 
	            	| Product Type: | Recombinant Rabbit monoclonal IgG, primary antibodies | 
|---|---|
| Species reactivity: | Human, Mouse, Rat | 
| Applications: | IHC-P, WB | 
| Clonality: | Monoclonal | 
| Clone number: | JB14-48 | 
| Form: | Liquid | 
| Storage condition: | Shipped at 4℃. Store at +4℃ short term (1-2 weeks). It is recommended to aliquot into single-use upon delivery. Store at -20℃ long term. | 
| Storage buffer: | 1*TBS (pH7.4), 0.05% BSA, 40% Glycerol. Preservative: 0.05% Sodium Azide. | 
| Concentration: | 1ug/ul | 
| Purification: | Protein A affinity purified. | 
| Molecular weight: | Predicted band size: 78 kDa | 
| Isotype: | IgG | 
| Immunogen: | Recombinant protein within Human H Cadherin aa 81-220 / 713. | 
| Positive control: | HaCaT cell lysate, human colon carcinoma tissue, human kidney tissue, rat skeletal muscle tissue, mouse heart tissue. | 
| Subcellular location: | Cell membrane, Membrane. | 
| Recommended Dilutions: IHC-P WB | 1:50-1:1,000 1:1,000 | 
| Uniprot #: | SwissProt: P55290 Human | Q9WTR5 Mouse | Q8R490 Rat | 
| Alternative names: | CAD13_HUMAN Cadherin-13 CDH13 CDHH H-cadherin Heart cadherin P105 T cad T Cadherin T-cad T-cadherin Truncated cadherin | 
|   | Fig1:
	        				Western blot analysis of H Cadherin on different lysates with Rabbit anti-H Cadherin antibody (ET7107-76) at 1/1,000 dilution. Lane 1: HaCaT cell lysate Lane 2: HaCaT cell lysate treated with deglycosylation Lysates/proteins at 20 µg/Lane. Predicted band size: 78 kDa Observed band size: 75-130 kDa Exposure time: 3 minutes; ECL: K1802; 4-20% SDS-PAGE gel. Proteins were transferred to a PVDF membrane and blocked with 5% NFDM/TBST for 1 hour at room temperature. The primary antibody (ET7107-76) at 1/1,000 dilution was used in 5% NFDM/TBST at 4℃ overnight. Goat Anti-Rabbit IgG - HRP Secondary Antibody (HA1001) at 1/50,000 dilution was used for 1 hour at room temperature. | 
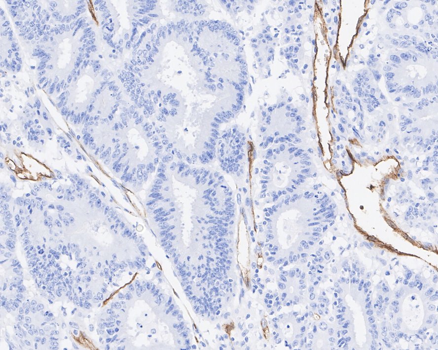
|   | Fig2:
	        				Immunohistochemical analysis of paraffin-embedded human colon carcinoma tissue with Rabbit anti-H Cadherin antibody (ET7107-76) at 1/200 dilution. The section was pre-treated using heat mediated antigen retrieval with Tris-EDTA buffer (pH 9.0) for 20 minutes. The tissues were blocked in 1% BSA for 20 minutes at room temperature, washed with ddH2O and PBS, and then probed with the primary antibody (ET7107-76) at 1/200 dilution for 1 hour at room temperature. The detection was performed using an HRP conjugated compact polymer system. DAB was used as the chromogen. Tissues were counterstained with hematoxylin and mounted with DPX. | 
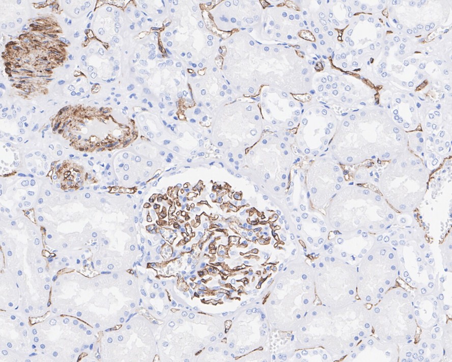
|   | Fig3:
	        				Immunohistochemical analysis of paraffin-embedded human kidney tissue with Rabbit anti-H Cadherin antibody (ET7107-76) at 1/200 dilution. The section was pre-treated using heat mediated antigen retrieval with Tris-EDTA buffer (pH 9.0) for 20 minutes. The tissues were blocked in 1% BSA for 20 minutes at room temperature, washed with ddH2O and PBS, and then probed with the primary antibody (ET7107-76) at 1/200 dilution for 1 hour at room temperature. The detection was performed using an HRP conjugated compact polymer system. DAB was used as the chromogen. Tissues were counterstained with hematoxylin and mounted with DPX. | 
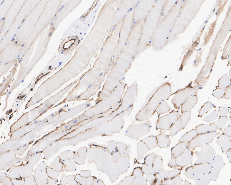
|   | Fig4:
		        				Immunohistochemical analysis of paraffin-embedded rat skeletal muscle tissue with Rabbit anti-H Cadherin antibody (ET7107-76) at 1/200 dilution. The section was pre-treated using heat mediated antigen retrieval with Tris-EDTA buffer (pH 9.0) for 20 minutes. The tissues were blocked in 1% BSA for 20 minutes at room temperature, washed with ddH2O and PBS, and then probed with the primary antibody (ET7107-76) at 1/200 dilution for 1 hour at room temperature. The detection was performed using an HRP conjugated compact polymer system. DAB was used as the chromogen. Tissues were counterstained with hematoxylin and mounted with DPX. | 
|   | Fig5:
		        				Immunohistochemical analysis of paraffin-embedded mouse heart tissue with Rabbit anti-H Cadherin antibody (ET7107-76) at 1/1,000 dilution. The section was pre-treated using heat mediated antigen retrieval with Tris-EDTA buffer (pH 9.0) for 20 minutes. The tissues were blocked in 1% BSA for 20 minutes at room temperature, washed with ddH2O and PBS, and then probed with the primary antibody (ET7107-76) at 1/1,000 dilution for 1 hour at room temperature. The detection was performed using an HRP conjugated compact polymer system. DAB was used as the chromogen. Tissues were counterstained with hematoxylin and mounted with DPX. |