 
	            	| Product Type: | Recombinant Rabbit monoclonal IgG, primary antibodies | 
|---|---|
| Species reactivity: | Human, Mouse, Rat | 
| Applications: | WB, IP, IF-Cell, IF-Tissue, IHC-P, FC | 
| Clonality: | Monoclonal | 
| Clone number: | JG37-63 | 
| Form: | Liquid | 
| Storage condition: | Shipped at 4℃. Store at +4℃ short term (1-2 weeks). It is recommended to aliquot into single-use upon delivery. Store at -20℃ long term. | 
| Storage buffer: | 1*TBS (pH7.4), 0.05% BSA, 40% Glycerol. Preservative: 0.05% Sodium Azide. | 
| Concentration: | 1ug/ul | 
| Purification: | Protein A affinity purified. | 
| Molecular weight: | Predicted band size: 75/76/77/83/95/96kDa | 
| Isotype: | IgG | 
| Immunogen: | Synthetic peptide within Human ILF3 aa 2-51 / 894. | 
| Positive control: | Rat heart tissue lysate, 293 cell lysate, A431, SH-ST5Y, SiHa, human tonsil tissue, human colon tissue, human prostate carcinoma tissue, mouse testis tissue, mouse kidney tissue, K562. | 
| Subcellular location: | Cytoplasm. Nucleus. | 
| Recommended Dilutions: WB IF-Cell IHC-P FC IP | 1:500-1:2,000 1:50-1:200 1:50-1:200 1:50-1:100 1:10-1:50 | 
| Uniprot #: | SwissProt: Q12906 Human | Q9Z1X4 Mouse | Q9JIL3 Rat | 
| Alternative names: | CBTF Double stranded RNA binding protein 76 Double-stranded RNA-binding protein 76 DRBF DRBP76 ILF3 ILF3_HUMAN Interleukin enhancer binding factor 3 Interleukin enhancer-binding factor 3 M phase phosphoprotein 4 M-phase phosphoprotein 4 MPHOSPH4 MPP4 NF AT 90 NF-AT-90 NF110 NF90 NFAR Nuclear factor associated with dsRNA Nuclear factor of activated T cells 90 kDa Nuclear factor of activated T-cells 90 kDa TCP80 Translational control protein 80 | 
|   | Fig1:
	        				Western blot analysis of ILF3 on different lysates with Rabbit anti-ILF3 antibody (ET7108-49) at 1/500 dilution. Lane 1: Rat heart tissue lysate(20 µg/Lane) Lane 2: 293 cell lysates Lysates/proteins at 10 µg/Lane. Predicted band size: 75/76/77/83/95/96kDa Observed band size: 76/95 kDa Exposure time: 2 minutes; 10% SDS-PAGE gel. Proteins were transferred to a PVDF membrane and blocked with 5% NFDM/TBST for 1 hour at room temperature. The primary antibody (ET7108-49) at 1/500 dilution was used in 5% NFDM/TBST at room temperature for 2 hours. Goat Anti-Rabbit IgG - HRP Secondary Antibody (HA1001) at 200,000 dilution was used for 1 hour at room temperature. | 
|   | Fig2:
	        				Immunocytochemistry analysis of A431 cells labeling ILF3 with Rabbit anti-ILF3 antibody (ET7108-49) at 1/50 dilution. Cells were fixed in 4% paraformaldehyde for 10 minutes at 37 ℃, permeabilized with 0.05% Triton X-100 in PBS for 20 minutes, and then blocked with 2% negative goat serum for 30 minutes at room temperature. Cells were then incubated with Rabbit anti-ILF3 antibody (ET7108-49) at 1/50 dilution in 2% negative goat serum overnight at 4 ℃. Alexa Fluor®488 conjugate-Goat anti-Rabbit IgG was used as the secondary antibody at 1/1,000 dilution.Nuclear DNA was labelled in blue with DAPI. | 
|   | Fig3:
	        				Immunocytochemistry analysis of  SH-ST5Y cells labeling ILF3 with Rabbit anti-ILF3 antibody (ET7108-49) at 1/50 dilution. Cells were fixed in 4% paraformaldehyde for 10 minutes at 37 ℃, permeabilized with 0.05% Triton X-100 in PBS for 20 minutes, and then blocked with 2% negative goat serum for 30 minutes at room temperature. Cells were then incubated with Rabbit anti-ILF3 antibody (ET7108-49) at 1/50 dilution in 2% negative goat serum overnight at 4 ℃. Alexa Fluor®488 conjugate-Goat anti-Rabbit IgG was used as the secondary antibody at 1/1,000 dilution. Nuclear DNA was labelled in blue with DAPI. | 
|   | Fig4:
		        				Immunocytochemistry analysis of SiHa cells labeling ILF3 with Rabbit anti-ILF3 antibody (ET7108-49) at 1/50 dilution. Cells were fixed in 4% paraformaldehyde for 10 minutes at 37 ℃, permeabilized with 0.05% Triton X-100 in PBS for 20 minutes, and then blocked with 2% negative goat serum for 30 minutes at room temperature. Cells were then incubated with Rabbit anti-ILF3 antibody (ET7108-49) at 1/50 dilution in 2% negative goat serum overnight at 4 ℃. Alexa Fluor®488 conjugate-Goat anti-Rabbit IgG was used as the secondary antibody at 1/1,000 dilution. Nuclear DNA was labelled in blue with DAPI. | 
