SET Recombinant Rabbit Monoclonal Antibody [JB60-34]
cat.: ET7107-18
Product Type: Recombinant Rabbit monoclonal IgG, primary antibodies
Species reactivity: Human, Mouse
Applications: WB, IF-Cell, IHC-P, IP, IF-Tissue
Clonality: Monoclonal
Clone number: JB60-34
Form: Liquid
Storage condition: Shipped at 4℃. Store at +4℃ short term (1-2 weeks). It is recommended to aliquot into single-use upon delivery. Store at -20℃ long term.
Storage buffer: 1*TBS (pH7.4), 0.05% BSA, 40% Glycerol. Preservative: 0.05% Sodium Azide.
Concentration: 1ug/ul
Purification: Protein A affinity purified.
Molecular weight: Predicted band size: 33 kDa
Isotype: IgG
Immunogen: Recombinant protein within Human SET aa 160-290 / 290.
Positive control: Rat kidney tissue, human tonsil tissue, mouse fallopian tube tissue, human lung carcinoma tissue, human kidney tissue, K-562 cell lysate, HeLa cell lysate, NIH/3T3 cell lysate.
Subcellular location: Nucleus. Cytoplasm. Endoplasmic reticulum.
Recommended Dilutions:
  WB
  IF-Cell
  IHC-P
  IP
  IF-Tissue

1:500-1:2,000
1:50-1:200
1:50-1:200
1-2μg/sample
1:50
Uniprot #: SwissProt: Q01105 Human | Q9EQU5 Mouse
Alternative names: 2PP2A HLA DR associated protein II HLA-DR-associated protein II I 2PP2A I-2PP2A I2PP2A IGAAD Inhibitor of granzyme A activated DNase Inhibitor of granzyme A-activated DNase Inhibitor of GzmA-activated DNase inhibitor-2 of protein phosphatase-2A IPP2A2 PHAPII Phosphatase 2A inhibitor I2PP2A protein phosphatase type 2A inhibitor Protein SET Set SET nuclear oncogene SET translocation SET translocation (myeloid leukemia-associated) SET_HUMAN TAF I TAF IBETA TAF-I TAFI Template activating factor I Template-activating factor I Template-Activating Factor-I, chromatin remodelling factor
Images
ET7107-18_1.jpg Fig1: Western blot analysis of SET on different lysates with Rabbit anti-SET antibody (ET7107-18) at 1/1,000 dilution.

Lane 1: K-562 cell lysate
Lane 2: HeLa cell lysate
Lane 3: NIH/3T3 cell lysate

Lysates/proteins at 10 µg/Lane.

Predicted band size: 33 kDa
Observed band size: 40 kDa

Exposure time: 10 seconds; ECL: K1801;

4-20% SDS-PAGE gel.

Proteins were transferred to a PVDF membrane and blocked with 5% NFDM/TBST for 1 hour at room temperature. The primary antibody (ET7107-18) at 1/1,000 dilution was used in 5% NFDM/TBST at 4℃ overnight. Goat Anti-Rabbit IgG - HRP Secondary Antibody (HA1001) at 1/50,000 dilution was used for 1 hour at room temperature.
ET7107-18_2.jpg Fig2: Immunocytochemistry analysis of HeLa cells labeling SET with Rabbit anti-SET antibody (ET7107-18) at 1/100 dilution.

Cells were fixed in 4% paraformaldehyde for 15 minutes at room temperature, permeabilized with 0.1% Triton X-100 in PBS for 15 minutes at room temperature, then blocked with 1% BSA in 10% negative goat serum for 1 hour at room temperature. Cells were then incubated with Rabbit anti-SET antibody (ET7107-18) at 1/100 dilution in 1% BSA in PBST overnight at 4 ℃. Goat Anti-Rabbit IgG H&L (iFluor™ 488, HA1121) was used as the secondary antibody at 1/1,000 dilution. PBS instead of the primary antibody was used as the secondary antibody only control. Nuclear DNA was labelled in blue with DAPI.

