IKBKE Recombinant Rabbit Monoclonal Antibody [JU06-72]
cat.: ET1706-20
Product Type: Recombinant Rabbit monoclonal IgG, primary antibodies
Species reactivity: Human
Applications: WB, IF-Cell, FC, IHC-P
Clonality: Monoclonal
Clone number: JU06-72
Form: Liquid
Storage condition: Shipped at 4℃. Store at +4℃ short term (1-2 weeks). It is recommended to aliquot into single-use upon delivery. Store at -20℃ long term.
Storage buffer: 1*TBS (pH7.4), 0.05% BSA, 40% Glycerol. Preservative: 0.05% Sodium Azide.
Concentration: 1ug/ul
Purification: Protein A affinity purified.
Molecular weight: Predicted band size: 80 kDa
Isotype: IgG
Immunogen: Synthetic peptide within Human IKBKE aa 26-75 / 716.
Positive control: Human spleen tissue, human thymus tissue, HeLa cell lysate, Raji cell lysate, Daudi cell lysate, Hela, JAR, SK-Br-3.
Subcellular location: Cytoplasm, Nucleus.
Recommended Dilutions:
  WB
  IF-Cell
  FC
  IHC-P

1:500-1:2,000
1:50-1:200
1:50-1:100
1:50-1:200
Uniprot #: SwissProt: Q14164 Human
Alternative names: I kappa B kinase epsilon I-kappa-B kinase epsilon IkBKE IKK related kinase epsilon IKK-E IKK-epsilon IKK-i IKKE IKKE_HUMAN IKKepsilon IKKI Inducible I kappa B kinase Inducible I kappa-B kinase Inducible IkappaB kinase Inhibitor of kappa light polypeptide gene enhancer in B cells kinase epsilon Inhibitor of kappa light polypeptide gene enhancer in B cells, kinase of, epsilon Inhibitor of nuclear factor kappa-B kinase subunit epsilon KIAA0151 MGC125294 MGC125295 MGC125297
Images
ET1706-20_1.jpg Fig1: Western blot analysis of IKBKE on different lysates with Rabbit anti-IKBKE antibody (ET1706-20) at 1/2,000 dilution.

Lane 1: HeLa cell lysate (20 µg/Lane)
Lane 2: Raji cell lysate (20 µg/Lane)
Lane 3: Daudi cell lysate (20 µg/Lane)

Predicted band size: 80 kDa
Observed band size: 75 kDa

Exposure time: Lane 1: 3 minutes; Lane 2-3: 30 seconds; ECL: K1801;

4-20% SDS-PAGE gel.

Proteins were transferred to a PVDF membrane and blocked with 5% NFDM/TBST for 1 hour at room temperature. The primary antibody (ET1706-20) at 1/2,000 dilution was used in 5% NFDM/TBST at 4℃ overnight. Goat Anti-Rabbit IgG - HRP Secondary Antibody (HA1001) at 1/50,000 dilution was used for 1 hour at room temperature.
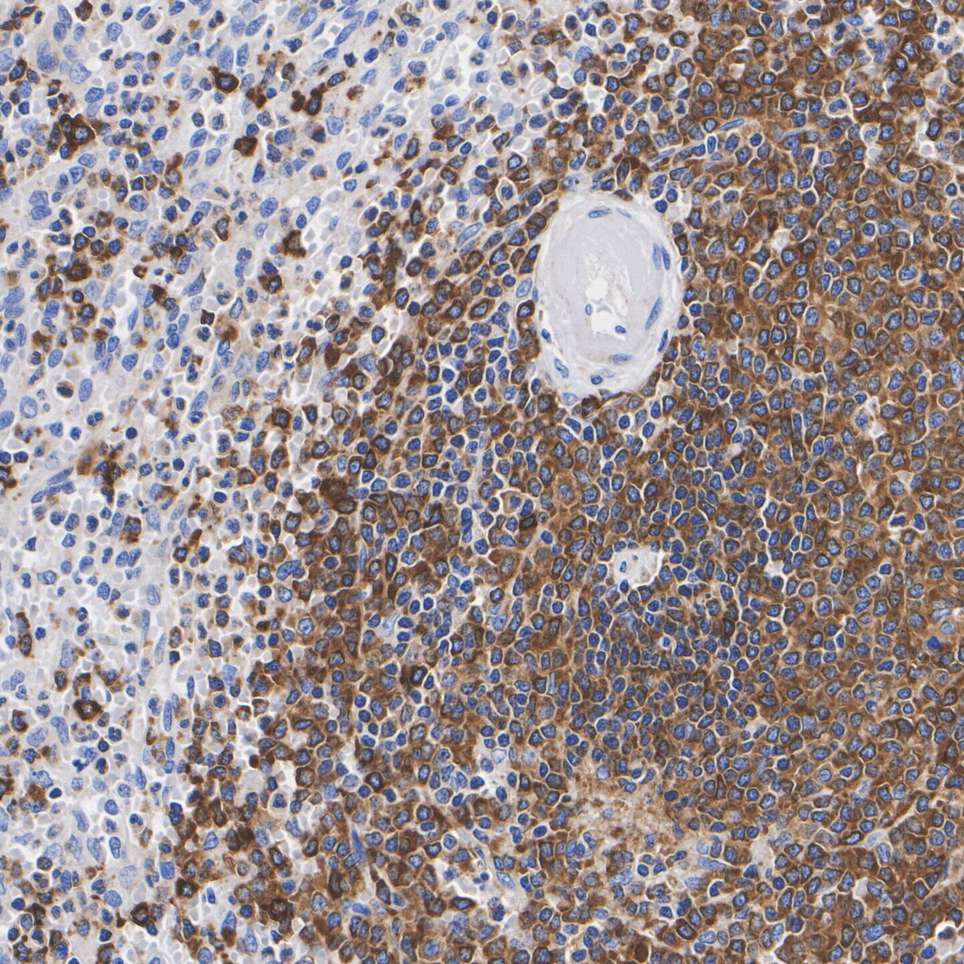
ET1706-20_2.jpg Fig2: Immunohistochemical analysis of paraffin-embedded human spleen tissue with Rabbit anti-IKBKE antibody (ET1706-20) at 1/200 dilution.

