Securin Recombinant Rabbit Monoclonal Antibody [JB37-37]
cat.: ET7107-50
Product Type: Recombinant Rabbit monoclonal IgG, primary antibodies
Species reactivity: Human
Applications: WB, IF-Cell, IF-Tissue, IHC-P, FC, IP
Clonality: Monoclonal
Clone number: JB37-37
Form: Liquid
Storage condition: Shipped at 4℃. Store at +4℃ short term (1-2 weeks). It is recommended to aliquot into single-use upon delivery. Store at -20℃ long term.
Storage buffer: 1*TBS (pH7.4), 0.05% BSA, 40% Glycerol. Preservative: 0.05% Sodium Azide.
Concentration: 1ug/ul
Purification: Protein A affinity purified.
Molecular weight: Predicted band size: 22 kDa
Isotype: IgG
Immunogen: Recombinant protein within C-terminal Human Securin .
Positive control: SiHa cell lysate, A431, HUVEC, PC-3M, human tonsil tissue, human colon cancer tissue, human testis tissue, human lymph nodes tissue.
Subcellular location: Cytoplasm. Nucleus.
Recommended Dilutions:
  WB
  IF-Cell
  IHC-P
  FC
  IP

1:500
1:50-1:200
1:50-1:200
1:50-1:100
Use at an assay dependent concentration.
Uniprot #: SwissProt: O95997 Human | Q6IAL9 Human
Alternative names: AW555095 C87862 Cut2 EAP 1 EAP1 ESP1 associated protein 1 Esp1-associated protein hPTTG MGC126883 MGC138276 Pds1 Pituitary tumor transforming 1 Pituitary tumor transforming protein 1 Pituitary tumor-transforming 1, isoform CRA_a Pituitary tumor-transforming 1, isoform CRA_b Pituitary tumor-transforming gene 1 Pituitary tumor-transforming gene 1 protein PTTG 1 PTTG PTTG1 PTTG1 protein PTTG1_HUMAN Pttg3 Securin Tumor transforming 1 Tumor transforming protein 1 Tumor-transforming protein 1 TUTR 1 TUTR1
Images
ET7107-50_1.jpg Fig1: Western blot analysis of Securin on SiHa cell lysate using anti-Securin antibody at 1/500 dilution.
ET7107-50_2.jpg Fig2: ICC staining Securin in A431 cells (green). The nuclear counter stain is DAPI (blue). Cells were fixed in paraformaldehyde, permeabilised with 0.25% Triton X100/PBS.
ET7107-50_3.jpg Fig3: ICC staining Securin in HUVEC cells (green). The nuclear counter stain is DAPI (blue). Cells were fixed in paraformaldehyde, permeabilised with 0.25% Triton X100/PBS.
ET7107-50_4.jpg Fig4: ICC staining Securin in PC-3M cells (green). The nuclear counter stain is DAPI (blue). Cells were fixed in paraformaldehyde, permeabilised with 0.25% Triton X100/PBS.
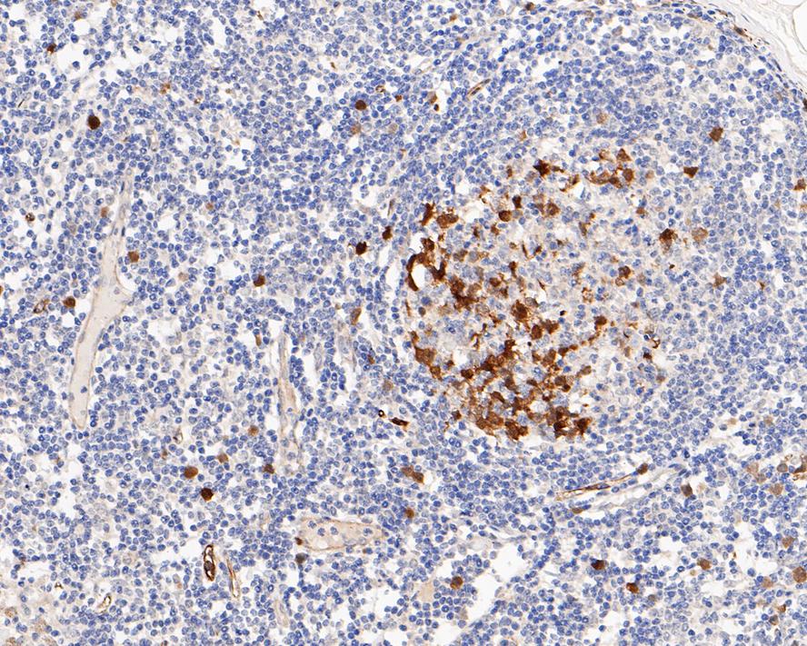
ET7107-50_5.jpg Fig5: Immunohistochemical analysis of paraffin-embedded human tonsil tissue with Rabbit anti-Securin antibody (ET7107-50) at 1/1,000 dilution.