Beta tubulin (M1305-2, red) was stained at 1/100 dilution overnight at +4℃. Goat Anti-Mouse IgG H&L (iFluor™ 594, HA1126) was used as the secondary antibody at 1/1,000 dilution.
ET7107-18_3.jpg Fig3: Immunohistochemical analysis of paraffin-embedded rat kidney tissue using anti-SET antibody. The section was pre-treated using heat mediated antigen retrieval with Tris-EDTA buffer (pH 8.0-8.4) for 20 minutes.The tissues were blocked in 5% BSA for 30 minutes at room temperature, washed with ddH2O and PBS, and then probed with the primary antibody (ET7107-18, 1/50) for 30 minutes at room temperature. The detection was performed using an HRP conjugated compact polymer system. DAB was used as the chromogen. Tissues were counterstained with hematoxylin and mounted with DPX.
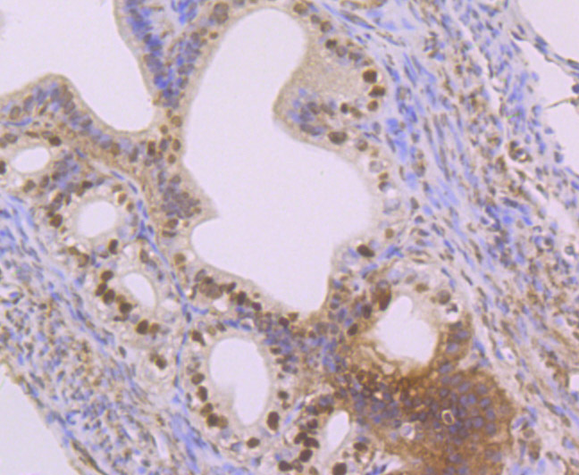
ET7107-18_4.jpg Fig4: Immunohistochemical analysis of paraffin-embedded mouse fallopian tube tissue using anti-SET antibody. The section was pre-treated using heat mediated antigen retrieval with Tris-EDTA buffer (pH 8.0-8.4) for 20 minutes.The tissues were blocked in 5% BSA for 30 minutes at room temperature, washed with ddH2O and PBS, and then probed with the primary antibody (ET7107-18, 1/50) for 30 minutes at room temperature. The detection was performed using an HRP conjugated compact polymer system. DAB was used as the chromogen. Tissues were counterstained with hematoxylin and mounted with DPX.
ET7107-18_5.jpg Fig5: Immunohistochemical analysis of paraffin-embedded human lung carcinoma tissue using anti-SET antibody. The section was pre-treated using heat mediated antigen retrieval with Tris-EDTA buffer (pH 8.0-8.4) for 20 minutes.The tissues were blocked in 5% BSA for 30 minutes at room temperature, washed with ddH2O and PBS, and then probed with the primary antibody (ET7107-18, 1/50) for 30 minutes at room temperature. The detection was performed using an HRP conjugated compact polymer system. DAB was used as the chromogen. Tissues were counterstained with hematoxylin and mounted with DPX.
ET7107-18_6.jpg Fig6: Immunohistochemical analysis of paraffin-embedded human kidney tissue using anti-SET antibody. The section was pre-treated using heat mediated antigen retrieval with Tris-EDTA buffer (pH 8.0-8.4) for 20 minutes.The tissues were blocked in 5% BSA for 30 minutes at room temperature, washed with ddH2O and PBS, and then probed with the primary antibody (ET7107-18, 1/50) for 30 minutes at room temperature. The detection was performed using an HRP conjugated compact polymer system. DAB was used as the chromogen. Tissues were counterstained with hematoxylin and mounted with DPX.
ET7107-18_7.jpg Fig7: Immunohistochemical analysis of paraffin-embedded human tonsil tissue with Rabbit anti-SET antibody (ET7107-18) at 1/200 dilution.

The section was pre-treated using heat mediated antigen retrieval with Tris-EDTA buffer (pH 9.0) for 20 minutes. The tissues were blocked in 1% BSA for 20 minutes at room temperature, washed with ddH2O and PBS, and then probed with the primary antibody (ET7107-18) at 1/200 dilution for 1 hour at room temperature. The detection was performed using an HRP conjugated compact polymer system. DAB was used as the chromogen. Tissues were counterstained with hematoxylin and mounted with DPX.
ET7107-18_8.jpg Fig8: SET was immunoprecipitated from 0.2 mg HeLa cell lysate with ET7107-18 at 2 µg/25 µl agarose. Western blot was performed from the immunoprecipitate using ET7107-18 at 1/1,000 dilution. Anti-Rabbit IgG for IP Nano-secondary antibody (NBI01H) at 1/5,000 dilution was used for 1 hour at room temperature.

Lane 1: HeLa cell lysate (input)
Lane 2: ET7107-18 IP in HeLa cell lysate
Lane 3: Rabbit IgG instead of ET7107-18 in HeLa cell lysate

Blocking/Dilution buffer: 5% NFDM/TBST
Exposure time: 3 minutes; ECL: K1801
Note: All products are “FOR RESEARCH USE ONLY AND ARE NOT INTENDED FOR DIAGNOSTIC OR THERAPEUTIC USE”.