gamma Synuclein Recombinant Rabbit Monoclonal Antibody [JM90-32]
cat.: ET1705-48
Product Type: Recombinant Rabbit monoclonal IgG, primary antibodies
Species reactivity: Human, Rat
Applications: WB, IF-Cell, IHC-P, FC, IP
Clonality: Monoclonal
Clone number: JM90-32
Form: Liquid
Storage condition: Shipped at 4℃. Store at +4℃ short term (1-2 weeks). It is recommended to aliquot into single-use upon delivery. Store at -20℃ long term.
Storage buffer: 1*TBS (pH7.4), 0.05% BSA, 40% Glycerol. Preservative: 0.05% Sodium Azide.
Concentration: 1ug/ul
Purification: Protein A affinity purified.
Molecular weight: Predicted band size: 13 kDa
Isotype: IgG
Immunogen: Synthetic peptide within Human gamma Synuclein aa 78-127 / 127.
Positive control: Rat kidney tissue lysates, Hela, rat brain tissue, human lung tissue, human breast tissue, rat bladder tissue.
Subcellular location: Cytoplasm. Cytoskeleton. Centrosome.
Recommended Dilutions:
  WB
  IF-Cell
  IHC-P
  FC
  IP

1:500-1:2,000
1:50-1:200
1:50-1:1,000
1:50-1:100
Use at an assay dependent concentration.
Uniprot #: SwissProt: O76070 Human | Q63544 Rat
Alternative names: BCSG1 Breast cancer specific gene 1 protein Breast cancer specific protein 1 Breast cancer-specific gene 1 protein Gamma synuclein Gamma-synuclein Persyn PRSN SNCG SR Synoretin Synuclein gamma synuclein, gamma (breast cancer-specific protein 1) SYUG_HUMAN
Images
ET1705-48_1.jpg Fig1: Western blot analysis of gamma Synuclein on rat kidney tissue lysates. Proteins were transferred to a PVDF membrane and blocked with 5% BSA in PBS for 1 hour at room temperature. The primary antibody (ET1705-48, 1/500) was used in 5% BSA at room temperature for 2 hours. Goat Anti-Rabbit IgG - HRP Secondary Antibody (HA1001) at 1:200,000 dilution was used for 1 hour at room temperature.
ET1705-48_2.jpg Fig2: ICC staining of gamma Synuclein in Hela cells (green). Formalin fixed cells were permeabilized with 0.1% Triton X-100 in TBS for 10 minutes at room temperature and blocked with 10% negative goat serum for 15 minutes at room temperature. Cells were probed with the primary antibody (ET1705-48, 1/50) for 1 hour at room temperature, washed with PBS. Alexa Fluor®488 conjugate-Goat anti-Rabbit IgG was used as the secondary antibody at 1/1,000 dilution. The nuclear counter stain is DAPI (blue).
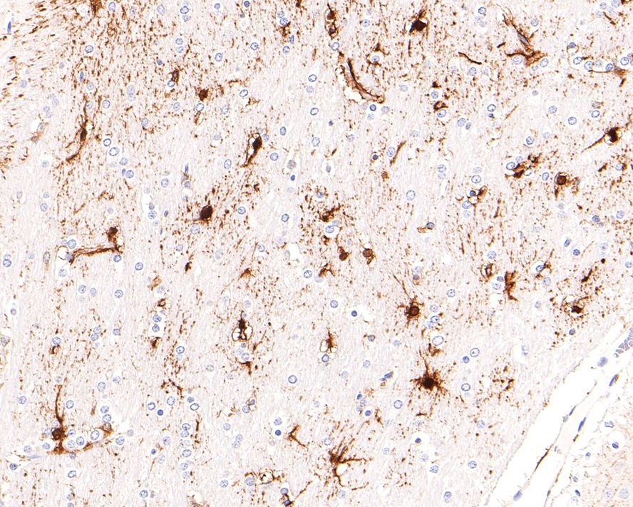
ET1705-48_3.jpg Fig3: Immunohistochemical analysis of paraffin-embedded rat brain tissue with Rabbit anti-gamma Synuclein antibody (ET1705-48) at 1/400 dilution.

