SMARCC1 Recombinant Rabbit Monoclonal Antibody [JB43-43]
cat.: ET7107-12
Product Type: Recombinant Rabbit monoclonal IgG, primary antibodies
Species reactivity: Human, Mouse
Applications: WB, IF-Cell, IF-Tissue, IHC-P, FC, IP
Clonality: Monoclonal
Clone number: JB43-43
Form: Liquid
Storage condition: Shipped at 4℃. Store at +4℃ short term (1-2 weeks). It is recommended to aliquot into single-use upon delivery. Store at -20℃ long term.
Storage buffer: 1*TBS (pH7.4), 0.05% BSA, 40% Glycerol. Preservative: 0.05% Sodium Azide.
Concentration: 1ug/ul
Purification: Protein A affinity purified.
Molecular weight: Predicted band size: 123 kDa
Isotype: IgG
Immunogen: Recombinant protein within Human SMARCC1 aa 680-820 / 1,105.
Positive control: HL-60 cell lysate, mouse thymus tissue lysate, NIH/3T3 cell lysate, 293T, mouse testis tissue, human lymph node tissue, human esophagus tissue, human small intestine tissue, K562.
Subcellular location: Nucleus. Cytoplasm.
Recommended Dilutions:
  WB
  IF-Cell
  IHC-P
  FC
  IP

1:1,000-1:2,000
1:500-1:1,000
1:400-1:1,000
1:500-1:1,000
Use at an assay dependent concentration.
Uniprot #: SwissProt: Q92922 Human | P97496 Mouse
Alternative names: AI115498 BAF 155 BAF155 BRG 1 associated factor 155 BRG1 associated factor 155 BRG1-associated factor 155 Chromatin remodeling complex BAF155 subunit CRACC 1 CRACC1 Mammalian chromatin remodeling complex BRG 1 associated factor 155 Mammalian chromatin remodeling complex BRG1 associated factor 155 Rsc 8 Rsc8 SMARC C1 SMARCC 1 SMARCC1 SMRC1_HUMAN SRG 3 SRG3 SWI 3 SWI/SNF complex 155 kDa subunit SWI/SNF complex subunit SMARCC1 SWI/SNF related matrix associated actin dependent regulator of chromatin c1 SWI/SNF related matrix associated actin dependent regulator of chromatin subfamily c member 1 SWI/SNF-related matrix-associated actin-dependent regulator of chromatin subfamily C member 1 SWI3
Images
ET7107-12_1.jpg Fig1: Western blot analysis of SMARCC1 on different lysates with Rabbit anti-SMARCC1 antibody (ET7107-12) at 1/2,000 dilution.

Lane 1: HeLa cell lysate
Lane 2: 293T cell lysate
Lane 3: Neuro-2a cell lysate
Lane 4: PC-12 cell lysate

Lysates/proteins at 15 µg/Lane.

Predicted band size: 123 kDa
Observed band size: 150 kDa

Exposure time: 15 seconds
4-20% SDS-PAGE gel.

Proteins were transferred to a PVDF membrane and blocked with 5% NFDM/TBST for 1 hour at room temperature. The primary antibody (ET7107-12) at 1/2,000 dilution was used in K1803 at 4℃ overnight. Goat Anti-Rabbit IgG - HRP Secondary Antibody (HA1001) at 1/50,000 dilution was used for 1 hour at room temperature.
ET7107-12_2.jpg Fig2: Western blot analysis of SMARCC1 on different lysates with Rabbit anti-SMARCC1 antibody (ET7107-12) at 1/1,000 dilution.

Lane 1: NIH/3T3 cell lysate (20 µg/Lane)
Lane 2: Mouse thymus tissue lysate (40 µg/Lane)

Predicted band size: 123 kDa
Observed band size: 150 kDa

Exposure time: 1 minute 2 seconds
4-20% SDS-PAGE gel.

Proteins were transferred to a PVDF membrane and blocked with 5% NFDM/TBST for 1 hour at room temperature. The primary antibody (ET7107-12) at 1/1,000 dilution was used in 5% NFDM/TBST at 4℃ overnight. Goat Anti-Rabbit IgG - HRP Secondary Antibody (HA1001) at 1/50,000 dilution was used for 1 hour at room temperature.
ET7107-12_3.jpg Fig3: Immunocytochemistry analysis of HeLa cells labeling SMARCC1 with Rabbit anti-SMARCC1 antibody (ET7107-12) at 1/1,000 dilution.

Cells were fixed in 4% paraformaldehyde for 15 minutes at room temperature, permeabilized with 0.1% Triton X-100 in PBS for 15 minutes at room temperature, then blocked with 1% BSA in 10% negative goat serum for 1 hour at room temperature. Cells were then incubated with Rabbit anti-SMARCC1 antibody (ET7107-12) at 1/1,000 dilution in 1% BSA in PBST overnight at 4 ℃. Goat Anti-Rabbit IgG H&L (iFluor™ 488, HA1121) was used as the secondary antibody at 1/1,000 dilution. PBS instead of the primary antibody was used as the secondary antibody only control. Nuclear DNA was labelled in blue with DAPI.

Beta tubulin (HA601187 , red) was stained at 1/100 dilution overnight at +4℃. Goat Anti-Mouse IgG H&L (iFluor™ 594, HA1126) was used as the secondary antibody at 1/1,000 dilution.
ET7107-12_4.jpg Fig4: Immunocytochemistry analysis of Neuro-2a cells (Mouse) labeling SMARCC1 with Rabbit anti-SMARCC1 antibody (ET7107-12) at 1/1,000 dilution.

