ALDH1L1 Recombinant Rabbit Monoclonal Antibody [JU53-54]
cat.: ET7106-64
Product Type: Recombinant Rabbit monoclonal IgG, primary antibodies
Species reactivity: Human, Mouse, Rat, Cynomolgus monkey, Pig
Applications: WB, IHC-P, IF-Tissue, IHC-Fr
Clonality: Monoclonal
Clone number: JU53-54
Form: Liquid
Storage condition: Shipped at 4℃. Store at +4℃ short term (1-2 weeks). It is recommended to aliquot into single-use upon delivery. Store at -20℃ long term.
Storage buffer: 1*TBS (pH7.4), 0.05% BSA, 40% Glycerol. Preservative: 0.05% Sodium Azide.
Concentration: 1ug/ul
Purification: Protein A affinity purified.
Molecular weight: Predicted band size: 99 kDa
Isotype: IgG
Immunogen: Recombinant protein within Human ALDH1L1 aa 155-375 .
Positive control: Human brain tissue, mouse brain tissue, rat hippocampus tissue, human kidney tissue, mouse kidney tissue, rat kidney tissue, human liver tissue, mouse liver tissue, rat liver tissue, Mouse brain tissue lysate, Mouse liver tissue lysate, Mouse kidney tissue lysate, Rat brain tissue lysate, Rat liver tissue lysate, Rat kidney tissue lysate.
Subcellular location: Cytoplasm.
Recommended Dilutions:
  WB
  IHC-P
  IF-Tissue
  IHC-Fr

1:5,000-1:10,000
1:500-1:2,000
1:500
1:500-1:1,000
Uniprot #: SwissProt: O75891 Human | Q8R0Y6 Mouse | P28037 Rat
Alternative names: 10 formyltetrahydrofolate dehydrogenase 10 FTHFDH 10-formyltetrahydrofolate dehydrogenase 10-FTHFDH AL1L1_HUMAN Aldehyde dehydrogenase 1 family member L1 Aldehyde dehydrogenase family 1 member L1 aldh1l1 Cytosolic 10-formyltetrahydrofolate dehydrogenase DKFZp781N0997 EC 1.5.1.6 FDH formyltetrahydrofolate dehydrogenase FTHFD OTTHUMP00000155221 OTTHUMP00000214696 OTTHUMP00000214700 OTTHUMP00000222724
Images
ET7106-64_1.jpg Fig1: Application: IHC-Fr

Species: Mouse

Site: Cerebral cortex

Sample: Frozen section

Antibody concentration: 1:500

Antigen retrieval: Not required
ET7106-64_2.jpg Fig2: Application: IHC-Fr

Species: Rat

Site: Cerebral cortex

Sample: Frozen section

Antibody concentration: 1:500

Antigen retrieval: Not required
ET7106-64_3.jpg Fig3: Application: IF-tissue

Species: Mouse

Site: Cerebral cortex

Sample: Paraffin-embedded section

Antibody concentration: 1:500
ET7106-64_4.jpg Fig4: Application: IF-tissue

Species: Rat

Site: Cerebral cortex

Sample: Paraffin-embedded section

Antibody concentration: 1:500
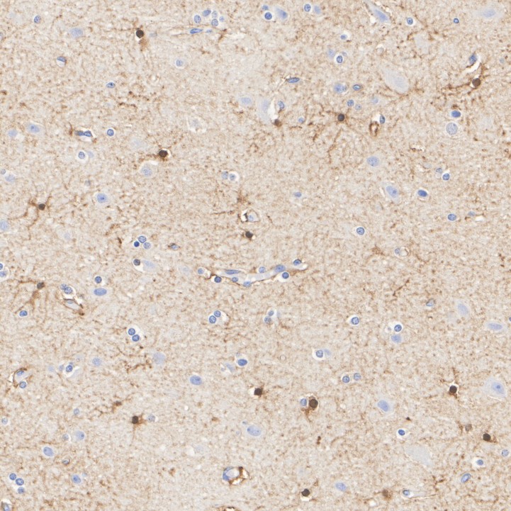
ET7106-64_5.jpg Fig5: Immunohistochemical analysis of paraffin-embedded human brain tissue with Rabbit anti-ALDH1L1 antibody (ET7106-64) at 1/1,000 dilution.

The section was pre-treated using heat mediated antigen retrieval with Tris-EDTA buffer (pH 9.0) for 20 minutes. The tissues were blocked in 1% BSA for 20 minutes at room temperature, washed with ddH2O and PBS, and then probed with the primary antibody (ET7106-64) at 1/1,000 dilution for 1 hour at room temperature. The detection was performed using an HRP conjugated compact polymer system. DAB was used as the chromogen. Tissues were counterstained with hematoxylin and mounted with DPX.
ET7106-64_6.jpg Fig6: Immunohistochemical analysis of paraffin-embedded mouse brain tissue with Rabbit anti-ALDH1L1 antibody (ET7106-64) at 1/1,000 dilution.

