 
	            	| Product Type: | Recombinant Rabbit monoclonal IgG, primary antibodies | 
|---|---|
| Species reactivity: | Human | 
| Applications: | WB, IHC-P | 
| Clonality: | Monoclonal | 
| Clone number: | JM66-31 | 
| Form: | Liquid | 
| Storage condition: | Shipped at 4℃. Store at +4℃ short term (1-2 weeks). It is recommended to aliquot into single-use upon delivery. Store at -20℃ long term. | 
| Storage buffer: | 1*TBS (pH7.4), 0.05% BSA, 40% Glycerol. Preservative: 0.05% Sodium Azide. | 
| Concentration: | 1ug/ul | 
| Purification: | Protein A affinity purified. | 
| Molecular weight: | Predicted band size: 125 kDa | 
| Isotype: | IgG | 
| Immunogen: | Synthetic peptide within N-terminal human JAK3. | 
| Positive control: | TF-1 cell lysates, Hela, human spleen tissue, human tonsil tissue. | 
| Subcellular location: | Endomembrane system, Cytoplasm. | 
| Recommended Dilutions: WB IHC-P | 1:1,000 1:50-1:200 | 
| Uniprot #: | SwissProt: P52333 Human | 
| Alternative names: | EC 2.7.10.2 JAK 3 JAK L JAK-3 Jak3 JAK3 HUMAN JAK3_HUMAN JAKL Janus kinase 3 (a protein tyrosine kinase, leukocyte) Janus kinase 3 Janus Kinase3 L JAK L-JAK Leukocyte janus kinase LJAK Protein tyrosine kinase leukocyte Tyrosine protein kinase JAK3 Tyrosine-protein kinase JAK3 | 
|   | Fig1:
	        				Western blot analysis of JAK3 on TF-1 cell lysates with Rabbit anti-JAK3 antibody (ET1705-1) at 1/1,000 dilution. Lysates/proteins at 20 µg/Lane. Predicted band size: 125 kDa Observed band size: 125 kDa Exposure time: 3 minutes; ECL: K1802; 4-20% SDS-PAGE gel. Proteins were transferred to a PVDF membrane and blocked with 5% NFDM/TBST for 1 hour at room temperature. The primary antibody (ET1705-1) at 1/1,000 dilution was used in 5% NFDM/TBST at 4℃ overnight. Goat Anti-Rabbit IgG - HRP Secondary Antibody (HA1001) at 1/50,000 dilution was used for 1 hour at room temperature. | 
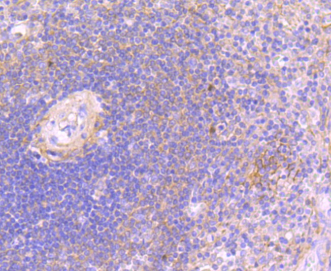
|   | Fig2: Immunohistochemical analysis of paraffin-embedded human spleen tissue using anti-JAK3 antibody. The section was pre-treated using heat mediated antigen retrieval with Tris-EDTA buffer (pH 8.0-8.4) for 20 minutes.The tissues were blocked in 5% BSA for 30 minutes at room temperature, washed with ddH2O and PBS, and then probed with the primary antibody (ET1705-1, 1/50) for 30 minutes at room temperature. The detection was performed using an HRP conjugated compact polymer system. DAB was used as the chromogen. Tissues were counterstained with hematoxylin and mounted with DPX. | 
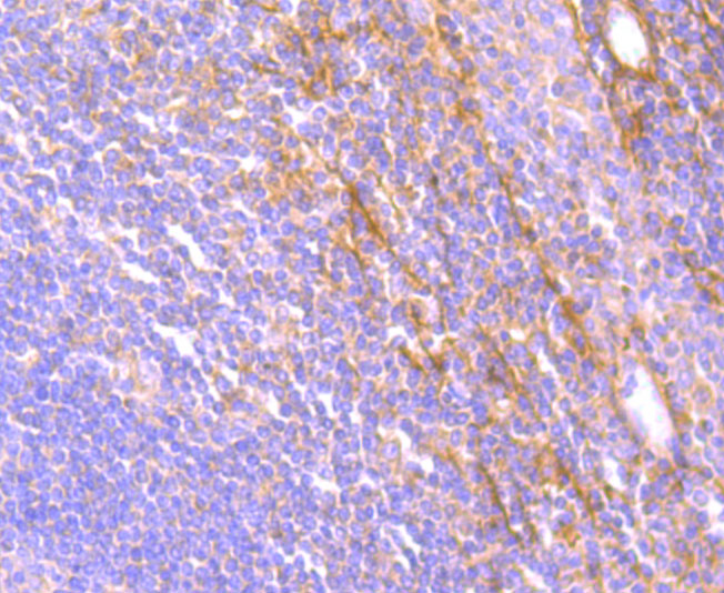
|   | Fig3: Immunohistochemical analysis of paraffin-embedded human tonsil tissue using anti-JAK3 antibody. The section was pre-treated using heat mediated antigen retrieval with Tris-EDTA buffer (pH 8.0-8.4) for 20 minutes.The tissues were blocked in 5% BSA for 30 minutes at room temperature, washed with ddH2O and PBS, and then probed with the primary antibody (ET1705-1, 1/50) for 30 minutes at room temperature. The detection was performed using an HRP conjugated compact polymer system. DAB was used as the chromogen. Tissues were counterstained with hematoxylin and mounted with DPX. |