IKB epsilon Recombinant Rabbit Monoclonal Antibody [JM62-63]
cat.: ET1705-40
Product Type: Recombinant Rabbit monoclonal IgG, primary antibodies
Species reactivity: Human
Applications: WB, IHC-P, IP
Clonality: Monoclonal
Clone number: JM62-63
Form: Liquid
Storage condition: Shipped at 4℃. Store at +4℃ short term (1-2 weeks). It is recommended to aliquot into single-use upon delivery. Store at -20℃ long term.
Storage buffer: 1*TBS (pH7.4), 0.05% BSA, 40% Glycerol. Preservative: 0.05% Sodium Azide.
Concentration: 1ug/ul
Purification: Protein A affinity purified.
Molecular weight: Predicted band size: 53 kDa
Isotype: IgG
Immunogen: Synthetic peptide within Human IKB epsilon aa 175-224 / 500.
Positive control: THP-1 cell lysate, Jurkat cell lysate, Hela cell lysate, human tonsil tissue.
Subcellular location: Cytoplasm.
Recommended Dilutions:
  WB
  IHC-P

1:500-1:1,000
1:50-1:200
Uniprot #: SwissProt: O00221 Human
Alternative names: I kappa B epsilon I-kappa-B-epsilon IkappaBepsilon IkB E IkB-E IkB-epsilon IKBE IKBE_HUMAN MGC72568 NF kappa B inhibitor epsilon NF kappa BIE NF-kappa-B inhibitor epsilon NF-kappa-BIE NFkappa BIE NFkappaB inhibitor epsilon NFKBIE Nuclear factor of kappa light polypeptide gene enhancer in B cells inhibitor epsilon OTTHUMP00000016522 Slc35b2 solute carrier family 35, member B2
Images
ET1705-40_1.jpg Fig1: Western blot analysis of IKB epsilon on different lysates. Proteins were transferred to a PVDF membrane and blocked with 5% BSA in PBS for 1 hour at room temperature. The primary antibody (ET1705-40, 1/1,000) was used in 5% BSA at room temperature for 2 hours. Goat Anti-Rabbit IgG - HRP Secondary Antibody (HA1001) at 1:200,000 dilution was used for 1 hour at room temperature.
Positive control:
Lane 1: THP-1 cell lysate
Lane 2: Jurkat cell lysate
Lane 3: Hela cell lysate

Predicted band size: 53 kDa
Observed band size: 40 kDa
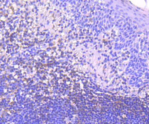
ET1705-40_2.jpg Fig2: Immunohistochemical analysis of paraffin-embedded human tonsil tissue using anti-IKB epsilon antibody. The section was pre-treated using heat mediated antigen retrieval with Tris-EDTA buffer (pH 9.0) for 20 minutes.The tissues were blocked in 1% BSA for 30 minutes at room temperature, washed with ddH2O and PBS, and then probed with the primary antibody (ET1705-40, 1/50) for 30 minutes at room temperature. The detection was performed using an HRP conjugated compact polymer system. DAB was used as the chromogen. Tissues were counterstained with hematoxylin and mounted with DPX.
Note: All products are “FOR RESEARCH USE ONLY AND ARE NOT INTENDED FOR DIAGNOSTIC OR THERAPEUTIC USE”.