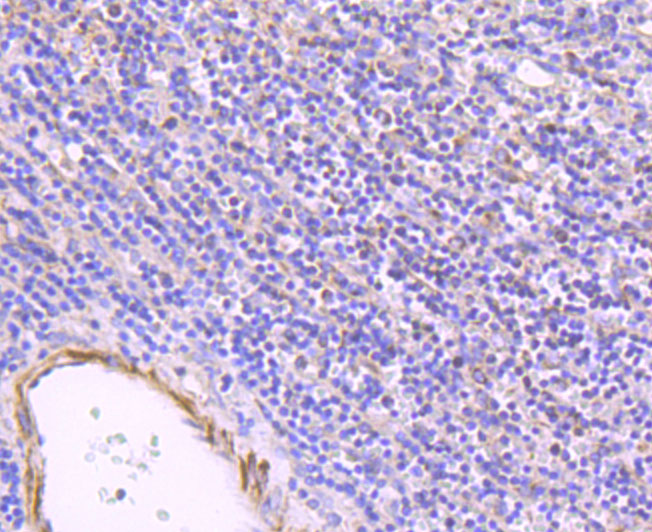
ET1704-63_3.jpg Fig3: Immunohistochemical analysis of paraffin-embedded human spleen tissue using anti-ULK1 antibody. The section was pre-treated using heat mediated antigen retrieval with Tris-EDTA buffer (pH 8.0-8.4) for 20 minutes.The tissues were blocked in 5% BSA for 30 minutes at room temperature, washed with ddH2O and PBS, and then probed with the primary antibody (ET1704-63, 1/50) for 30 minutes at room temperature. The detection was performed using an HRP conjugated compact polymer system. DAB was used as the chromogen. Tissues were counterstained with hematoxylin and mounted with DPX.
ET1704-63_4.jpg Fig4: Immunohistochemical analysis of paraffin-embedded rat skeletal muscle tissue using anti-ULK1 antibody. The section was pre-treated using heat mediated antigen retrieval with Tris-EDTA buffer (pH 8.0-8.4) for 20 minutes.The tissues were blocked in 5% BSA for 30 minutes at room temperature, washed with ddH2O and PBS, and then probed with the primary antibody (ET1704-63, 1/50) for 30 minutes at room temperature. The detection was performed using an HRP conjugated compact polymer system. DAB was used as the chromogen. Tissues were counterstained with hematoxylin and mounted with DPX.
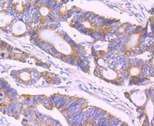
ET1704-63_5.jpg Fig5: Immunohistochemical analysis of paraffin-embedded human colon carcinoma tissue using anti-ULK1 antibody. The section was pre-treated using heat mediated antigen retrieval with Tris-EDTA buffer (pH 8.0-8.4) for 20 minutes.The tissues were blocked in 5% BSA for 30 minutes at room temperature, washed with ddH2O and PBS, and then probed with the primary antibody (ET1704-63, 1/50) for 30 minutes at room temperature. The detection was performed using an HRP conjugated compact polymer system. DAB was used as the chromogen. Tissues were counterstained with hematoxylin and mounted with DPX.
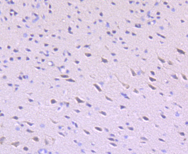
ET1704-63_6.jpg Fig6: Immunohistochemical analysis of paraffin-embedded mouse brain tissue using anti-ULK1 antibody. The section was pre-treated using heat mediated antigen retrieval with Tris-EDTA buffer (pH 8.0-8.4) for 20 minutes.The tissues were blocked in 5% BSA for 30 minutes at room temperature, washed with ddH2O and PBS, and then probed with the primary antibody (ET1704-63, 1/50) for 30 minutes at room temperature. The detection was performed using an HRP conjugated compact polymer system. DAB was used as the chromogen. Tissues were counterstained with hematoxylin and mounted with DPX.
Note: All products are “FOR RESEARCH USE ONLY AND ARE NOT INTENDED FOR DIAGNOSTIC OR THERAPEUTIC USE”.