SFPQ Recombinant Rabbit Monoclonal Antibody [JU33-99]
cat.: ET7107-02
Product Type: Recombinant Rabbit monoclonal IgG, primary antibodies
Species reactivity: Human, Mouse, Rat
Applications: WB, IHC-P, IF-Cell, IF-Tissue
Clonality: Monoclonal
Clone number: JU33-99
Form: Liquid
Storage condition: Shipped at 4℃. Store at +4℃ short term (1-2 weeks). It is recommended to aliquot into single-use upon delivery. Store at -20℃ long term.
Storage buffer: 1*TBS (pH7.4), 0.05% BSA, 40% Glycerol. Preservative: 0.05% Sodium Azide.
Concentration: 1ug/ul
Purification: Protein A affinity purified.
Molecular weight: Predicted band size: 76 kDa
Isotype: IgG
Immunogen: Synthetic peptide within Human SFPQ aa 658-707 / 707.
Positive control: Jurkat cell lysate, 293T cell lysate, HeLa cell lysate, K-562 cell lysate, Daudi cell lysate, Neuro-2a cell lysate, NIH/3T3 cell lysate, C2C12 cell lysate, C6 cell lysate, Mouse testis tissue lysate, Mouse lung tissue lysate, HeLa, Daudi, mouse brain tissue, rat brain tissue, human tonsil tissue, human liver cancer tissue, human kidney tissue, mouse testis tissue.
Subcellular location: Nucleus. Cytoplasm.
Recommended Dilutions:
  WB
  IHC-P
  IF-Cell

1:500-1:2,000
1:1,000
1:500
Uniprot #: SwissProt: P23246 Human | Q8VIJ6 Mouse
Entrez Gene: 252855 Rat
Alternative names: 100 kDa DNA pairing protein 100 kDa DNA-pairing protein 100 kDa subunit DNA binding p52/p100 complex 100 kDa subunit DNA-binding p52/p100 complex hPOMp100 Polypyrimidine tract binding protein associated splicing factor Polypyrimidine tract-binding protein-associated-splicing factor POMP100 PPP1R140 proline- and glutamine-rich Protein phosphatase 1 regulatory subunit 140 PSF PTB associated splicing factor PTB-associated-splicing factor Sfpq SFPQ_HUMAN Splicing factor Splicing factor proline and glutamine rich Splicing factor proline/glutamine rich (polypyrimidine tract binding protein associated) Splicing factor proline/glutamine rich
Images
ET7107-02_1.jpg Fig1: Western blot analysis of SFPQ on different lysates with Rabbit anti-SFPQ antibody (ET7107-02) at 1/1,000 dilution.

Lane 1: Jurkat cell lysate (20 µg/Lane)
Lane 2: 293T cell lysate (20 µg/Lane)
Lane 3: HeLa cell lysate (20 µg/Lane)
Lane 4: K-562 cell lysate (20 µg/Lane)
Lane 5: Daudi cell lysate (20 µg/Lane)
Lane 6: Neuro-2a cell lysate (20 µg/Lane)
Lane 7: NIH/3T3 cell lysate (20 µg/Lane)
Lane 8: C2C12 cell lysate (20 µg/Lane)
Lane 9: C6 cell lysate (20 µg/Lane)
Lane 10: Mouse testis tissue lysate (40 µg/Lane)
Lane 11: Mouse lung tissue lysate (40 µg/Lane)

Predicted band size: 76 kDa
Observed band size: 100 kDa

Exposure time: 2 seconds; ECL: K1801;

4-20% SDS-PAGE gel.

Proteins were transferred to a PVDF membrane and blocked with 5% NFDM/TBST for 1 hour at room temperature. The primary antibody (ET7107-02) at 1/1,000 dilution was used in 5% NFDM/TBST at 4℃ overnight. Goat Anti-Rabbit IgG - HRP Secondary Antibody (HA1001) at 1/50,000 dilution was used for 1 hour at room temperature.
ET7107-02_2.jpg Fig2: Immunocytochemistry analysis of HeLa cells labeling SFPQ with Rabbit anti-SFPQ antibody (ET7107-02) at 1/500 dilution.

Cells were fixed in 4% paraformaldehyde for 15 minutes at room temperature, permeabilized with 0.1% Triton X-100 in PBS for 15 minutes at room temperature, then blocked with 1% BSA in 10% negative goat serum for 1 hour at room temperature. Cells were then incubated with Rabbit anti-SFPQ antibody (ET7107-02) at 1/500 dilution in 1% BSA in PBST overnight at 4 ℃. Goat Anti-Rabbit IgG H&L (iFluor™ 488, HA1121) was used as the secondary antibody at 1/1,000 dilution. PBS instead of the primary antibody was used as the secondary antibody only control. Nuclear DNA was labelled in blue with DAPI.

