CD1a Recombinant Rabbit Monoclonal Antibody [JM21-33]
cat.: ET1705-17
Product Type: Recombinant Rabbit monoclonal IgG, primary antibodies
Species reactivity: Human
Applications: WB, IHC-P, IF-Tissue
Clonality: Monoclonal
Clone number: JM21-33
Form: Liquid
Storage condition: Shipped at 4℃. Store at +4℃ short term (1-2 weeks). It is recommended to aliquot into single-use upon delivery. Store at -20℃ long term.
Storage buffer: 1*TBS (pH7.4), 0.05% BSA, 40% Glycerol. Preservative: 0.05% Sodium Azide.
Concentration: 1ug/ul
Purification: Protein A affinity purified.
Molecular weight: Predicted band size: 37 kDa
Isotype: IgG
Immunogen: Synthetic peptide within Human CD1a aa 16-65 / 327.
Positive control: Jurkat cell lysate, MOLT-4 cell lysate, human thymoma tissue, human thymus tissue, human skin tissue, human tonsil tissue.
Subcellular location: Cell membrane. Endosome membrane.
Recommended Dilutions:
  WB
  IHC-P
  IF-Tissue

1:2,000
1:200-1:500
1:2,000
Uniprot #: SwissProt: P06126 Human
Alternative names: CD 1a CD1 CD1a CD1A Antigen CD1A antigen, a polypeptide CD1a molecule CD1A_HUMAN cluster of differentiation 1 A cortical thymocyte antigen CD1A differentiation antigen CD1 alpha 3 epidermal dendritic cell marker CD1a FCB 6 FCB6 HTA 1 HTA1 hTa1 thymocyte antigen OTTHUMP00000018907 R 4 R4 T 6 T-cell surface antigen T6/Leu-6 T-cell surface glycoprotein CD1a T6
Images
ET1705-17_1.jpg Fig1: Western blot analysis of CD1a on different lysates with Rabbit anti-CD1a antibody (ET1705-17) at 1/2,000 dilution.

Lane 1: Jurkat cell lysate
Lane 2: MOLT-4 cell lysate
Lane 3: HeLa cell lysate (negative)

Lysates/proteins at 20 µg/Lane.

Predicted band size: 37 kDa
Observed band size: 50 kDa

Exposure time: 3 minutes; ECL: K1802;
4-20% SDS-PAGE gel.

Proteins were transferred to a PVDF membrane and blocked with 5% NFDM/TBST for 1 hour at room temperature. The primary antibody (ET1705-17) at 1/2,000 dilution was used in 5% NFDM/TBST at 4℃ overnight. Goat Anti-Rabbit IgG - HRP Secondary Antibody (HA1001) at 1/50,000 dilution was used for 1 hour at room temperature.
ET1705-17_2.jpg Fig2: Application: IF-Tissue

Species: Human

Site: skin

Sample: Paraffin-embedded section

Antibody concentration: 1/2,000
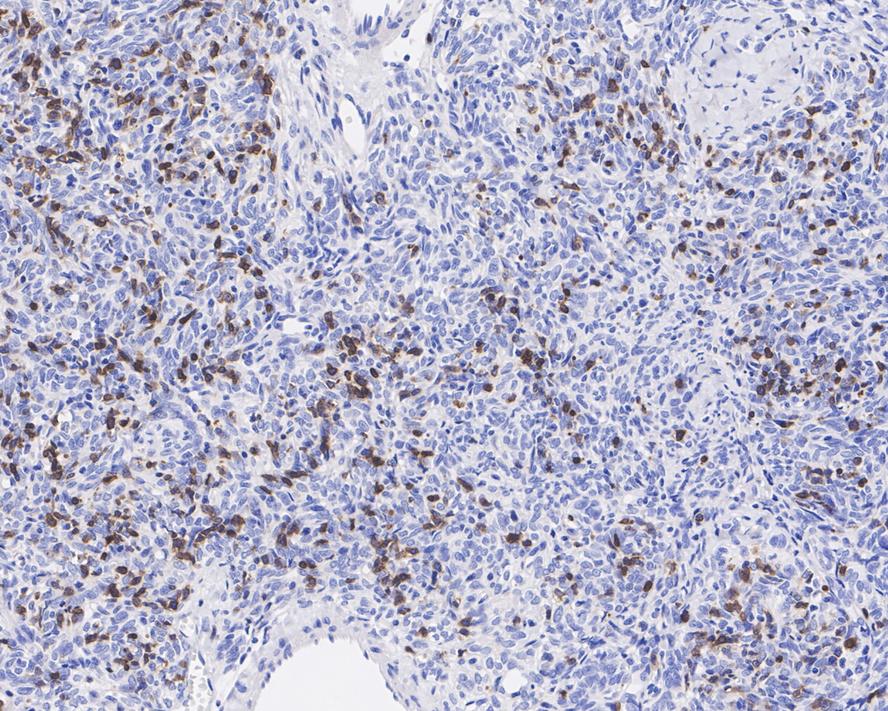
ET1705-17_3.jpg Fig3: Immunohistochemical analysis of paraffin-embedded human thymoma tissue with Rabbit anti-CD1a antibody (ET1705-17) at 1/200 dilution.