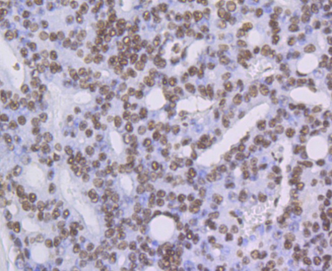
|   | Fig5:
		        				Immunohistochemical analysis of paraffin-embedded human tonsil tissue with Rabbit anti-ILF3 antibody (ET7108-49) at 1/50 dilution. The section was pre-treated using heat mediated antigen retrieval with Tris-EDTA buffer (pH 9.0) for 20 minutes. The tissues were blocked in 1% BSA for 20 minutes at room temperature, washed with ddH2O and PBS, and then probed with the primary antibody (ET7108-49) at 1/50 dilution for 0.5 hour at room temperature. The detection was performed using an HRP conjugated compact polymer system. DAB was used as the chromogen. Tissues were counterstained with hematoxylin and mounted with DPX. | 
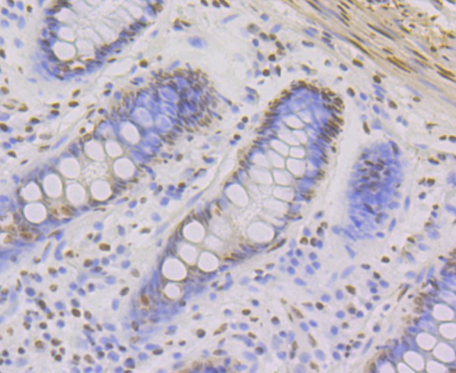
|   | Fig6:
		        				Immunohistochemical analysis of paraffin-embedded human colon tissue with Rabbit anti-ILF3 antibody (ET7108-49) at 1/50 dilution. The section was pre-treated using heat mediated antigen retrieval with Tris-EDTA buffer (pH 9.0) for 20 minutes. The tissues were blocked in 1% BSA for 20 minutes at room temperature, washed with ddH2O and PBS, and then probed with the primary antibody (ET7108-49) at 1/50 dilution for 0.5 hour at room temperature. The detection was performed using an HRP conjugated compact polymer system. DAB was used as the chromogen. Tissues were counterstained with hematoxylin and mounted with DPX. | 
|   | Fig7:
		        				Immunohistochemical analysis of paraffin-embedded human prostate carcinoma tissue with Rabbit anti-ILF3 antibody (ET7108-49) at 1/50 dilution. The section was pre-treated using heat mediated antigen retrieval with Tris-EDTA buffer (pH 9.0) for 20 minutes. The tissues were blocked in 1% BSA for 20 minutes at room temperature, washed with ddH2O and PBS, and then probed with the primary antibody (ET7108-49) at 1/50 dilution for 0.5 hour at room temperature. The detection was performed using an HRP conjugated compact polymer system. DAB was used as the chromogen. Tissues were counterstained with hematoxylin and mounted with DPX. | 
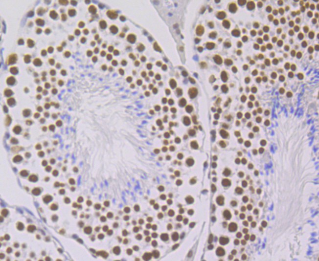
|   | Fig8:
		        				Immunohistochemical analysis of paraffin-embedded mouse testis tissue with Rabbit anti-ILF3 antibody (ET7108-49) at 1/50 dilution. The section was pre-treated using heat mediated antigen retrieval with Tris-EDTA buffer (pH 9.0) for 20 minutes. The tissues were blocked in 1% BSA for 20 minutes at room temperature, washed with ddH2O and PBS, and then probed with the primary antibody (ET7108-49) at 1/50 dilution for 0.5 hour at room temperature. The detection was performed using an HRP conjugated compact polymer system. DAB was used as the chromogen. Tissues were counterstained with hematoxylin and mounted with DPX. | 
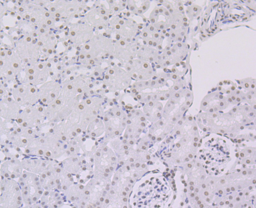
|   | Fig9:
		        				Immunohistochemical analysis of paraffin-embedded mouse kidney tissue with Rabbit anti-ILF3 antibody (ET7108-49) at 1/50 dilution. The section was pre-treated using heat mediated antigen retrieval with Tris-EDTA buffer (pH 9.0) for 20 minutes. The tissues were blocked in 1% BSA for 20 minutes at room temperature, washed with ddH2O and PBS, and then probed with the primary antibody (ET7108-49) at 1/50 dilution for 0.5 hour at room temperature. The detection was performed using an HRP conjugated compact polymer system. DAB was used as the chromogen. Tissues were counterstained with hematoxylin and mounted with DPX. | 
|   | Fig10: Flow cytometric analysis of ILF3 was done on K562 cells. The cells were fixed, permeabilized and stained with the primary antibody (ET7108-49, 1/50) (purple). After incubation of the primary antibody at room temperature for an hour, the cells were stained with a Alexa Fluor 488-conjugated Goat anti-Rabbit IgG Secondary antibody at 1/1000 dilution for 30 minutes.Unlabelled sample was used as a control (cells without incubation with primary antibody; yellow). |