GIT1 Recombinant Rabbit Monoclonal Antibody [JU33-39]
cat.: ET7106-91
Product Type: Recombinant Rabbit monoclonal IgG, primary antibodies
Species reactivity: Human, Mouse, Rat
Applications: WB, IHC-P
Clonality: Monoclonal
Clone number: JU33-39
Form: Liquid
Storage condition: Shipped at 4℃. Store at +4℃ short term (1-2 weeks). It is recommended to aliquot into single-use upon delivery. Store at -20℃ long term.
Storage buffer: 1*TBS (pH7.4), 0.05% BSA, 40% Glycerol. Preservative: 0.05% Sodium Azide.
Concentration: 1ug/ul
Purification: Protein A affinity purified.
Molecular weight: Predicted band size: 84 kDa
Isotype: IgG
Immunogen: Recombinant protein within Human GIT1 aa 79-297 .
Positive control: C6 cell lysate, Mouse brain tissue lysate, Rat brain tissue lysate, Rat testis tissue lysate, A549 cell lysates, human colon carcinoma tissue, human pancreas tissue, mouse fallopian tubes tissue, rat brain tissue, mouse small intestine tissue.
Subcellular location: Cytoplasm.
Recommended Dilutions:
  WB
  IHC-P

1:500-1:2,000
1:50-1:400
Uniprot #: SwissProt: Q9Y2X7 Human | Q68FF6 Mouse | Q9Z272 Rat
Alternative names: ARF GAP GIT1 ARF GTPase activating protein GIT1 ARF GTPase-activating protein GIT1 CAT 1 CAT-1 CaT1 Cool associated and tyrosine phosphorylated protein 1 Cool-associated and tyrosine-phosphorylated protein 1 G protein coupled receptor kinase interacting ArfGAP 1 G protein coupled receptor kinase interactor 1 G protein-coupled receptor kinase-interactor 1 GIT1 GIT1_HUMAN GRK interacting protein 1 GRK-interacting protein 1
Images
ET7106-91_1.jpg Fig1: Western blot analysis of GIT1 on different lysates with Rabbit anti-GIT1 antibody (ET7106-91) at 1/2,000 dilution.

Lane 1: C6 cell lysate (10 µg/Lane)
Lane 2: Mouse brain tissue lysate (20 µg/Lane)
Lane 3: Rat brain tissue lysate (20 µg/Lane)
Lane 4: Rat testis tissue lysate (20 µg/Lane)

Predicted band size: 84 kDa
Observed band size: 84 kDa

Exposure time: 20 seconds; ECL: K1801;

4-20% SDS-PAGE gel.

Proteins were transferred to a PVDF membrane and blocked with 5% NFDM/TBST for 1 hour at room temperature. The primary antibody (ET7106-91) at 1/2,000 dilution was used in primary antibody dilution (K1803) at 4℃ overnight. Goat Anti-Rabbit IgG - HRP Secondary Antibody (HA1001) at 1/50,000 dilution was used for 1 hour at room temperature.
ET7106-91_2.jpg Fig2: Western blot analysis of GIT1 on A549 cell lysates with Rabbit anti-GIT1 antibody (ET7106-91) at 1/500 dilution.

Lysates/proteins at 10 µg/Lane.

Predicted band size: 84 kDa
Observed band size: 84 kDa

Exposure time: 2 minutes;

8% SDS-PAGE gel.

Proteins were transferred to a PVDF membrane and blocked with 5% NFDM/TBST for 1 hour at room temperature. The primary antibody (ET7106-91) at 1/500 dilution was used in 5% NFDM/TBST at room temperature for 2 hours. Goat Anti-Rabbit IgG - HRP Secondary Antibody (HA1001) at 1:200,000 dilution was used for 1 hour at room temperature.
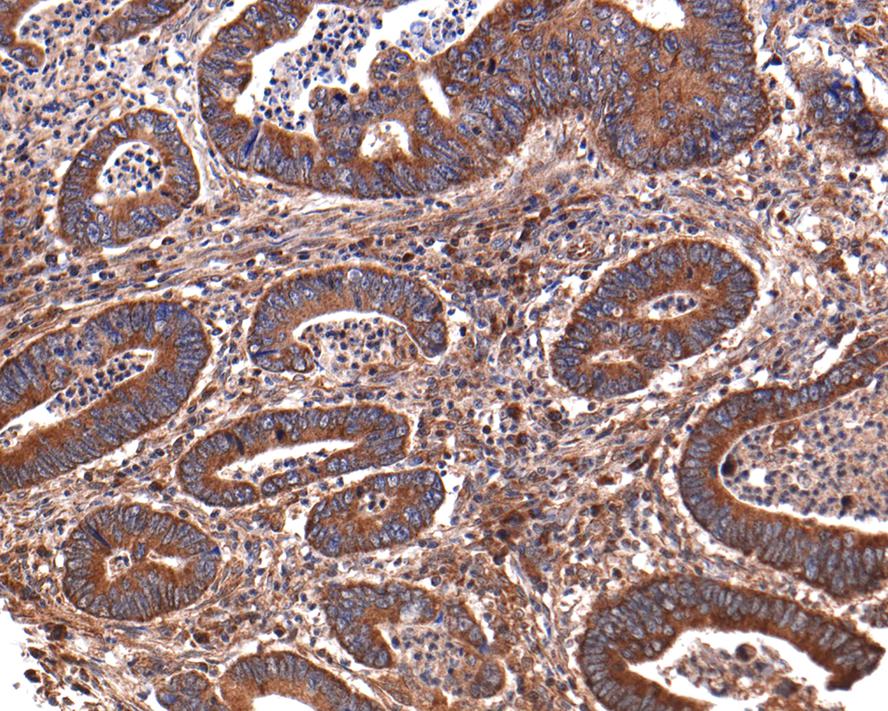
ET7106-91_3.jpg Fig3: Immunohistochemical analysis of paraffin-embedded human colon carcinoma tissue with Rabbit anti-GIT1 antibody (ET7106-91) at 1/400 dilution.