The section was pre-treated using heat mediated antigen retrieval with sodium citrate buffer (pH 6.0) for 2 minutes. The tissues were blocked in 1% BSA for 20 minutes at room temperature, washed with ddH2O and PBS, and then probed with the primary antibody (ET7107-50) at 1/1,000 dilution for 1 hour at room temperature. The detection was performed using an HRP conjugated compact polymer system. DAB was used as the chromogen. Tissues were counterstained with hematoxylin and mounted with DPX.
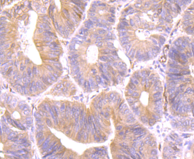
ET7107-50_6.jpg Fig6: Immunohistochemical analysis of paraffin-embedded human colon cancer tissue using anti-Securin antibody. Counter stained with hematoxylin.
ET7107-50_7.jpg Fig7: Flow cytometric analysis of A431 cells with Securin antibody at 1/100 dilution (red) compared with an unlabelled control (cells without incubation with primary antibody; black). Alexa Fluor 488-conjugated goat anti-rabbit IgG was used as the secondary antibody.
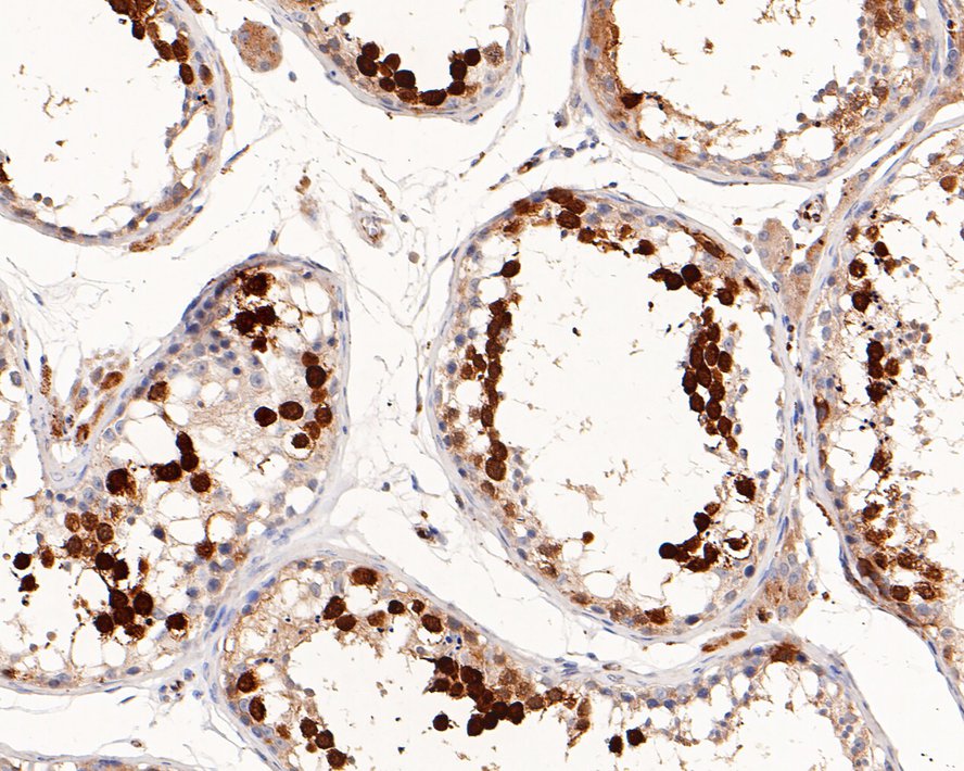
ET7107-50_8.jpg Fig8: Immunohistochemical analysis of paraffin-embedded human testis tissue with Rabbit anti-Securin antibody (ET7107-50) at 1/1,000 dilution.

The section was pre-treated using heat mediated antigen retrieval with sodium citrate buffer (pH 6.0) for 2 minutes. The tissues were blocked in 1% BSA for 20 minutes at room temperature, washed with ddH2O and PBS, and then probed with the primary antibody (ET7107-50) at 1/1,000 dilution for 1 hour at room temperature. The detection was performed using an HRP conjugated compact polymer system. DAB was used as the chromogen. Tissues were counterstained with hematoxylin and mounted with DPX.
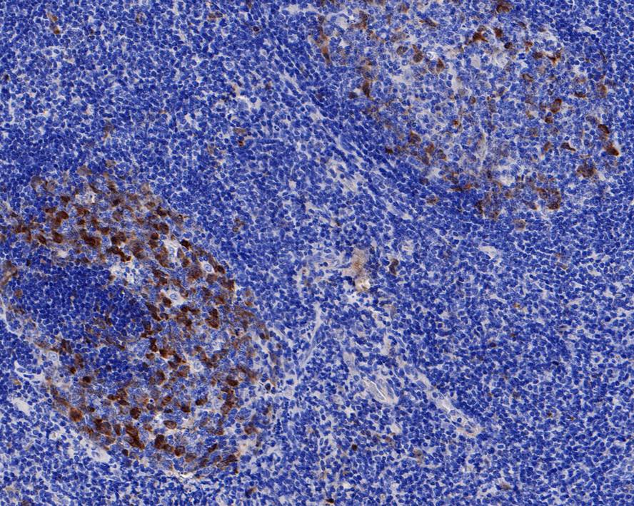
ET7107-50_9.jpg Fig9: Immunohistochemical analysis of paraffin-embedded human lymph nodes tissue with Rabbit anti-Securin antibody (ET7107-50) at 1/1,000 dilution.

The section was pre-treated using heat mediated antigen retrieval with sodium citrate buffer (pH 6.0) for 2 minutes. The tissues were blocked in 1% BSA for 20 minutes at room temperature, washed with ddH2O and PBS, and then probed with the primary antibody (ET7107-50) at 1/1,000 dilution for 1 hour at room temperature. The detection was performed using an HRP conjugated compact polymer system. DAB was used as the chromogen. Tissues were counterstained with hematoxylin and mounted with DPX.
Note: All products are “FOR RESEARCH USE ONLY AND ARE NOT INTENDED FOR DIAGNOSTIC OR THERAPEUTIC USE”.