The section was pre-treated using heat mediated antigen retrieval with Tris-EDTA buffer (pH 9.0) for 20 minutes. The tissues were blocked in 1% BSA for 20 minutes at room temperature, washed with ddH2O and PBS, and then probed with the primary antibody (ET7106-64) at 1/1,000 dilution for 1 hour at room temperature. The detection was performed using an HRP conjugated compact polymer system. DAB was used as the chromogen. Tissues were counterstained with hematoxylin and mounted with DPX.
ET7106-64_7.jpg Fig7: Immunohistochemical analysis of paraffin-embedded rat hippocampus tissue with Rabbit anti-ALDH1L1 antibody (ET7106-64) at 1/1,000 dilution.

The section was pre-treated using heat mediated antigen retrieval with Tris-EDTA buffer (pH 9.0) for 20 minutes. The tissues were blocked in 1% BSA for 20 minutes at room temperature, washed with ddH2O and PBS, and then probed with the primary antibody (ET7106-64) at 1/1,000 dilution for 1 hour at room temperature. The detection was performed using an HRP conjugated compact polymer system. DAB was used as the chromogen. Tissues were counterstained with hematoxylin and mounted with DPX.
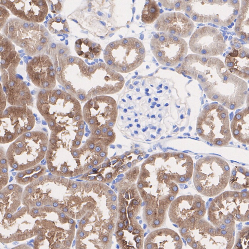
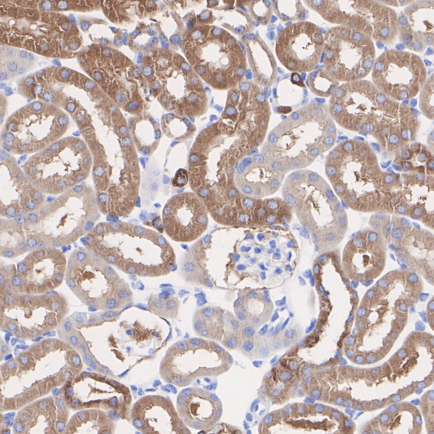
ET7106-64_8.jpg Fig8: Immunohistochemical analysis of paraffin-embedded human kidney tissue with Rabbit anti-ALDH1L1 antibody (ET7106-64) at 1/500 dilution.

The section was pre-treated using heat mediated antigen retrieval with Tris-EDTA buffer (pH 9.0) for 20 minutes. The tissues were blocked in 1% BSA for 20 minutes at room temperature, washed with ddH2O and PBS, and then probed with the primary antibody (ET7106-64) at 1/500 dilution for 1 hour at room temperature. The detection was performed using an HRP conjugated compact polymer system. DAB was used as the chromogen. Tissues were counterstained with hematoxylin and mounted with DPX.
ET7106-64_9.jpg Fig9: Immunohistochemical analysis of paraffin-embedded mouse kidney tissue with Rabbit anti-ALDH1L1 antibody (ET7106-64) at 1/2,000 dilution.

The section was pre-treated using heat mediated antigen retrieval with Tris-EDTA buffer (pH 9.0) for 20 minutes. The tissues were blocked in 1% BSA for 20 minutes at room temperature, washed with ddH2O and PBS, and then probed with the primary antibody (ET7106-64) at 1/2,000 dilution for 1 hour at room temperature. The detection was performed using an HRP conjugated compact polymer system. DAB was used as the chromogen. Tissues were counterstained with hematoxylin and mounted with DPX.
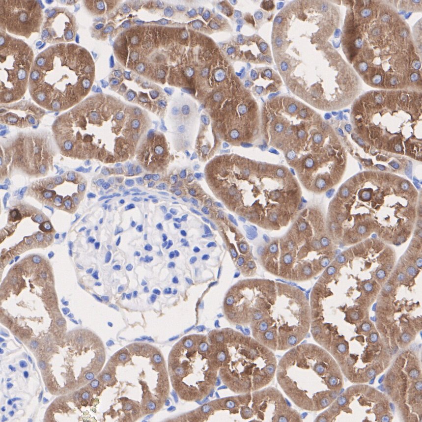
ET7106-64_10.jpg Fig10: Immunohistochemical analysis of paraffin-embedded rat kidney tissue with Rabbit anti-ALDH1L1 antibody (ET7106-64) at 1/2,000 dilution.