The section was pre-treated using heat mediated antigen retrieval with Tris-EDTA buffer (pH 9.0) for 20 minutes. The tissues were blocked in 1% BSA for 20 minutes at room temperature, washed with ddH2O and PBS, and then probed with the primary antibody (ET1705-48) at 1/400 dilution for 1 hour at room temperature. The detection was performed using an HRP conjugated compact polymer system. DAB was used as the chromogen. Tissues were counterstained with hematoxylin and mounted with DPX.
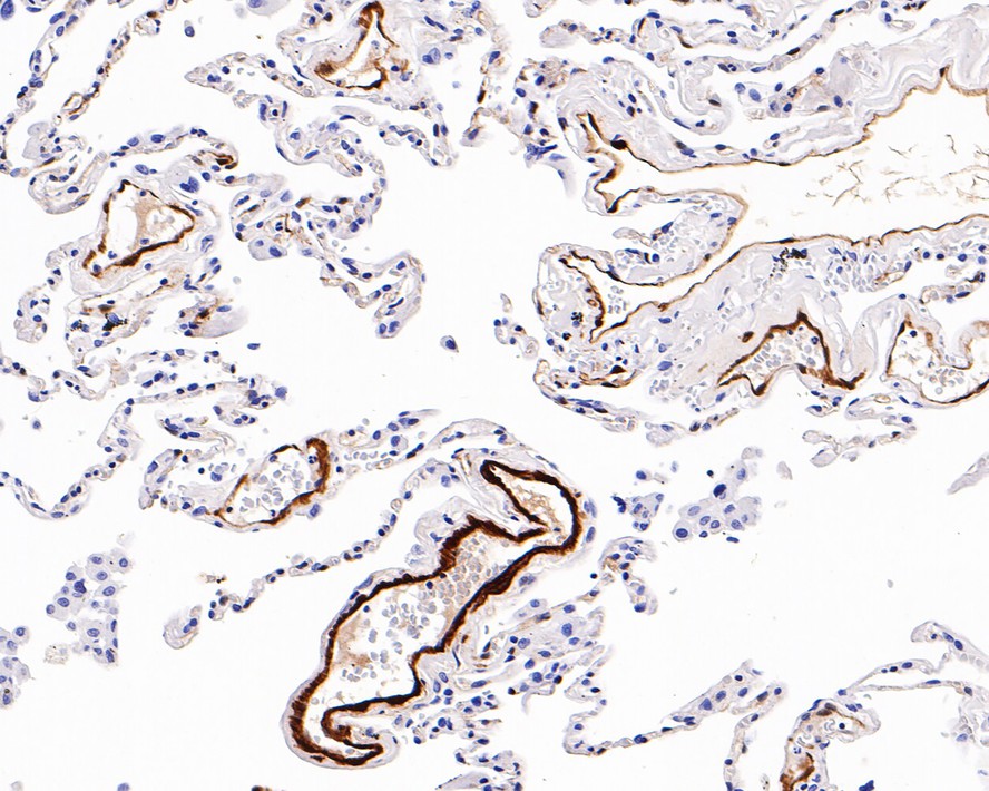
ET1705-48_4.jpg Fig4: Immunohistochemical analysis of paraffin-embedded human lung tissue with Rabbit anti-gamma Synuclein antibody (ET1705-48) at 1/1,000 dilution.

The section was pre-treated using heat mediated antigen retrieval with Tris-EDTA buffer (pH 9.0) for 20 minutes. The tissues were blocked in 1% BSA for 20 minutes at room temperature, washed with ddH2O and PBS, and then probed with the primary antibody (ET1705-48) at 1/1,000 dilution for 1 hour at room temperature. The detection was performed using an HRP conjugated compact polymer system. DAB was used as the chromogen. Tissues were counterstained with hematoxylin and mounted with DPX.
