Cullin 2 Recombinant Rabbit Monoclonal Antibody [JG72-31]
cat.: ET7108-47
Product Type: Recombinant Rabbit monoclonal IgG, primary antibodies
Species reactivity: Human, Mouse, Rat
Applications: WB, IHC-P, IP
Clonality: Monoclonal
Clone number: JG72-31
Form: Liquid
Storage condition: Shipped at 4℃. Store at +4℃ short term (1-2 weeks). It is recommended to aliquot into single-use upon delivery. Store at -20℃ long term.
Storage buffer: 1*TBS (pH7.4), 0.05% BSA, 40% Glycerol. Preservative: 0.05% Sodium Azide.
Concentration: 1ug/ul
Purification: Protein A affinity purified.
Molecular weight: 89 kDa
Isotype: IgG
Immunogen: Synthetic peptide within N-terminal Human Cullin 2 .
Positive control: PC-3M cell lysate, k562 tissue lysate, rat testis tissue, human tonsil tissue.
Subcellular location: Cytoplasm. Nucleus.
Recommended Dilutions:
  WB
  IHC-P
  IP

1:500-1:2,000
1:50-1:200
1:10-1:50
Uniprot #: SwissProt: Q13617 Human | Q9D4H8 Mouse
Entrez Gene: 361258 Rat
Alternative names: Cul2 CUL 2 CUL-2 CUL2 CUL2_HUMAN cullin 2 cullin homolog 2 Cullin-2 MGC131970
Images
ET7108-47_1.jpg Fig1: Western blot analysis of Cullin 2 on different lysates with Rabbit anti-Cullin 2 antibody (ET7108-47) at 1/500 dilution.

Lane 1: PC-3M cell lysate
Lane 2: K562 tissue lysate (20 µg/Lane)

Lysates/proteins at 20 µg/Lane.

Predicted band size: 87 kDa
Observed band size: 92 kDa

Exposure time: 2 minutes;

10% SDS-PAGE gel.

Proteins were transferred to a PVDF membrane and blocked with 5% NFDM/TBST for 1 hour at room temperature. The primary antibody (ET7108-47) at 1/500 dilution was used in 5% NFDM/TBST at room temperature for 2 hours. Goat Anti-Rabbit IgG - HRP Secondary Antibody (HA1001) at 1:300,000 dilution was used for 1 hour at room temperature.
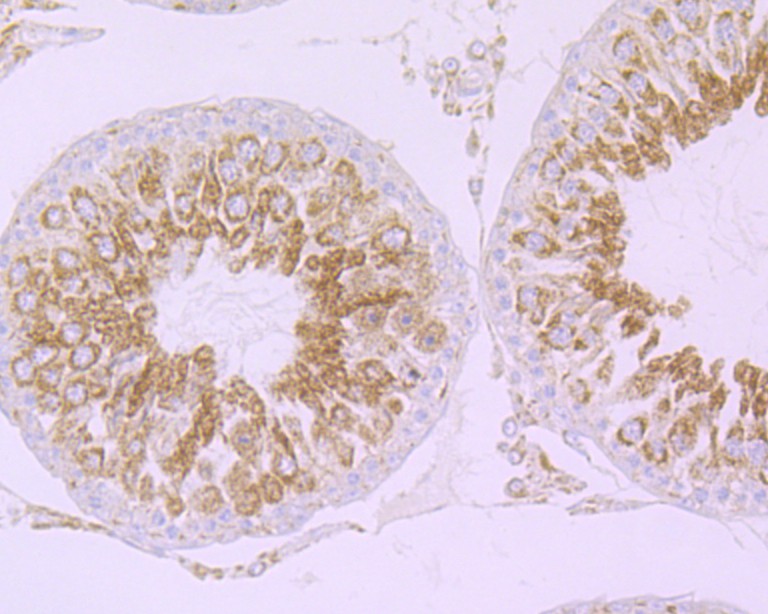
ET7108-47_2.jpg Fig2: Immunohistochemical analysis of paraffin-embedded rat testis tissue with Rabbit anti-Cullin 2 antibody (ET7108-47) at 1/50 dilution.

The section was pre-treated using heat mediated antigen retrieval with Tris-EDTA buffer (pH 9.0) for 20 minutes. The tissues were blocked in 1% BSA for 20 minutes at room temperature, washed with ddH2O and PBS, and then probed with the primary antibody (ET7108-47) at 1/50 dilution for 1 hour at room temperature. The detection was performed using an HRP conjugated compact polymer system. DAB was used as the chromogen. Tissues were counterstained with hematoxylin and mounted with DPX.
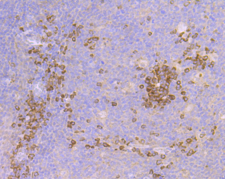
ET7108-47_3.jpg Fig3: Immunohistochemical analysis of paraffin-embedded human tonsil tissue with Rabbit anti-Cullin 2 antibody (ET7108-47) at 1/50 dilution.

The section was pre-treated using heat mediated antigen retrieval with Tris-EDTA buffer (pH 9.0) for 20 minutes. The tissues were blocked in 1% BSA for 20 minutes at room temperature, washed with ddH2O and PBS, and then probed with the primary antibody (ET7108-47) at 1/50 dilution for 1 hour at room temperature. The detection was performed using an HRP conjugated compact polymer system. DAB was used as the chromogen. Tissues were counterstained with hematoxylin and mounted with DPX.
Note: All products are “FOR RESEARCH USE ONLY AND ARE NOT INTENDED FOR DIAGNOSTIC OR THERAPEUTIC USE”.