Cells were fixed in 4% paraformaldehyde for 15 minutes at room temperature, permeabilized with 0.1% Triton X-100 in PBS for 15 minutes at room temperature, then blocked with 1% BSA in 10% negative goat serum for 1 hour at room temperature. Cells were then incubated with Rabbit anti-SMARCC1 antibody (ET7107-12) at 1/1,000 dilution in 1% BSA in PBST overnight at 4 ℃. Goat Anti-Rabbit IgG H&L (iFluor™ 488, HA1121) was used as the secondary antibody at 1/1,000 dilution. PBS instead of the primary antibody was used as the secondary antibody only control. Nuclear DNA was labelled in blue with DAPI.

Beta tubulin (HA601187 , red) was stained at 1/100 dilution overnight at +4℃. Goat Anti-Mouse IgG H&L (iFluor™ 594, HA1126) was used as the secondary antibody at 1/1,000 dilution.
ET7107-12_5.jpg Fig5: Immunohistochemical analysis of paraffin-embedded human colon tissue with Rabbit anti-SMARCC1 antibody (ET7107-12) at 1/1,000 dilution.

The section was pre-treated using heat mediated antigen retrieval with Tris-EDTA buffer (pH 9.0) for 20 minutes. The tissues were blocked in 1% BSA for 20 minutes at room temperature, washed with ddH2O and PBS, and then probed with the primary antibody (ET7107-12) at 1/1,000 dilution for 1 hour at room temperature. The detection was performed using an HRP conjugated compact polymer system. DAB was used as the chromogen. Tissues were counterstained with hematoxylin and mounted with DPX.
ET7107-12_6.jpg Fig6: Immunohistochemical analysis of paraffin-embedded human esophagus tissue using anti-SMARCC1 antibody.

The section was pre-treated using heat mediated antigen retrieval with sodium citrate buffer (pH 6.0) (high pressure) for 2 minutes. The tissues were blocked in 1% BSA for 30 minutes at room temperature, washed with ddH2O and PBS, and then probed with the primary antibody (ET7107-12, 1/400) for 30 minutes at room temperature. The detection was performed using an HRP conjugated compact polymer system. DAB was used as the chromogen. Tissues were counterstained with hematoxylin and mounted with DPX.
ET7107-12_7.jpg Fig7: Immunohistochemical analysis of paraffin-embedded mouse colon tissue with Rabbit anti-SMARCC1 antibody (ET7107-12) at 1/1,000 dilution.

The section was pre-treated using heat mediated antigen retrieval with Tris-EDTA buffer (pH 9.0) for 20 minutes. The tissues were blocked in 1% BSA for 20 minutes at room temperature, washed with ddH2O and PBS, and then probed with the primary antibody (ET7107-12) at 1/1,000 dilution for 1 hour at room temperature. The detection was performed using an HRP conjugated compact polymer system. DAB was used as the chromogen. Tissues were counterstained with hematoxylin and mounted with DPX.
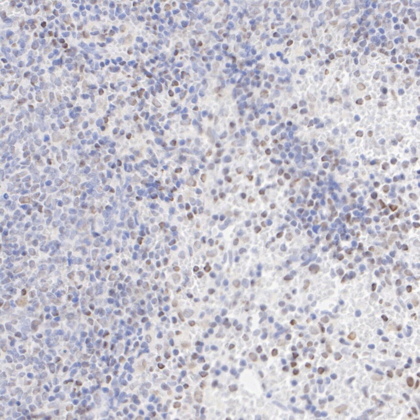
ET7107-12_8.jpg Fig8: Immunohistochemical analysis of paraffin-embedded mouse spleen tissue with Rabbit anti-SMARCC1 antibody (ET7107-12) at 1/1,000 dilution.

The section was pre-treated using heat mediated antigen retrieval with Tris-EDTA buffer (pH 9.0) for 20 minutes. The tissues were blocked in 1% BSA for 20 minutes at room temperature, washed with ddH2O and PBS, and then probed with the primary antibody (ET7107-12) at 1/1,000 dilution for 1 hour at room temperature. The detection was performed using an HRP conjugated compact polymer system. DAB was used as the chromogen. Tissues were counterstained with hematoxylin and mounted with DPX.
ET7107-12_9.jpg Fig9: Immunohistochemical analysis of paraffin-embedded rat spleen tissue with Rabbit anti-SMARCC1 antibody (ET7107-12) at 1/1,000 dilution.

The section was pre-treated using heat mediated antigen retrieval with Tris-EDTA buffer (pH 9.0) for 20 minutes. The tissues were blocked in 1% BSA for 20 minutes at room temperature, washed with ddH2O and PBS, and then probed with the primary antibody (ET7107-12) at 1/1,000 dilution for 1 hour at room temperature. The detection was performed using an HRP conjugated compact polymer system. DAB was used as the chromogen. Tissues were counterstained with hematoxylin and mounted with DPX.
ET7107-12_10.jpg Fig10: SMARCC1 was immunoprecipitated in 0.2mg 293T cell lysate with ET7107-12 at 2 µg/10 µl beads. Western blot was performed from the immunoprecipitate using ET7107-12 at 1/2,000 dilution. Anti-Rabbit IgG for IP Nano-secondary antibody (NBI01H) at 1/5,000 dilution was used for 1 hour at room temperature.

Lane 1: 293T cell lysate (input)
Lane 2: ET7107-12 IP in 293T cell lysate
Lane 3: Rabbit IgG instead of ET7107-12 in 293T cell lysate

Blocking/Dilution buffer: 5% NFDM/TBST
Exposure time: 2 minute
Note: All products are “FOR RESEARCH USE ONLY AND ARE NOT INTENDED FOR DIAGNOSTIC OR THERAPEUTIC USE”.