Ctip1 Recombinant Rabbit Monoclonal Antibody [JB35-68]
cat.: ET7107-38
Product Type: Recombinant Rabbit monoclonal IgG, primary antibodies
Species reactivity: Human, Mouse
Applications: WB, IHC-P, FC, IF-Cell, IF-Tissue
Clonality: Monoclonal
Clone number: JB35-68
Form: Liquid
Storage condition: Shipped at 4℃. Store at +4℃ short term (1-2 weeks). It is recommended to aliquot into single-use upon delivery. Store at -20℃ long term.
Storage buffer: 1*TBS (pH7.4), 0.05% BSA, 40% Glycerol. Preservative: 0.05% Sodium Azide.
Concentration: 1ug/ul
Purification: Protein A affinity purified.
Molecular weight: Predicted band size: 91 kDa
Isotype: IgG
Immunogen: Recombinant protein within Human Ctip1 aa 381-609 / 835.
Positive control: Jurkat cell lysates, Daudi cell lysate, Raji cell lysate, Jurkat, mouse brain tissue, mouse spleen tissue.
Subcellular location: Cytoplasm. Nucleus.
Recommended Dilutions:
  WB
  IHC-P
  FC
  IF-Cell
  IF-Tissue

1:1,000-1:5,000
1:50
1:1,000
1:100
1:50-1:200
Uniprot #: SwissProt: Q9H165 Human | Q9QYE3 Mouse
Alternative names: 2810047E18Rik B cell CLL/lymphoma 11A (zinc finger protein) B cell CLL/lymphoma 11A (zinc finger protein) isoform 2 B-cell CLL/lymphoma 11A B-cell lymphoma/leukemia 11A BC11A_HUMAN BCL-11A BCL11A BCL11A B cell CLL/lymphoma 11A (zinc finger protein) isoform 1 BCL11A L BCL11A S BCL11A XL BCL11a-M BCL11AL BCL11AS BCL11AXL C2H2 type zinc finger protein COUP TF interacting protein 1 COUP-TF-interacting protein 1 CTIP1 CTIP1, mouse, homolog of D930021L15Rik Ecotropic viral integration site 9 Ecotropic viral integration site 9 homolog Ecotropic viral integration site 9 protein Ecotropic viral integration site 9 protein homolog EVI-9 Evi9 Evi9, mouse, homolog of FLJ10173 FLJ34997 HBFQTL5 KIAA1809 mKIAA1809 OTTHUMP00000159788 OTTHUMP00000159789 OTTHUMP00000201250 OTTHUMP00000202084 Zinc finger protein 856 ZNF856
Images
ET7107-38_1.jpg Fig1: Western blot analysis of Ctip1 on Jurkat cell lysates with Rabbit anti-Ctip1 antibody (ET7107-38) at 1/5,000 dilution.

Lysates/proteins at 20 µg/Lane.

Predicted band size: 91 kDa
Observed band size: 120 kDa

Exposure time: 3 minutes; ECL: K1801;

4-20% SDS-PAGE gel.

Proteins were transferred to a PVDF membrane and blocked with 5% NFDM/TBST for 1 hour at room temperature. The primary antibody (ET7107-38) at 1/5,000 dilution was used in 5% NFDM/TBST at 4℃ overnight. Goat Anti-Rabbit IgG - HRP Secondary Antibody (HA1001) at 1/50,000 dilution was used for 1 hour at room temperature.
ET7107-38_2.jpg Fig2: Western blot analysis of Ctip1 on different lysates with Rabbit anti-Ctip1 antibody (ET7107-38) at 1/1,000 dilution.

Lane 1: Daudi cell lysate
Lane 2: Raji cell lysate

Lysates/proteins at 20 µg/Lane.

Predicted band size: 91 kDa
Observed band size: 120 kDa

Exposure time: 20 seconds; ECL: K1801;

4-20% SDS-PAGE gel.

Proteins were transferred to a PVDF membrane and blocked with 5% NFDM/TBST for 1 hour at room temperature. The primary antibody (ET7107-38) at 1/1,000 dilution was used in 5% NFDM/TBST at 4℃ overnight. Goat Anti-Rabbit IgG - HRP Secondary Antibody (HA1001) at 1/50,000 dilution was used for 1 hour at room temperature.
ET7107-38_3.jpg Fig3: Immunocytochemistry analysis of Jurkat cells labeling Ctip1 with Rabbit anti-Ctip1 antibody (ET7107-38) at 1/100 dilution.

Cells were fixed in 4% paraformaldehyde for 20 minutes at room temperature, permeabilized with 0.1% Triton X-100 in PBS for 5 minutes at room temperature, then blocked with 1% BSA in 10% negative goat serum for 1 hour at room temperature. Cells were then incubated with Rabbit anti-Ctip1 antibody (ET7107-38) at 1/100 dilution in 1% BSA in PBST overnight at 4 ℃. Goat Anti-Rabbit IgG H&L (iFluor™ 488, HA1121) was used as the secondary antibody at 1/1,000 dilution. PBS instead of the primary antibody was used as the secondary antibody only control. Nuclear DNA was labelled in blue with DAPI.

