Carbonic anhydrase 2 Recombinant Rabbit Monoclonal Antibody [JU12-37]
cat.: ET1706-47
Product Type: Recombinant Rabbit monoclonal IgG, primary antibodies
Species reactivity: Human, Mouse, Rat, Cynomolgus monkey, Pig
Applications: WB, IHC-P, IHC-Fr
Clonality: Monoclonal
Clone number: JU12-37
Form: Liquid
Storage condition: Shipped at 4℃. Store at +4℃ short term (1-2 weeks). It is recommended to aliquot into single-use upon delivery. Store at -20℃ long term.
Storage buffer: 1*TBS (pH7.4), 0.05% BSA, 40% Glycerol. Preservative: 0.05% Sodium Azide.
Concentration: 1ug/ul
Purification: Protein A affinity purified.
Molecular weight: Predicted band size: 29 kDa
Isotype: IgG
Immunogen: Synthetic peptide within Human Carbonic Anhydrase II aa 211-260 / 260.
Positive control: Mouse kidney tissue lysate, Mouse P0 brain tissue lysate, Mouse adult brain tissue lysate, Rat kidney tissue lysate, Rat adult brain tissue lysate, Mouse brain tissue lysate, 293T cell lysate, Rat colon tissue lysate, Rat liver tissue lysate, mouse brain tissue, mouse striatum tissue, rat cerebral cortex tissue, rat striatum tissue.
Subcellular location: Cytoplasm.
Recommended Dilutions:
  WB
  IHC-P
  IHC-Fr

1:2,000-1:5,000
1:200-1:1,000
1:500
Uniprot #: SwissProt: P00918 Human | P00920 Mouse | P27139 Rat
Alternative names: CA 2 CA II CA-II Ca2 CAC CAH2_HUMAN CAII Car 2 Car2 Carbonate dehydratase II Carbonic anhydrase 2 Carbonic anhydrase B Carbonic anhydrase C Carbonic anhydrase C, formerly Carbonic anhydrase II Carbonic dehydratase epididymis luminal protein 76 Epididymis secretory protein Li 282 HEL-76 HEL-S-282
Images
ET1706-47_1.jpg Fig1: Application: IHC-Fr

Species: Mouse

Site: Striatum

Sample: Frozen section

Antibody concentration: 1:500

Antigen retrieval: Recommend. The section was pre-treated using 1% SDS buffer (in PBS, pH 7.4) for 5 minutes at room temperature (recommend).
ET1706-47_2.jpg Fig2: Application: IHC-Fr

Species: Mouse

Site: Cerebral cortex

Sample: Frozen section

Antibody concentration: 1:500

Antigen retrieval: Recommend. The section was pre-treated using 1% SDS buffer (in PBS, pH 7.4) for 5 minutes at room temperature (recommend).
ET1706-47_3.jpg Fig3: Immunofluorescence analysis of frozen mouse cerebellum tissue with Rabbit anti-Carbonic anhydrase 2 antibody (ET1706-47) at 1/500 dilution.

The section was pre-treated using 1% SDS buffer (in PBS, pH 7.4) for 5 minutes at room temperature (recommend).

The tissues were blocked in 10% negative goat serum for 1 hour at room temperature, washed with PBS, and then probed with the primary antibody (ET1706-47, green) at 1/500 dilution overnight at 4 ℃, washed with PBS. Goat Anti-Rabbit IgG H&L (iFluor™ 488, HA1121) was used as the secondary antibody at 1/1,000 dilution. Nuclei were counterstained with DAPI (blue).
ET1706-47_4.jpg Fig4: Western blot analysis of Carbonic anhydrase 2 on different lysates with Rabbit anti-Carbonic anhydrase 2 antibody (ET1706-47) at 1/2,000 dilution.

Lane 1: Mouse kidney tissue lysate
Lane 2: Mouse P0 brain tissue lysate
Lane 3: Mouse adult brain tissue lysate
Lane 4: Rat kidney tissue lysate
Lane 5: Rat adult brain tissue lysate

Lysates/proteins at 20 µg/Lane.

