SATB2 Recombinant Rabbit Monoclonal Antibody [JM52-44]
cat.: ET1705-95
Product Type: Recombinant Rabbit monoclonal IgG, primary antibodies
Species reactivity: Human, Mouse, Rat, Cynomolgus monkey, Pig
Applications: WB, IHC-P, IHC-Fr, IF-Tissue, IF-Cell, FC, VIVIT
Clonality: Monoclonal
Clone number: JM52-44
Form: Liquid
Storage condition: Shipped at 4℃. Store at +4℃ short term (1-2 weeks). It is recommended to aliquot into single-use upon delivery. Store at -20℃ long term.
Storage buffer: 1*TBS (pH7.4), 0.05% BSA, 40% Glycerol. Preservative: 0.05% Sodium Azide.
Concentration: 1ug/ul
Purification: Protein A affinity purified.
Molecular weight: Predicted band size: 83 kDa
Isotype: IgG
Immunogen: Synthetic peptide within Human SATB2 238-287 / 733.
Positive control: THP-1 cell lysate, Saos-2 cell lysate, C6 cell lysate, Mouse brain tissue lysate, Rat brain tissue lysate, human colon carcinoma tissue, mouse brain tissue, rat brain tissue, mouse colon tissue, rat colon tissue, rat large intestine tissue, Saos-2.
Subcellular location: Nucleus matrix.
Recommended Dilutions:
  WB
  IHC-P
  IHC-Fr
  IF-Tissue
  IF-Cell
  FC

1:1,000-1:5,000
1:500-1:1,000
1:500-1:1:1,000
1:200-1:500
1:200
1:500
Uniprot #: SwissProt: Q9UPW6 Human | Q8VI24 Mouse
Entrez Gene: 501145 Rat
Alternative names: DNA binding protein SATB2 DNA-binding protein SATB2 FLJ21474 FLJ32076 GLSS KIAA1034 MGC119474 MGC119477 SATB family member 2 SATB homeobox 2 SATB2 SATB2_HUMAN Special AT rich sequence binding protein 2 Special AT-rich sequence-binding protein 2
Images
ET1705-95_1.jpg Fig1: Application: IHC-Fr

Species: Mouse

Site: Cerebral cortex (P7)

Sample: Frozen section

Antibody concentration: 1:1,000

Antigen retrieval: Not required
ET1705-95_2.jpg Fig2: Application: IHC-Fr

Species: Mouse

Site: E14.5 embryo

Sample: Frozen section

Antibody concentration: 1:500

Antigen retrieval: Not required
ET1705-95_3.jpg Fig3: Application: IHC-Fr

Species: Mouse

Site: Cerebral cortex

Sample: Frozen section

Antibody concentration: 1:500

Antigen retrieval: Not required
ET1705-95_4.jpg Fig4: Application: IF-Tissue

Species: Mouse

Site: brain

Sample: Paraffin-embedded section

Antibody concentration: 1/200
ET1705-95_5.jpg Fig5: Western blot analysis of SATB2 on different lysates with Rabbit anti-SATB2 antibody (ET1705-95) at 1/1,000 dilution.

Lane 1: THP-1 cell lysate (15 µg/Lane)
Lane 2: Saos-2 cell lysate (15 µg/Lane)
Lane 3: C6 cell lysate (15 µg/Lane)
Lane 4: Mouse brain tissue lysate (20 µg/Lane)
Lane 5: Rat brain tissue lysate (20 µg/Lane)

Predicted band size: 83 kDa
Observed band size: 83 kDa

Exposure time: 46 seconds; ECL: K1801;
4-20% SDS-PAGE gel.

Proteins were transferred to a PVDF membrane and blocked with 5% NFDM/TBST for 1 hour at room temperature. The primary antibody (ET1705-95) at 1/1,000 dilution was used in 5% NFDM/TBST at 4℃ overnight. Goat Anti-Rabbit IgG - HRP Secondary Antibody (HA1001) at 1/50,000 dilution was used for 1 hour at room temperature.
ET1705-95_6.jpg Fig6: Immunohistochemical analysis of paraffin-embedded human colon carcinoma tissue with Rabbit anti-SATB2 antibody (ET1705-95) at 1/1,000 dilution.

The section was pre-treated using heat mediated antigen retrieval with sodium citrate buffer (pH 6.0) (high pressure) for 2 minutes. The tissues were blocked in 1% BSA for 20 minutes at room temperature, washed with ddH2O and PBS, and then probed with the primary antibody (ET1705-95) at 1/1,000 dilution for 1 hour at room temperature. The detection was performed using an HRP conjugated compact polymer system. DAB was used as the chromogen. Tissues were counterstained with hematoxylin and mounted with DPX.
ET1705-95_7.jpg Fig7: Immunohistochemical analysis of paraffin-embedded mouse brain tissue with Rabbit anti-SATB2 antibody (ET1705-95) at 1/500 dilution.