Beta tubulin (M1305-2, red) was stained at 1/100 dilution overnight at +4℃. Goat Anti-Mouse IgG H&L (iFluor™ 594, HA1126) was used as the secondary antibody at 1/1,000 dilution.
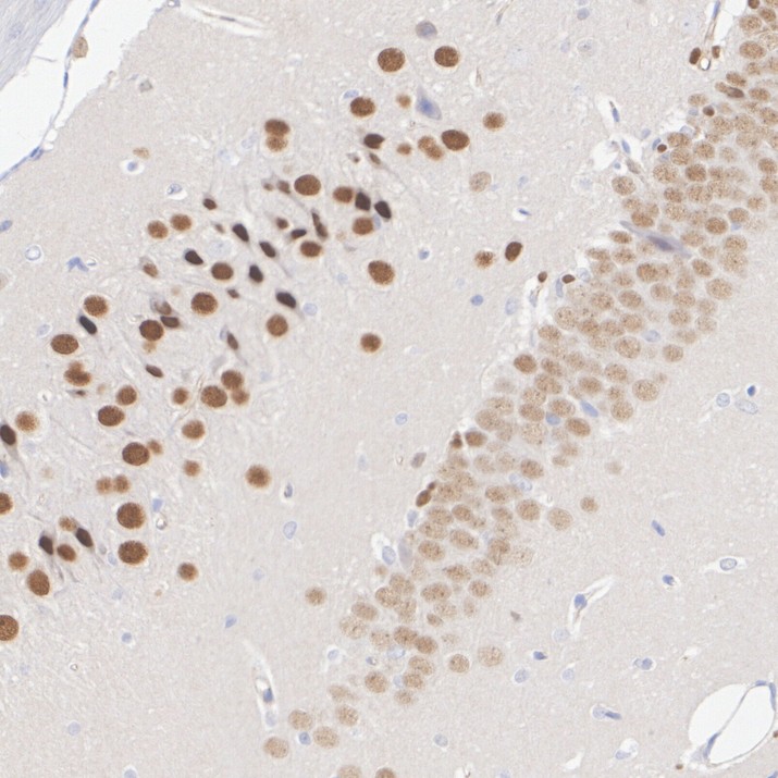
ET7107-38_4.jpg Fig4: Immunohistochemical analysis of paraffin-embedded mouse brain tissue with Rabbit anti-Ctip1 antibody (ET7107-38) at 1/50 dilution.

The section was pre-treated using heat mediated antigen retrieval with sodium citrate buffer (pH 6.0) (high pressure) for 2 minutes. The tissues were blocked in 1% BSA for 20 minutes at room temperature, washed with ddH2O and PBS, and then probed with the primary antibody (ET7107-38) at 1/50 dilution for 1 hour at room temperature. The detection was performed using an HRP conjugated compact polymer system. DAB was used as the chromogen. Tissues were counterstained with hematoxylin and mounted with DPX.
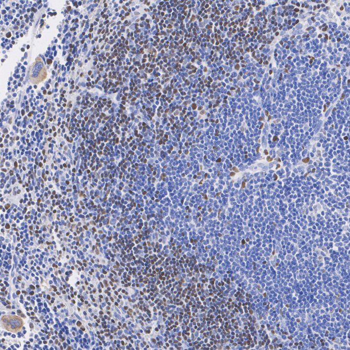
ET7107-38_5.jpg Fig5: Immunohistochemical analysis of paraffin-embedded mouse spleen tissue with Rabbit anti-Ctip1 antibody (ET7107-38) at 1/50 dilution.

The section was pre-treated using heat mediated antigen retrieval with sodium citrate buffer (pH 6.0) (high pressure) for 2 minutes. The tissues were blocked in 1% BSA for 20 minutes at room temperature, washed with ddH2O and PBS, and then probed with the primary antibody (ET7107-38) at 1/50 dilution for 1 hour at room temperature. The detection was performed using an HRP conjugated compact polymer system. DAB was used as the chromogen. Tissues were counterstained with hematoxylin and mounted with DPX.
ET7107-38_6.jpg Fig6: Flow cytometric analysis of Jurkat cells labeling Ctip1.

Cells were fixed and permeabilized. Then stained with the primary antibody (ET7107-38, 1/1,000) (red) compared with Rabbit IgG Isotype Control (green). After incubation of the primary antibody at +4℃ for an hour, the cells were stained with a iFluor™ 488 conjugate-Goat anti-Rabbit IgG Secondary antibody (HA1121) at 1/1,000 dilution for 30 minutes at +4℃. Unlabelled sample was used as a control (cells without incubation with primary antibody; black).
Note: All products are “FOR RESEARCH USE ONLY AND ARE NOT INTENDED FOR DIAGNOSTIC OR THERAPEUTIC USE”.