Predicted band size: 29 kDa
Observed band size: 29 kDa

Exposure time: 6 seconds; ECL: K1801;
4-20% SDS-PAGE gel.

Proteins were transferred to a PVDF membrane and blocked with 5% NFDM/TBST for 1 hour at room temperature. The primary antibody (ET1706-47) at 1/2,000 dilution was used in 5% NFDM/TBST at 4℃ overnight. Goat Anti-Rabbit IgG - HRP Secondary Antibody (HA1001) at 1/50,000 dilution was used for 1 hour at room temperature.
ET1706-47_5.jpg Fig5: Western blot analysis of Carbonic anhydrase 2 on different lysates with Rabbit anti-Carbonic anhydrase 2 antibody (ET1706-47) at 1/2,000 dilution.

Lane 1: Mouse brain tissue lysate (20 µg/Lane)
Lane 2: 293T cell lysate (10 µg/Lane)
Lane 3: Rat colon tissue lysate (20 µg/Lane)
Lane 4: Rat liver tissue lysate (20 µg/Lane)

Predicted band size: 29 kDa
Observed band size: 29 kDa

Exposure time: 2 minutes;
12% SDS-PAGE gel.

Proteins were transferred to a PVDF membrane and blocked with 5% NFDM/TBST for 1 hour at room temperature. The primary antibody (ET1706-47) at 1/2,000 dilution was used in 5% NFDM/TBST at room temperature for 2 hours. Goat Anti-Rabbit IgG - HRP Secondary Antibody (HA1001) at 1:300,000 dilution was used for 1 hour at room temperature.
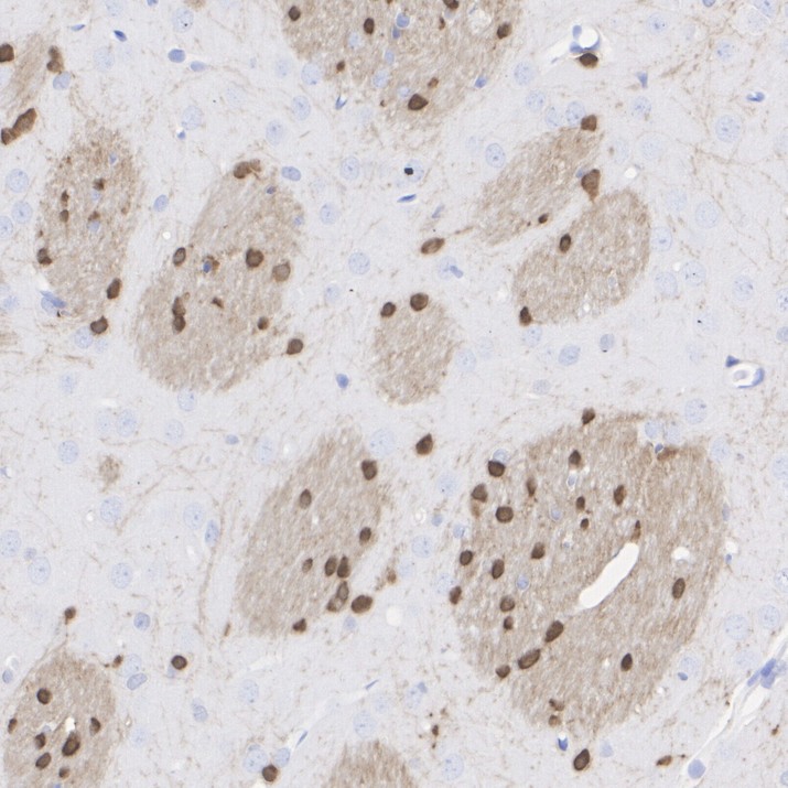
ET1706-47_6.jpg Fig6: Immunohistochemical analysis of paraffin-embedded mouse brain tissue with Rabbit anti-Carbonic anhydrase 2 antibody (ET1706-47) at 1/200 dilution.