The section was pre-treated using heat mediated antigen retrieval with Tris-EDTA buffer (pH 9.0) for 20 minutes. The tissues were blocked in 1% BSA for 20 minutes at room temperature, washed with ddH2O and PBS, and then probed with the primary antibody (ET1705-95) at 1/500 dilution for 1 hour at room temperature. The detection was performed using an HRP conjugated compact polymer system. DAB was used as the chromogen. Tissues were counterstained with hematoxylin and mounted with DPX.
ET1705-95_8.jpg Fig8: Immunohistochemical analysis of paraffin-embedded rat brain tissue with Rabbit anti-SATB2 antibody (ET1705-95) at 1/500 dilution.

The section was pre-treated using heat mediated antigen retrieval with Tris-EDTA buffer (pH 9.0) for 20 minutes. The tissues were blocked in 1% BSA for 20 minutes at room temperature, washed with ddH2O and PBS, and then probed with the primary antibody (ET1705-95) at 1/500 dilution for 1 hour at room temperature. The detection was performed using an HRP conjugated compact polymer system. DAB was used as the chromogen. Tissues were counterstained with hematoxylin and mounted with DPX.
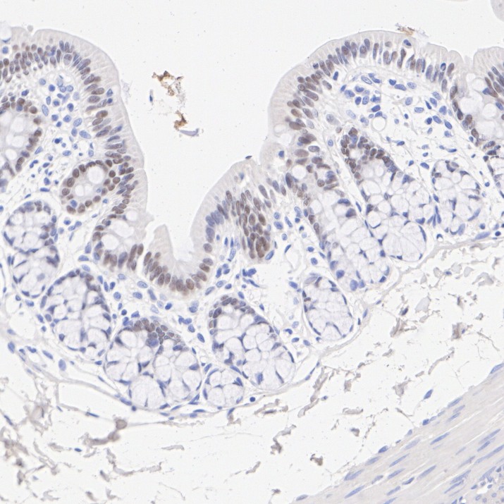
ET1705-95_9.jpg Fig9: Immunohistochemical analysis of paraffin-embedded mouse colon tissue with Rabbit anti-SATB2 antibody (ET1705-95) at 1/500 dilution.

The section was pre-treated using heat mediated antigen retrieval with Tris-EDTA buffer (pH 9.0) for 20 minutes. The tissues were blocked in 1% BSA for 20 minutes at room temperature, washed with ddH2O and PBS, and then probed with the primary antibody (ET1705-95) at 1/500 dilution for 1 hour at room temperature. The detection was performed using an HRP conjugated compact polymer system. DAB was used as the chromogen. Tissues were counterstained with hematoxylin and mounted with DPX.
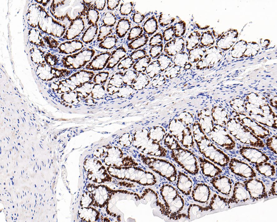
ET1705-95_10.jpg Fig10: Immunohistochemical analysis of paraffin-embedded rat colon tissue with Rabbit anti-SATB2 antibody (ET1705-95) at 1/500 dilution.

The section was pre-treated using heat mediated antigen retrieval with Tris-EDTA buffer (pH 9.0) for 20 minutes. The tissues were blocked in 1% BSA for 20 minutes at room temperature, washed with ddH2O and PBS, and then probed with the primary antibody (ET1705-95) at 1/500 dilution for 1 hour at room temperature. The detection was performed using an HRP conjugated compact polymer system. DAB was used as the chromogen. Tissues were counterstained with hematoxylin and mounted with DPX.
ET1705-95_11.jpg Fig11: Immunohistochemical analysis of paraffin-embedded rat large intestine tissue with Rabbit anti-SATB2 antibody (ET1705-95) at 1/1,000 dilution.

The section was pre-treated using heat mediated antigen retrieval with sodium citrate buffer (pH 6.0) (high pressure) for 2 minutes. The tissues were blocked in 1% BSA for 20 minutes at room temperature, washed with ddH2O and PBS, and then probed with the primary antibody (ET1705-95) at 1/1,000 dilution for 1 hour at room temperature. The detection was performed using an HRP conjugated compact polymer system. DAB was used as the chromogen. Tissues were counterstained with hematoxylin and mounted with DPX.
ET1705-95_12.jpg Fig12: Immunocytochemistry analysis of Saos-2 cells labeling SATB2 with Rabbit anti-SATB2 antibody (ET1705-95) at 1/200 dilution.

Cells were fixed in 4% paraformaldehyde for 15 minutes at room temperature, permeabilized with 0.1% Triton X-100 in PBS for 15 minutes at room temperature, then blocked with 1% BSA in 10% negative goat serum for 1 hour at room temperature. Cells were then incubated with Rabbit anti-SATB2 antibody (ET1705-95) at 1/200 dilution in 1% BSA in PBST overnight at 4 ℃. Goat Anti-Rabbit IgG H&L (iFluor™ 488, HA1121) was used as the secondary antibody at 1/1,000 dilution. PBS instead of the primary antibody was used as the secondary antibody only control. Nuclear DNA was labelled in blue with DAPI.

Beta tubulin (HA601187, red) was stained at 1/100 dilution overnight at +4℃. Goat Anti-Mouse IgG H&L (iFluor™ 594, HA1126) was used as the secondary antibody at 1/1,000 dilution.
Note: All products are “FOR RESEARCH USE ONLY AND ARE NOT INTENDED FOR DIAGNOSTIC OR THERAPEUTIC USE”.