PCK1 Recombinant Rabbit Monoclonal Antibody [JU84-39]
cat.: ET7106-81
Product Type: Recombinant Rabbit monoclonal IgG, primary antibodies
Species reactivity: Human
Applications: IF-Cell, IHC-P, WB
Clonality: Monoclonal
Clone number: JU84-39
Form: Liquid
Storage condition: Shipped at 4℃. Store at +4℃ short term (1-2 weeks). It is recommended to aliquot into single-use upon delivery. Store at -20℃ long term.
Storage buffer: 1*TBS (pH7.4), 0.05% BSA, 40% Glycerol. Preservative: 0.05% Sodium Azide.
Concentration: 1ug/ul
Purification: Protein A affinity purified.
Molecular weight: 69 kDa
Isotype: IgG
Immunogen: Synthetic peptide within Human PCK1 aa 26-75 / 622.
Positive control: 293T, HepG2, SH-SY5Y, human liver tissue, human kidney tissue.
Subcellular location: Cytoplasm, cytosol, Endoplasmic reticulum.
Recommended Dilutions:
  IF-Cell
  IHC-P
  WB

1:50-1:100
1:200
1:500
Uniprot #: SwissProt: P35558 Human
Alternative names: cytosolic [GTP] GTP PCK1 PCKGC_HUMAN PEP carboxykinase PEPCK-C PEPCK1 PEPCKC Phosphoenolpyruvate carboxykinase 1 (soluble) Phosphoenolpyruvate carboxykinase 1 Phosphoenolpyruvate carboxykinase Phosphoenolpyruvate carboxykinase, cytosolic [GTP] Phosphoenolpyruvate carboxykinase, cytosolic Phosphoenolpyruvate carboxylase Phosphopyruvate carboxylase
Images
ET7106-81_1.jpg Fig1: Immunocytochemistry analysis of 293T cells labeling PCK1 with Rabbit anti-PCK1 antibody (ET7106-81) at 1/100 dilution.

Cells were fixed in 4% paraformaldehyde for 10 minutes at 37 ℃, permeabilized with 0.05% Triton X-100 in PBS for 20 minutes, and then blocked with 2% negative goat serum for 30 minutes at room temperature. Cells were then incubated with Rabbit anti-PCK1 antibody (ET7106-81) at 1/100 dilution in 2% negative goat serum overnight at 4 ℃. Goat Anti-Rabbit IgG H&L (Alexa Fluor® 488) was used as the secondary antibody at 1/1,000 dilution. Nuclear DNA was labelled in blue with DAPI.
ET7106-81_2.jpg Fig2: Immunocytochemistry analysis of HepG2 cells labeling PCK1 with Rabbit anti-PCK1 antibody (ET7106-81) at 1/50 dilution.

Cells were fixed in 4% paraformaldehyde for 10 minutes at 37 ℃, permeabilized with 0.05% Triton X-100 in PBS for 20 minutes, and then blocked with 2% negative goat serum for 30 minutes at room temperature. Cells were then incubated with Rabbit anti-PCK1 antibody (ET7106-81) at 1/50 dilution in 2% negative goat serum overnight at 4 ℃. Goat Anti-Rabbit IgG H&L (Alexa Fluor® 488) was used as the secondary antibody at 1/1,000 dilution. Nuclear DNA was labelled in blue with DAPI.
ET7106-81_3.jpg Fig3: Immunocytochemistry analysis of SH-SY5Y cells labeling PCK1 with Rabbit anti-PCK1 antibody (ET7106-81) at 1/50 dilution.

Cells were fixed in 4% paraformaldehyde for 10 minutes at 37 ℃, permeabilized with 0.05% Triton X-100 in PBS for 20 minutes, and then blocked with 2% negative goat serum for 30 minutes at room temperature. Cells were then incubated with Rabbit anti-PCK1 antibody (ET7106-81) at 1/50 dilution in 2% negative goat serum overnight at 4 ℃. Goat Anti-Rabbit IgG H&L (Alexa Fluor® 488) was used as the secondary antibody at 1/1,000 dilution. Nuclear DNA was labelled in blue with DAPI.
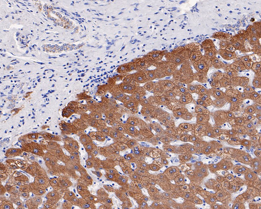
ET7106-81_4.jpg Fig4: Immunohistochemical analysis of paraffin-embedded human liver tissue with Rabbit anti-PCK1 antibody (ET7106-81) at 1/200 dilution.