The section was pre-treated using heat mediated antigen retrieval with Tris-EDTA buffer (pH 9.0) for 20 minutes. The tissues were blocked in 1% BSA for 20 minutes at room temperature, washed with ddH2O and PBS, and then probed with the primary antibody (ET7106-64) at 1/2,000 dilution for 1 hour at room temperature. The detection was performed using an HRP conjugated compact polymer system. DAB was used as the chromogen. Tissues were counterstained with hematoxylin and mounted with DPX.
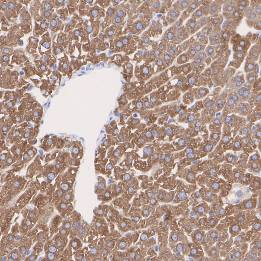
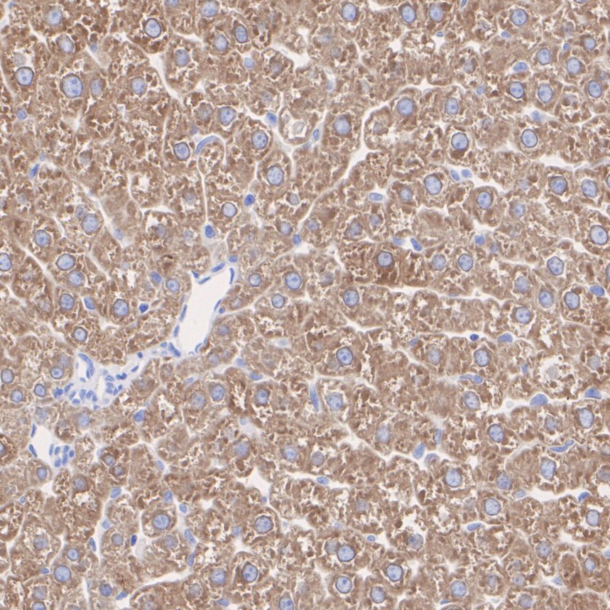
ET7106-64_11.jpg Fig11: Immunohistochemical analysis of paraffin-embedded human liver tissue with Rabbit anti-ALDH1L1 antibody (ET7106-64) at 1/2,000 dilution.

The section was pre-treated using heat mediated antigen retrieval with Tris-EDTA buffer (pH 9.0) for 20 minutes. The tissues were blocked in 1% BSA for 20 minutes at room temperature, washed with ddH2O and PBS, and then probed with the primary antibody (ET7106-64) at 1/2,000 dilution for 1 hour at room temperature. The detection was performed using an HRP conjugated compact polymer system. DAB was used as the chromogen. Tissues were counterstained with hematoxylin and mounted with DPX.
ET7106-64_12.jpg Fig12: Immunohistochemical analysis of paraffin-embedded mouse liver tissue with Rabbit anti-ALDH1L1 antibody (ET7106-64) at 1/2,000 dilution.

The section was pre-treated using heat mediated antigen retrieval with Tris-EDTA buffer (pH 9.0) for 20 minutes. The tissues were blocked in 1% BSA for 20 minutes at room temperature, washed with ddH2O and PBS, and then probed with the primary antibody (ET7106-64) at 1/2,000 dilution for 1 hour at room temperature. The detection was performed using an HRP conjugated compact polymer system. DAB was used as the chromogen. Tissues were counterstained with hematoxylin and mounted with DPX.
ET7106-64_13.jpg Fig13: Immunohistochemical analysis of paraffin-embedded rat liver tissue with Rabbit anti-ALDH1L1 antibody (ET7106-64) at 1/2,000 dilution.

The section was pre-treated using heat mediated antigen retrieval with Tris-EDTA buffer (pH 9.0) for 20 minutes. The tissues were blocked in 1% BSA for 20 minutes at room temperature, washed with ddH2O and PBS, and then probed with the primary antibody (ET7106-64) at 1/2,000 dilution for 1 hour at room temperature. The detection was performed using an HRP conjugated compact polymer system. DAB was used as the chromogen. Tissues were counterstained with hematoxylin and mounted with DPX.
ET7106-64_14.jpg Fig14: Western blot analysis of ALDH1L1 on different lysates with Rabbit anti-ALDH1L1 antibody (ET7106-64) at 1/5,000 dilution.

Lane 1: Mouse brain tissue lysate
Lane 2: Mouse liver tissue lysate
Lane 3: Mouse kidney tissue lysate
Lane 4: Rat brain tissue lysate
Lane 5: Rat liver tissue lysate
Lane 6: Rat kidney tissue lysate

Lysates/proteins at 40 µg/Lane.

Predicted band size: 99 kDa
Observed band size: 99 kDa

Exposure time: 10 seconds; ECL: K1801;

4-20% SDS-PAGE gel.

Proteins were transferred to a PVDF membrane and blocked with 5% NFDM/TBST for 1 hour at room temperature. The primary antibody (ET7106-64) at 1/5,000 dilution was used in primary antibody dilution (K1803) at 4℃ overnight. Goat Anti-Rabbit IgG - HRP Secondary Antibody (HA1001) at 1/50,000 dilution was used for 1 hour at room temperature.
Note: All products are “FOR RESEARCH USE ONLY AND ARE NOT INTENDED FOR DIAGNOSTIC OR THERAPEUTIC USE”.