 
	            	| Product Type: | Recombinant Rabbit monoclonal IgG, primary antibodies | 
|---|---|
| Species reactivity: | Human, Mouse, Rat | 
| Applications: | WB, IHC-P, FC | 
| Clonality: | Monoclonal | 
| Clone number: | JB57-37 | 
| Form: | Liquid | 
| Storage condition: | Shipped at 4℃. Store at +4℃ short term (1-2 weeks). It is recommended to aliquot into single-use upon delivery. Store at -20℃ long term. | 
| Storage buffer: | 1*TBS (pH7.4), 0.05% BSA, 40% Glycerol. Preservative: 0.05% Sodium Azide. | 
| Concentration: | 1ug/ul | 
| Purification: | Protein A affinity purified. | 
| Molecular weight: | Predicted band size: 45 kDa | 
| Isotype: | IgG | 
| Immunogen: | Recombinant protein within Human Calsequestrin 1 aa 80-220 / 396. | 
| Positive control: | Rat skeletal muscle tissue, mouse skeletal muscle tissue, human fetal skeletal muscle tissue, C2C12. | 
| Subcellular location: | Endoplasmic reticulum. Mitochondrion. | 
| Recommended Dilutions: WB IHC-P FC | 1:500 1:50-1:200 1:50-1:100 | 
| Uniprot #: | SwissProt: P31415 Human | O09165 Mouse | P19633 Rat | 
| Alternative names: | Calmitin Calmitine Calsequestrin 1 (fast twitch, skeletal muscle) Calsequestrin Calsequestrin, cell Calsequestrin, skeletal muscle isoform Calsequestrin-1 CASQ Casq1 CASQ1_HUMAN PDIB1 skeletal muscle isoform | 
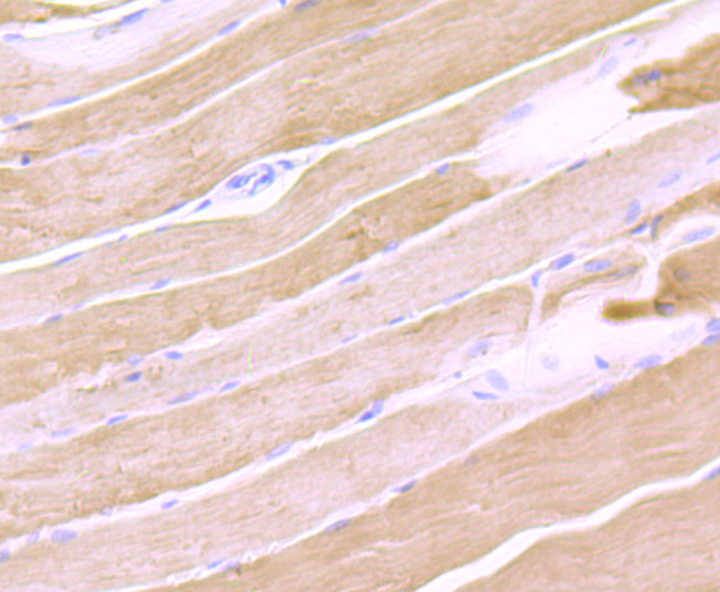
|   | Fig1: Immunohistochemical analysis of paraffin-embedded rat skeletal muscle tissue using anti-Calsequestrin 1 antibody. Counter stained with hematoxylin. | 
|   | Fig2: Immunohistochemical analysis of paraffin-embedded human fetal skeletal muscle tissue using anti-Calsequestrin 1 antibody. Counter stained with hematoxylin. | 
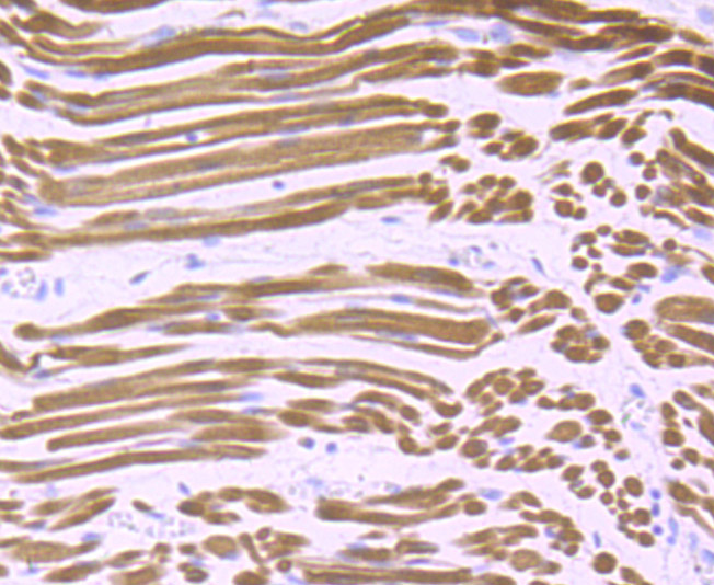
|   | Fig3: Immunohistochemical analysis of paraffin-embedded mouse skeletal muscle tissue using anti-Calsequestrin 1 antibody. Counter stained with hematoxylin. | 
|   | Fig4: Flow cytometric analysis of C2C12 cells with Calsequestrin 1 antibody at 1/100 dilution (red) compared with an unlabelled control (cells without incubation with primary antibody; black). Alexa Fluor 488-conjugated goat anti rabbit IgG was used as the secondary antibody. |