Beta tubulin (HA601187, red) was stained at 1/100 dilution overnight at +4℃. Goat Anti-Mouse IgG H&L (iFluor™ 594, HA1126) was used as the secondary antibody at 1/1,000 dilution.
ET7107-02_3.jpg Fig3: Immunocytochemistry analysis of Daudi cells labeling SFPQ with Rabbit anti-SFPQ antibody (ET7107-02) at 1/500 dilution.

Cells were fixed in 4% paraformaldehyde for 15 minutes at room temperature, permeabilized with 0.1% Triton X-100 in PBS for 15 minutes at room temperature, then blocked with 1% BSA in 10% negative goat serum for 1 hour at room temperature. Cells were then incubated with Rabbit anti-SFPQ antibody (ET7107-02) at 1/500 dilution in 1% BSA in PBST overnight at 4 ℃. Goat Anti-Rabbit IgG H&L (iFluor™ 488, HA1121) was used as the secondary antibody at 1/1,000 dilution. PBS instead of the primary antibody was used as the secondary antibody only control. Nuclear DNA was labelled in blue with DAPI.

Beta tubulin (HA601187, red) was stained at 1/100 dilution overnight at +4℃. Goat Anti-Mouse IgG H&L (iFluor™ 594, HA1126) was used as the secondary antibody at 1/1,000 dilution.
ET7107-02_4.jpg Fig4: Immunohistochemical analysis of paraffin-embedded mouse brain tissue with Rabbit anti-SFPQ antibody (ET7107-02) at 1/1,000 dilution.

The section was pre-treated using heat mediated antigen retrieval with Tris-EDTA buffer (pH 9.0) for 20 minutes. The tissues were blocked in 1% BSA for 20 minutes at room temperature, washed with ddH2O and PBS, and then probed with the primary antibody (ET7107-02) at 1/1,000 dilution for 1 hour at room temperature. The detection was performed using an HRP conjugated compact polymer system. DAB was used as the chromogen. Tissues were counterstained with hematoxylin and mounted with DPX.
ET7107-02_5.jpg Fig5: Immunohistochemical analysis of paraffin-embedded rat brain tissue with Rabbit anti-SFPQ antibody (ET7107-02) at 1/1,000 dilution.

The section was pre-treated using heat mediated antigen retrieval with Tris-EDTA buffer (pH 9.0) for 20 minutes. The tissues were blocked in 1% BSA for 20 minutes at room temperature, washed with ddH2O and PBS, and then probed with the primary antibody (ET7107-02) at 1/1,000 dilution for 1 hour at room temperature. The detection was performed using an HRP conjugated compact polymer system. DAB was used as the chromogen. Tissues were counterstained with hematoxylin and mounted with DPX.
ET7107-02_6.jpg Fig6: Immunohistochemical analysis of paraffin-embedded human tonsil tissue using anti-SFPQ antibody. Counter stained with hematoxylin.
ET7107-02_7.jpg Fig7: Immunohistochemical analysis of paraffin-embedded human liver cancer tissue using anti-SFPQ antibody. Counter stained with hematoxylin.
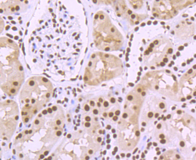
ET7107-02_8.jpg Fig8: Immunohistochemical analysis of paraffin-embedded human kidney tissue using anti-SFPQ antibody. Counter stained with hematoxylin.
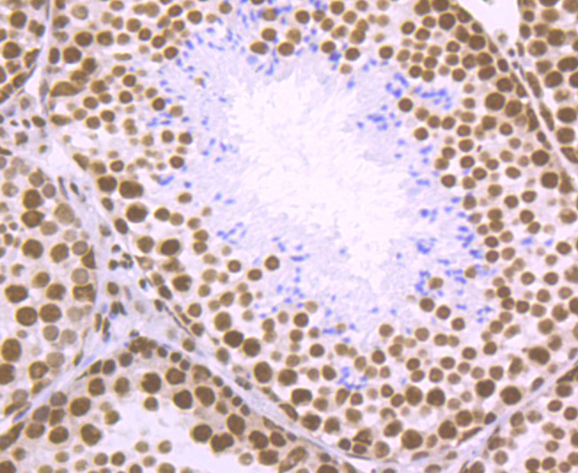
ET7107-02_9.jpg Fig9: Immunohistochemical analysis of paraffin-embedded mouse testis tissue using anti-SFPQ antibody. Counter stained with hematoxylin.
Note: All products are “FOR RESEARCH USE ONLY AND ARE NOT INTENDED FOR DIAGNOSTIC OR THERAPEUTIC USE”.