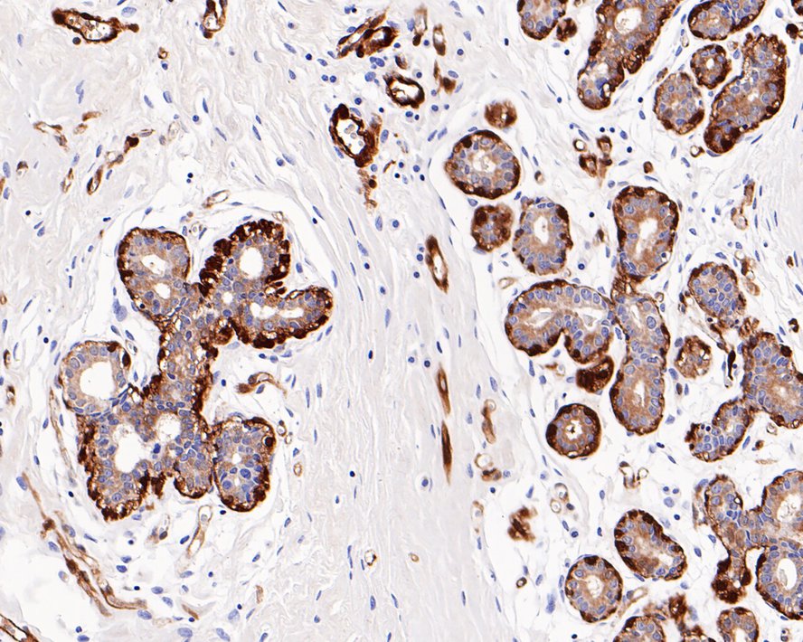
ET1705-48_5.jpg Fig5: Immunohistochemical analysis of paraffin-embedded human breast tissue with Rabbit anti-gamma Synuclein antibody (ET1705-48) at 1/1,000 dilution.

The section was pre-treated using heat mediated antigen retrieval with Tris-EDTA buffer (pH 9.0) for 20 minutes. The tissues were blocked in 1% BSA for 20 minutes at room temperature, washed with ddH2O and PBS, and then probed with the primary antibody (ET1705-48) at 1/1,000 dilution for 1 hour at room temperature. The detection was performed using an HRP conjugated compact polymer system. DAB was used as the chromogen. Tissues were counterstained with hematoxylin and mounted with DPX.
ET1705-48_6.jpg Fig6: Immunohistochemical analysis of paraffin-embedded rat bladder tissue using anti-gamma Synuclein antibody. The section was pre-treated using heat mediated antigen retrieval with Tris-EDTA buffer (pH 9.0) for 20 minutes.The tissues were blocked in 1% BSA for 30 minutes at room temperature, washed with ddH2O and PBS, and then probed with the primary antibody (ET1705-48, 1/50) for 30 minutes at room temperature. The detection was performed using an HRP conjugated compact polymer system. DAB was used as the chromogen. Tissues were counterstained with hematoxylin and mounted with DPX.
ET1705-48_7.jpg Fig7: Flow cytometric analysis of gamma Synuclein was done on Hela cells. The cells were fixed, permeabilized and stained with the primary antibody (ET1705-48, 1/50) (red). After incubation of the primary antibody at room temperature for an hour, the cells were stained with a Alexa Fluor®488 conjugate-Goat anti-Rabbit IgG Secondary antibody at 1/1,000 dilution for 30 minutes.Unlabelled sample was used as a control (cells without incubation with primary antibody; black).
Note: All products are “FOR RESEARCH USE ONLY AND ARE NOT INTENDED FOR DIAGNOSTIC OR THERAPEUTIC USE”.