The section was pre-treated using heat mediated antigen retrieval with Tris-EDTA buffer (pH 9.0) for 20 minutes. The tissues were blocked in 1% BSA for 20 minutes at room temperature, washed with ddH2O and PBS, and then probed with the primary antibody (ET7106-91) at 1/400 dilution for 1 hour at room temperature. The detection was performed using an HRP conjugated compact polymer system. DAB was used as the chromogen. Tissues were counterstained with hematoxylin and mounted with DPX.
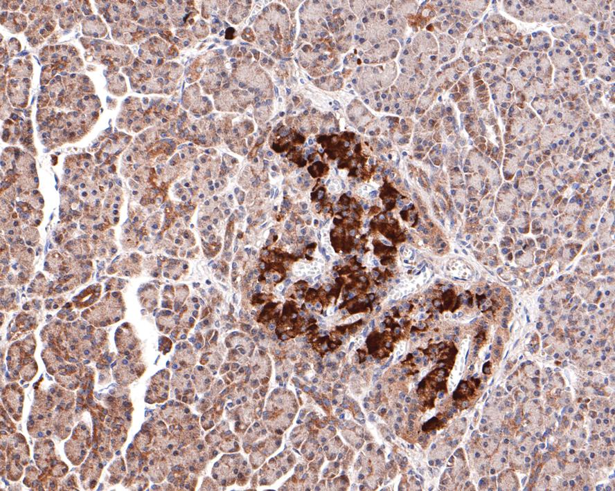
ET7106-91_4.jpg Fig4: Immunohistochemical analysis of paraffin-embedded human pancreas tissue with Rabbit anti-GIT1 antibody (ET7106-91) at 1/400 dilution.