The section was pre-treated using heat mediated antigen retrieval with Tris-EDTA buffer (pH 9.0) for 20 minutes. The tissues were blocked in 1% BSA for 20 minutes at room temperature, washed with ddH2O and PBS, and then probed with the primary antibody (ET7106-81) at 1/200 dilution for 1 hour at room temperature. The detection was performed using an HRP conjugated compact polymer system. DAB was used as the chromogen. Tissues were counterstained with hematoxylin and mounted with DPX.
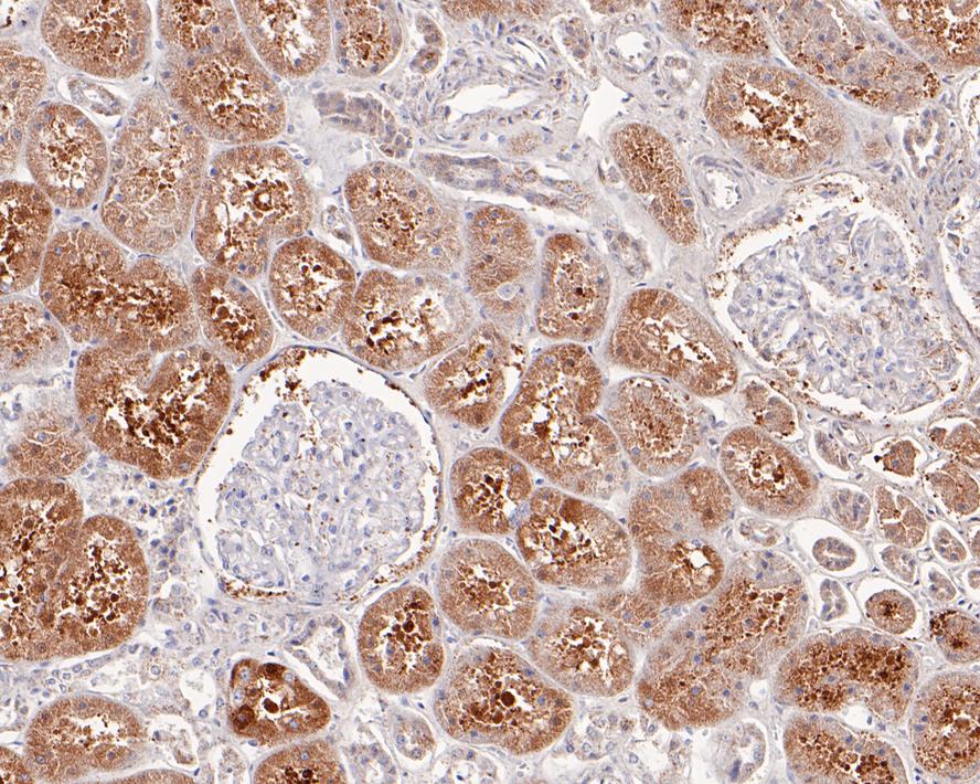
ET7106-81_5.jpg Fig5: Immunohistochemical analysis of paraffin-embedded human kidney tissue with Rabbit anti-PCK1 antibody (ET7106-81) at 1/200 dilution.

The section was pre-treated using heat mediated antigen retrieval with Tris-EDTA buffer (pH 9.0) for 20 minutes. The tissues were blocked in 1% BSA for 20 minutes at room temperature, washed with ddH2O and PBS, and then probed with the primary antibody (ET7106-81) at 1/200 dilution for 1 hour at room temperature. The detection was performed using an HRP conjugated compact polymer system. DAB was used as the chromogen. Tissues were counterstained with hematoxylin and mounted with DPX.
Note: All products are “FOR RESEARCH USE ONLY AND ARE NOT INTENDED FOR DIAGNOSTIC OR THERAPEUTIC USE”.