NDUFS3 Recombinant Rabbit Monoclonal Antibody [JU10-32]
cat.: ET1706-07
Product Type: Recombinant Rabbit monoclonal IgG, primary antibodies
Species reactivity: Human
Applications: WB, IHC-P, IF-Cell, IF-Tissue, IP
Clonality: Monoclonal
Clone number: JU10-32
Form: Liquid
Storage condition: Shipped at 4℃. Store at +4℃ short term (1-2 weeks). It is recommended to aliquot into single-use upon delivery. Store at -20℃ long term.
Storage buffer: 1*TBS (pH7.4), 0.05% BSA, 40% Glycerol. Preservative: 0.05% Sodium Azide.
Concentration: 1ug/ul
Purification: Protein A affinity purified.
Molecular weight: Predicted band size: 30 kDa
Isotype: IgG
Immunogen: Synthetic peptide within Human NDUFS3 aa 215-264 / 264.
Positive control: HepG2 lysates, MCF-7, human colon carcinoma tissue, human kidney tissue.
Subcellular location: Mitochondrion inner membrane.
Recommended Dilutions:
  WB
  IHC-P
  IF-Cell
  IP

1:500
1:50
1:50
1:10-1:50
Uniprot #: SwissProt: O75489 Human
Alternative names: CI 30 CI 30KD CI-30kD Complex I 30KD Complex I 30kDa subunit COMPLEX I, MITOCHONDRIAL RESPIRATORY CHAIN, 30-KD SUBUNIT Complex I-30kD mitochondrial NADH coenzyme Q reductase NADH dehydrogenase (ubiquinone) Fe S protein 3 30kDa NADH dehydrogenase [ubiquinone] iron sulfur protein 3 mitochondrial NADH dehydrogenase [ubiquinone] iron-sulfur protein 3 NADH dehydrogenase ubiquinone 30 kDa subunit NADH-ubiquinone oxidoreductase 30 kDa subunit NADH-Ubiquinone Oxidoreductase Fe-S Protein 3 NDUFS3 NDUS3_HUMAN
Images
ET1706-07_1.jpg Fig1: Western blot analysis of NDUFS3 on different lysates with Rabbit anti-NDUFS3 antibody (ET1706-07) at 1/1,000 dilution.

Lane 1: HAP1-parental cell lysate
Lane 2: HAP1-NDUFS3 KD cell lysate

Lysates/proteins at 10 µg/Lane.

Predicted band size: 30 kDa
Observed band size: 30 kDa

Exposure time: 40 seconds; ECL: K1801;

4-20% SDS-PAGE gel.

Proteins were transferred to a PVDF membrane and blocked with 5% NFDM/TBST for 1 hour at room temperature. The primary antibody (ET1706-07) at 1/1,000 dilution was used in primary antibody dilution (K1803) at 4℃ overnight. Goat Anti-Rabbit IgG - HRP Secondary Antibody (HA1001) at 1/50,000 dilution was used for 1 hour at room temperature.
ET1706-07_2.jpg Fig2: Western blot analysis of NDUFS3 on HepG2 lysates with Rabbit anti-NDUFS3 antibody (ET1706-07) at 1/500 dilution.

Lysates/proteins at 20 µg/Lane.

Predicted band size: 20 kDa
Observed band size: 25 kDa

Exposure time: 2 minutes;

15% SDS-PAGE gel.

Proteins were transferred to a PVDF membrane and blocked with 5% NFDM/TBST for 1 hour at room temperature. The primary antibody (ET1706-07) at 1/500 dilution was used in 5% NFDM/TBST at room temperature for 2 hours. Goat Anti-Rabbit IgG - HRP Secondary Antibody (HA1001) at 1:200,000 dilution was used for 1 hour at room temperature.
ET1706-07_3.jpg Fig3: Immunocytochemistry analysis of MCF-7 cells labeling NDUFS3 with Rabbit anti-NDUFS3 antibody (ET1706-07) at 1/50 dilution.

Cells were fixed in 4% paraformaldehyde for 10 minutes at 37 ℃, permeabilized with 0.05% Triton X-100 in PBS for 20 minutes, and then blocked with 2% negative goat serum for 30 minutes at room temperature. Cells were then incubated with Rabbit anti-NDUFS3 antibody (ET1706-07) at 1/50 dilution in 2% negative goat serum overnight at 4 ℃. Alexa Fluor®488 conjugate-Goat anti-Rabbit IgG was used as the secondary antibody at 1/1,000 dilution.Nuclear DNA was labelled in blue with DAPI.
ET1706-07_4.jpg Fig4: Immunocytochemistry analysis of MCF-7 cells labeling NDUFS3 with Rabbit anti-NDUFS3 antibody (ET1706-07) at 1/50 dilution.

Cells were fixed in 4% paraformaldehyde for 10 minutes at 37 ℃, permeabilized with 0.05% Triton X-100 in PBS for 20 minutes, and then blocked with 2% negative goat serum for 30 minutes at room temperature. Cells were then incubated with Rabbit anti-NDUFS3 antibody (ET1706-07) at 1/50 dilution in 2% negative goat serum overnight at 4 ℃. Alexa Fluor®488 conjugate-Goat anti-Rabbit IgG was used as the secondary antibody at 1/1,000 dilution. Nuclear DNA was labelled in blue with DAPI.
ET1706-07_5.jpg Fig5: Immunohistochemical analysis of paraffin-embedded human colon carcinoma tissue with Rabbit anti-NDUFS3 antibody (ET1706-07) at 1/50 dilution.

The section was pre-treated using heat mediated antigen retrieval with Tris-EDTA buffer (pH 9.0) for 20 minutes. The tissues were blocked in 1% BSA for 20 minutes at room temperature, washed with ddH2O and PBS, and then probed with the primary antibody (ET1706-07) at 1/50 dilution for 0.5 hour at room temperature. The detection was performed using an HRP conjugated compact polymer system. DAB was used as the chromogen. Tissues were counterstained with hematoxylin and mounted with DPX.
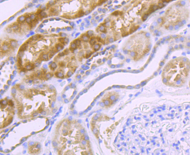
ET1706-07_6.jpg Fig6: Immunohistochemical analysis of paraffin-embedded human kidney tissue with Rabbit anti-NDUFS3 antibody (ET1706-07) at 1/50 dilution.

The section was pre-treated using heat mediated antigen retrieval with Tris-EDTA buffer (pH 9.0) for 20 minutes. The tissues were blocked in 1% BSA for 20 minutes at room temperature, washed with ddH2O and PBS, and then probed with the primary antibody (ET1706-07) at 1/50 dilution for 0.5 hour at room temperature. The detection was performed using an HRP conjugated compact polymer system. DAB was used as the chromogen. Tissues were counterstained with hematoxylin and mounted with DPX.
Note: All products are “FOR RESEARCH USE ONLY AND ARE NOT INTENDED FOR DIAGNOSTIC OR THERAPEUTIC USE”.