The section was pre-treated using heat mediated antigen retrieval with Tris-EDTA buffer (pH 9.0) for 20 minutes. The tissues were blocked in 1% BSA for 20 minutes at room temperature, washed with ddH2O and PBS, and then probed with the primary antibody (ET7106-91) at 1/400 dilution for 1 hour at room temperature. The detection was performed using an HRP conjugated compact polymer system. DAB was used as the chromogen. Tissues were counterstained with hematoxylin and mounted with DPX.
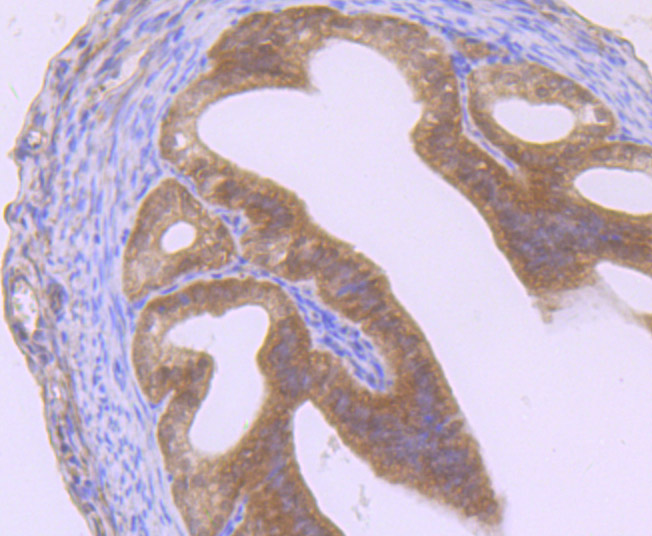
ET7106-91_5.jpg Fig5: Immunohistochemical analysis of paraffin-embedded mouse fallopian tubes tissue using anti-GIT1 antibody. The section was pre-treated using heat mediated antigen retrieval with Tris-EDTA buffer (pH 9.0) for 20 minutes.The tissues were blocked in 1% BSA for 30 minutes at room temperature, washed with ddH2O and PBS, and then probed with the primary antibody (ET7106-91, 1/50) for 30 minutes at room temperature. The detection was performed using an HRP conjugated compact polymer system. DAB was used as the chromogen. Tissues were counterstained with hematoxylin and mounted with DPX.
ET7106-91_6.jpg Fig6: Immunohistochemical analysis of paraffin-embedded rat brain tissue using anti-GIT1 antibody. The section was pre-treated using heat mediated antigen retrieval with Tris-EDTA buffer (pH 9.0) for 20 minutes.The tissues were blocked in 1% BSA for 30 minutes at room temperature, washed with ddH2O and PBS, and then probed with the primary antibody (ET7106-91, 1/50) for 30 minutes at room temperature. The detection was performed using an HRP conjugated compact polymer system. DAB was used as the chromogen. Tissues were counterstained with hematoxylin and mounted with DPX.
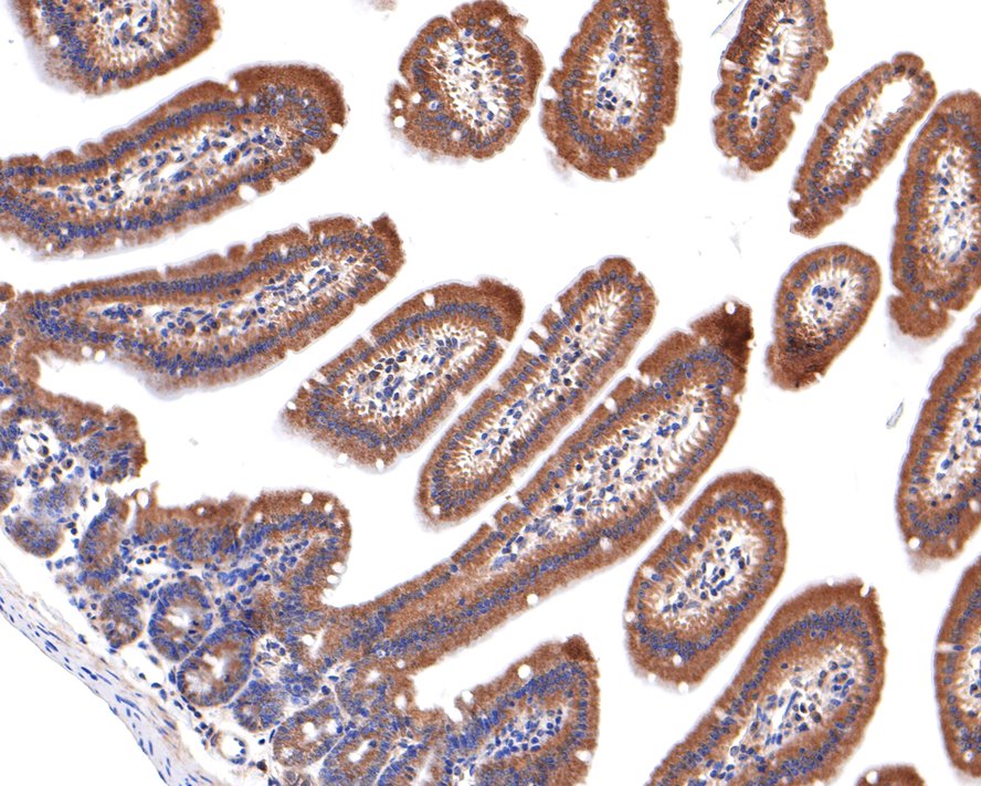
ET7106-91_7.jpg Fig7: Immunohistochemical analysis of paraffin-embedded mouse small intestine tissue with Rabbit anti-GIT1 antibody (ET7106-91) at 1/400 dilution.

The section was pre-treated using heat mediated antigen retrieval with Tris-EDTA buffer (pH 9.0) for 20 minutes. The tissues were blocked in 1% BSA for 20 minutes at room temperature, washed with ddH2O and PBS, and then probed with the primary antibody (ET7106-91) at 1/400 dilution for 1 hour at room temperature. The detection was performed using an HRP conjugated compact polymer system. DAB was used as the chromogen. Tissues were counterstained with hematoxylin and mounted with DPX.
Note: All products are “FOR RESEARCH USE ONLY AND ARE NOT INTENDED FOR DIAGNOSTIC OR THERAPEUTIC USE”.