The section was pre-treated using heat mediated antigen retrieval with Tris-EDTA buffer (pH 9.0) for 20 minutes. The tissues were blocked in 1% BSA for 20 minutes at room temperature, washed with ddH2O and PBS, and then probed with the primary antibody (ET1705-17) at 1/200 dilution for 1 hour at room temperature. The detection was performed using an HRP conjugated compact polymer system. DAB was used as the chromogen. Tissues were counterstained with hematoxylin and mounted with DPX.
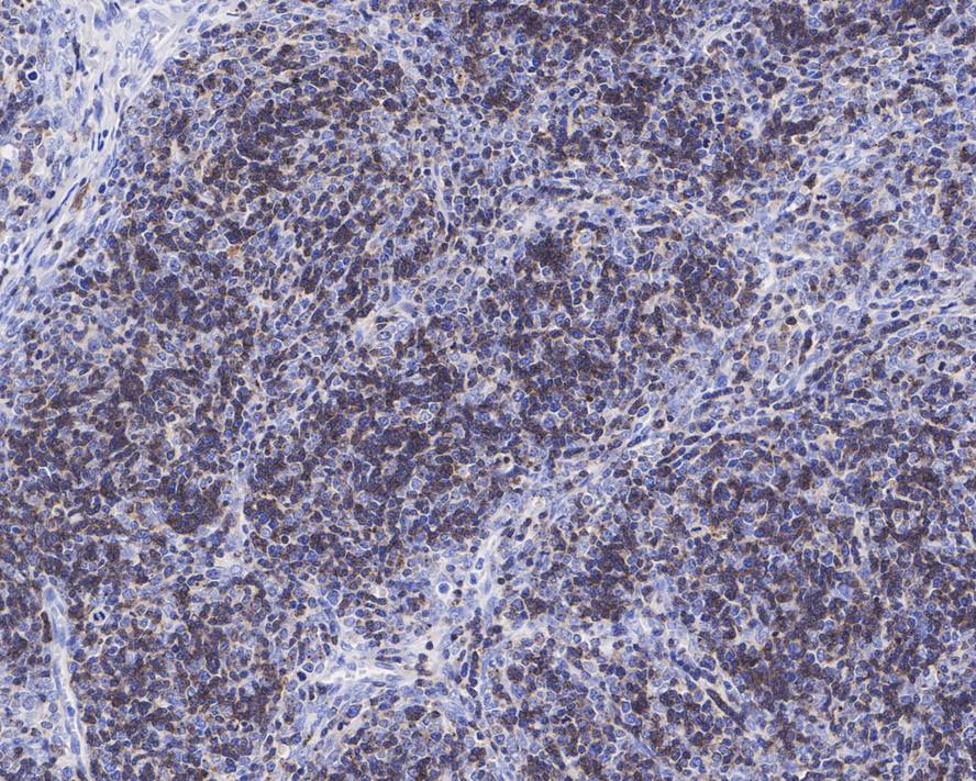
ET1705-17_4.jpg Fig4: Immunohistochemical analysis of paraffin-embedded human thymus tissue with Rabbit anti-CD1a antibody (ET1705-17) at 1/200 dilution.

The section was pre-treated using heat mediated antigen retrieval with Tris-EDTA buffer (pH 9.0) for 20 minutes. The tissues were blocked in 1% BSA for 20 minutes at room temperature, washed with ddH2O and PBS, and then probed with the primary antibody (ET1705-17) at 1/200 dilution for 1 hour at room temperature. The detection was performed using an HRP conjugated compact polymer system. DAB was used as the chromogen. Tissues were counterstained with hematoxylin and mounted with DPX.
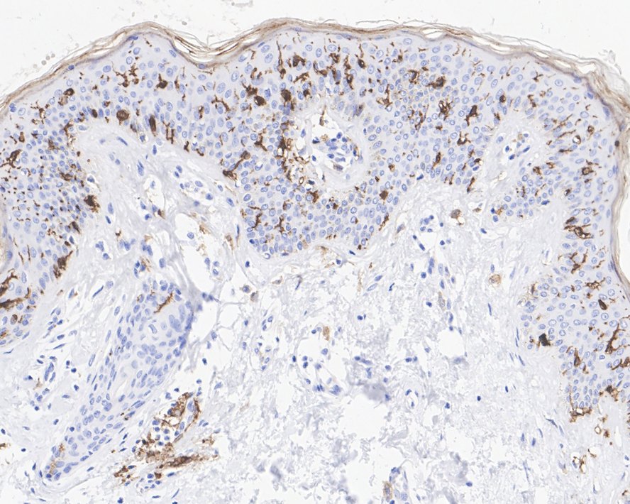
ET1705-17_5.jpg Fig5: Immunohistochemical analysis of paraffin-embedded human skin tissue with Rabbit anti-CD1a antibody (ET1705-17) at 1/500 dilution.