The section was pre-treated using heat mediated antigen retrieval with Tris-EDTA buffer (pH 9.0) for 20 minutes. The tissues were blocked in 1% BSA for 20 minutes at room temperature, washed with ddH2O and PBS, and then probed with the primary antibody (ET1706-47) at 1/200 dilution for 1 hour at room temperature. The detection was performed using an HRP conjugated compact polymer system. DAB was used as the chromogen. Tissues were counterstained with hematoxylin and mounted with DPX.
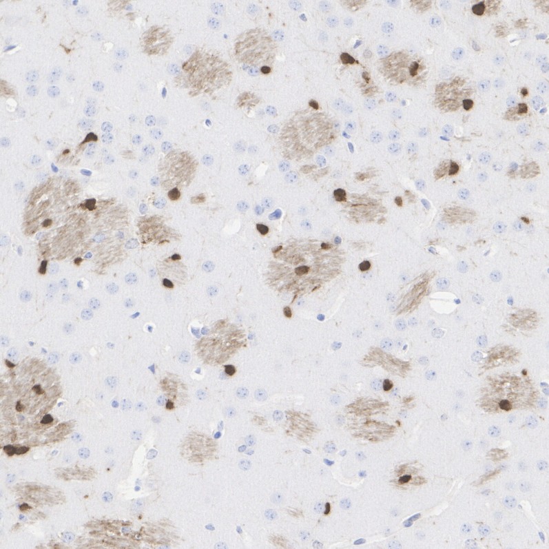
ET1706-47_7.jpg Fig7: Immunohistochemical analysis of paraffin-embedded mouse striatum tissue with Rabbit anti-Carbonic anhydrase 2 antibody (ET1706-47) at 1/200 dilution.

The section was pre-treated using heat mediated antigen retrieval with Tris-EDTA buffer (pH 9.0) for 20 minutes. The tissues were blocked in 1% BSA for 20 minutes at room temperature, washed with ddH2O and PBS, and then probed with the primary antibody (ET1706-47) at 1/200 dilution for 1 hour at room temperature. The detection was performed using an HRP conjugated compact polymer system. DAB was used as the chromogen. Tissues were counterstained with hematoxylin and mounted with DPX.
ET1706-47_8.jpg Fig8: Immunohistochemical analysis of paraffin-embedded rat cerebral cortex tissue with Rabbit anti-Carbonic anhydrase 2 antibody (ET1706-47) at 1/200 dilution.

The section was pre-treated using heat mediated antigen retrieval with Tris-EDTA buffer (pH 9.0) for 20 minutes. The tissues were blocked in 1% BSA for 20 minutes at room temperature, washed with ddH2O and PBS, and then probed with the primary antibody (ET1706-47) at 1/200 dilution for 1 hour at room temperature. The detection was performed using an HRP conjugated compact polymer system. DAB was used as the chromogen. Tissues were counterstained with hematoxylin and mounted with DPX.
ET1706-47_9.jpg Fig9: Immunohistochemical analysis of paraffin-embedded rat striatum tissue with Rabbit anti-Carbonic anhydrase 2 antibody (ET1706-47) at 1/200 dilution.

The section was pre-treated using heat mediated antigen retrieval with Tris-EDTA buffer (pH 9.0) for 20 minutes. The tissues were blocked in 1% BSA for 20 minutes at room temperature, washed with ddH2O and PBS, and then probed with the primary antibody (ET1706-47) at 1/200 dilution for 1 hour at room temperature. The detection was performed using an HRP conjugated compact polymer system. DAB was used as the chromogen. Tissues were counterstained with hematoxylin and mounted with DPX.
Note: All products are “FOR RESEARCH USE ONLY AND ARE NOT INTENDED FOR DIAGNOSTIC OR THERAPEUTIC USE”.