The section was pre-treated using heat mediated antigen retrieval with Tris-EDTA buffer (pH 9.0) for 20 minutes. The tissues were blocked in 1% BSA for 20 minutes at room temperature, washed with ddH2O and PBS, and then probed with the primary antibody (ET1706-20) at 1/200 dilution for 1 hour at room temperature. The detection was performed using an HRP conjugated compact polymer system. DAB was used as the chromogen. Tissues were counterstained with hematoxylin and mounted with DPX.
ET1706-20_3.jpg Fig3: Immunohistochemical analysis of paraffin-embedded human thymus tissue with Rabbit anti-IKBKE antibody (ET1706-20) at 1/200 dilution.

The section was pre-treated using heat mediated antigen retrieval with Tris-EDTA buffer (pH 9.0) for 20 minutes. The tissues were blocked in 1% BSA for 20 minutes at room temperature, washed with ddH2O and PBS, and then probed with the primary antibody (ET1706-20) at 1/200 dilution for 1 hour at room temperature. The detection was performed using an HRP conjugated compact polymer system. DAB was used as the chromogen. Tissues were counterstained with hematoxylin and mounted with DPX.
ET1706-20_4.jpg Fig4: Immunocytochemistry analysis of Hela cells labeling IKBKE with Rabbit anti-IKBKE antibody (ET1706-20) at 1/50 dilution.

Cells were fixed in 4% paraformaldehyde for 10 minutes at 37 ℃, permeabilized with 0.05% Triton X-100 in PBS for 20 minutes, and then blocked with 2% negative goat serum for 30 minutes at room temperature. Cells were then incubated with Rabbit anti-IKBKE antibody (ET1706-20) at 1/50 dilution in 2% negative goat serum overnight at 4 ℃. Alexa Fluor®488 conjugate-Goat anti-Rabbit IgG was used as the secondary antibody at 1/1,000 dilutionNuclear DNA was labelled in blue with DAPI.
ET1706-20_5.jpg Fig5: Immunocytochemistry analysis of JAR cells labeling IKBKE with Rabbit anti-IKBKE antibody (ET1706-20) at 1/50 dilution.

Cells were fixed in 4% paraformaldehyde for 10 minutes at 37 ℃, permeabilized with 0.05% Triton X-100 in PBS for 20 minutes, and then blocked with 2% negative goat serum for 30 minutes at room temperature. Cells were then incubated with Rabbit anti-IKBKE antibody (ET1706-20) at 1/50 dilution in 2% negative goat serum overnight at 4 ℃. Alexa Fluor®488 conjugate-Goat anti-Rabbit IgG was used as the secondary antibody at 1/1,000 dilution. Nuclear DNA was labelled in blue with DAPI.
ET1706-20_6.jpg Fig6: Immunocytochemistry analysis of SK-Br-3 cells labeling IKBKE with Rabbit anti-IKBKE antibody (ET1706-20) at 1/50 dilution.

Cells were fixed in 4% paraformaldehyde for 10 minutes at 37 ℃, permeabilized with 0.05% Triton X-100 in PBS for 20 minutes, and then blocked with 2% negative goat serum for 30 minutes at room temperature. Cells were then incubated with Rabbit anti-IKBKE antibody (ET1706-20) at 1/50 dilution in 2% negative goat serum overnight at 4 ℃. Alexa Fluor®488 conjugate-Goat anti-Rabbit IgG was used as the secondary antibody at 1/1,000 dilution. Nuclear DNA was labelled in blue with DAPI.
Note: All products are “FOR RESEARCH USE ONLY AND ARE NOT INTENDED FOR DIAGNOSTIC OR THERAPEUTIC USE”.