The section was pre-treated using heat mediated antigen retrieval with Tris-EDTA buffer (pH 9.0) for 20 minutes. The tissues were blocked in 1% BSA for 20 minutes at room temperature, washed with ddH2O and PBS, and then probed with the primary antibody (ET1705-17) at 1/500 dilution for 1 hour at room temperature. The detection was performed using an HRP conjugated compact polymer system. DAB was used as the chromogen. Tissues were counterstained with hematoxylin and mounted with DPX.
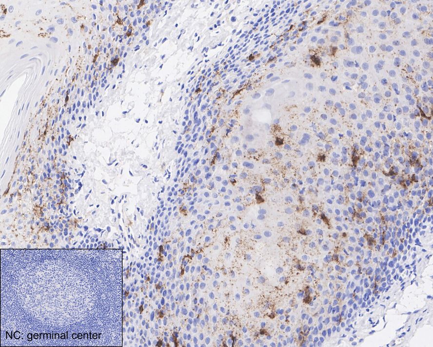
ET1705-17_6.jpg Fig6: Immunohistochemical analysis of paraffin-embedded human tonsil tissue with Rabbit anti-CD1a antibody (ET1705-17) at 1/200 dilution.

The section was pre-treated using heat mediated antigen retrieval with Tris-EDTA buffer (pH 9.0) for 20 minutes. The tissues were blocked in 1% BSA for 20 minutes at room temperature, washed with ddH2O and PBS, and then probed with the primary antibody (ET1705-17) at 1/200 dilution for 1 hour at room temperature. The detection was performed using an HRP conjugated compact polymer system. DAB was used as the chromogen. Tissues were counterstained with hematoxylin and mounted with DPX.
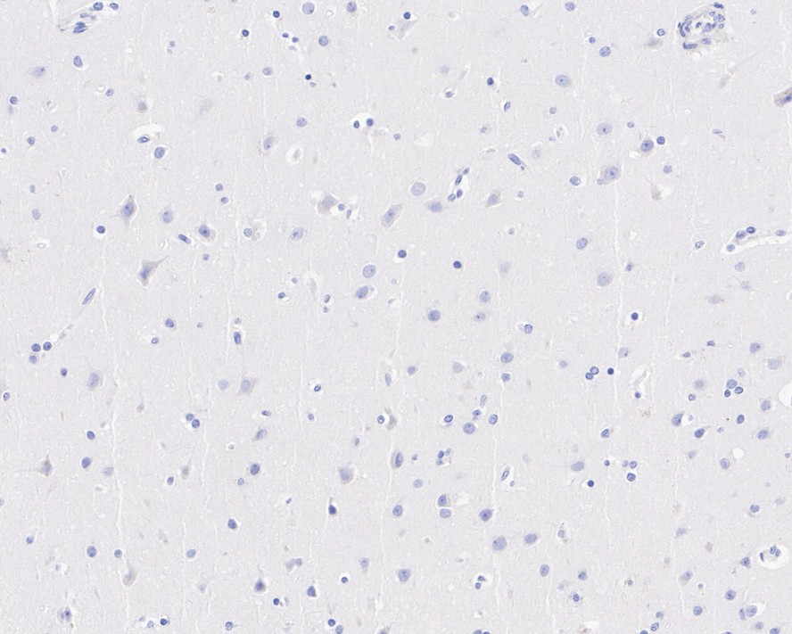
ET1705-17_7.jpg Fig7: Immunohistochemical analysis of paraffin-embedded human brain tissue (negative) with Rabbit anti-CD1a antibody (ET1705-17) at 1/200 dilution.

The section was pre-treated using heat mediated antigen retrieval with Tris-EDTA buffer (pH 9.0) for 20 minutes. The tissues were blocked in 1% BSA for 20 minutes at room temperature, washed with ddH2O and PBS, and then probed with the primary antibody (ET1705-17) at 1/200 dilution for 1 hour at room temperature. The detection was performed using an HRP conjugated compact polymer system. DAB was used as the chromogen. Tissues were counterstained with hematoxylin and mounted with DPX.
Note: All products are “FOR RESEARCH USE ONLY AND ARE NOT INTENDED FOR DIAGNOSTIC OR THERAPEUTIC USE”.