CYP27A1 Recombinant Rabbit Monoclonal Antibody [JG40-36]
cat.: ET7109-05
Product Type: Recombinant Rabbit monoclonal IgG, primary antibodies
Species reactivity: Human, Mouse, Rat
Applications: WB, IF-Cell, IHC-P, FC
Clonality: Monoclonal
Clone number: JG40-36
Form: Liquid
Storage condition: Shipped at 4℃. Store at +4℃ short term (1-2 weeks). It is recommended to aliquot into single-use upon delivery. Store at -20℃ long term.
Storage buffer: 1*TBS (pH7.4), 0.05% BSA, 40% Glycerol. Preservative: 0.05% Sodium Azide.
Concentration: 1ug/ul
Purification: Protein A affinity purified.
Molecular weight: Predicted band size: 60 kDa
Isotype: IgG
Immunogen: Recombinant protein within Human CYP27A1 aa 400-531 / 531.
Positive control: HepG2 cell lysate, Mouse liver tissue lysate, Rat liver tissue lysate, HepG2, human liver cancer tissue, mouse liver tissue, rat liver tissue.
Subcellular location: Mitochondrion membrane.
Recommended Dilutions:
  WB
  IF-Cell
  IHC-P
  FC

1:500-1:2,000
1:50-1:200
1:50-1:200
1:100-1:1,000
Uniprot #: SwissProt: Q02318 Human | Q9DBG1 Mouse | P17178 Rat
Alternative names: 12-alpha-triol 27-hydroxylase 5-beta-cholestane-3-alpha 5-beta-cholestane-3-alpha, 7-alpha, 12-alpha-triol 26-hydroxylase 5-beta-cholestane-3-alpha, 7-alpha, 12-alpha-triol 27-hydroxylase 5-beta-cholestane-3-alpha,7-alpha,12-alpha-triol 27-hydroxylase 7-alpha Cholestanetriol 26 monooxygenase CP27 CP27A_HUMAN CTX CYP CYP27 CYP27A1 Cytochrome P 450C27/25 Cytochrome P-450C27/25 Cytochrome P450 27 Cytochrome P450 27 mitochondrial Cytochrome P450 family 27 subfamily A member 1 Cytochrome P450 family 27 subfamily A polypeptide 1 Cytochrome P450 subfamily XXVIIA (steroid 27-hydroxylase cerebrotendinous xanthomatosis) polypeptide 1 mitochondrial Sterol 26 hydroxylase Sterol 26 hydroxylase mitochondrial Sterol 26-hydroxylase Sterol 27 hydroxylase Sterol 27-hydroxylase Vitamin D(3) 25 hydroxylase Vitamin D(3) 25-hydroxylase
Images
ET7109-05_1.jpg Fig1: Western blot analysis of CYP27A1 on different lysates with Rabbit anti-CYP27A1 antibody (ET7109-05) at 1/1,000 dilution.

Lane 1: HepG2 cell lysate (10 µg/Lane)
Lane 2: Mouse liver tissue lysate (20 µg/Lane)
Lane 3: Rat liver tissue lysate (20 µg/Lane)

Predicted band size: 60 kDa
Observed band size: 50 kDa

Exposure time: Lane 1: 1 minute 2 seconds; Lane 2-3: 10 seconds; ECL: K1801;

4-20% SDS-PAGE gel.

Proteins were transferred to a PVDF membrane and blocked with 5% NFDM/TBST for 1 hour at room temperature. The primary antibody (ET7109-05) at 1/1,000 dilution was used in 5% NFDM/TBST at 4℃ overnight. Goat Anti-Rabbit IgG - HRP Secondary Antibody (HA1001) at 1/50,000 dilution was used for 1 hour at room temperature.
ET7109-05_2.jpg Fig2: Immunocytochemistry analysis of HepG2 cells labeling CYP27A1 with Rabbit anti-CYP27A1 antibody (ET7109-05) at 1/100 dilution.

Cells were fixed in 4% paraformaldehyde for 15 minutes at room temperature, permeabilized with 0.1% Triton X-100 in PBS for 15 minutes at room temperature, then blocked with 1% BSA in 10% negative goat serum for 1 hour at room temperature. Cells were then incubated with Rabbit anti-CYP27A1 antibody (ET7109-05) at 1/100 dilution in 1% BSA in PBST overnight at 4 ℃. Goat Anti-Rabbit IgG H&L (iFluor™ 488, HA1121) was used as the secondary antibody at 1/1,000 dilution. PBS instead of the primary antibody was used as the secondary antibody only control. Counterstained with Mitotracker. Nuclear DNA was labelled in blue with DAPI.
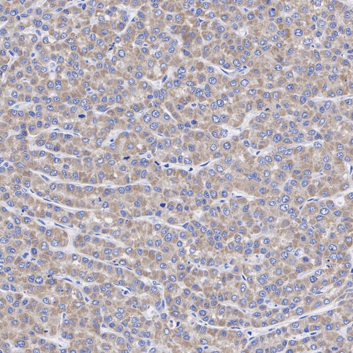
ET7109-05_3.jpg Fig3: Immunohistochemical analysis of paraffin-embedded human liver cancer tissue with Rabbit anti-CYP27A1 antibody (ET7109-05) at 1/100 dilution.

The section was pre-treated using heat mediated antigen retrieval with Tris-EDTA buffer (pH 9.0) for 20 minutes. The tissues were blocked in 1% BSA for 20 minutes at room temperature, washed with ddH2O and PBS, and then probed with the primary antibody (ET7109-05) at 1/100 dilution for 1 hour at room temperature. The detection was performed using an HRP conjugated compact polymer system. DAB was used as the chromogen. Tissues were counterstained with hematoxylin and mounted with DPX.
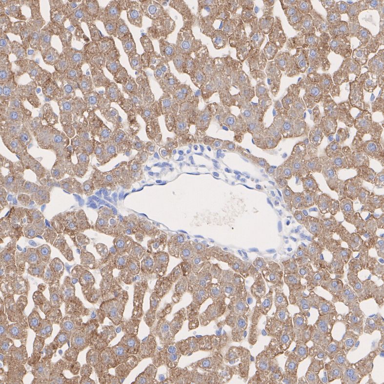
ET7109-05_4.jpg Fig4: Immunohistochemical analysis of paraffin-embedded mouse liver tissue with Rabbit anti-CYP27A1 antibody (ET7109-05) at 1/100 dilution.

The section was pre-treated using heat mediated antigen retrieval with Tris-EDTA buffer (pH 9.0) for 20 minutes. The tissues were blocked in 1% BSA for 20 minutes at room temperature, washed with ddH2O and PBS, and then probed with the primary antibody (ET7109-05) at 1/100 dilution for 1 hour at room temperature. The detection was performed using an HRP conjugated compact polymer system. DAB was used as the chromogen. Tissues were counterstained with hematoxylin and mounted with DPX.
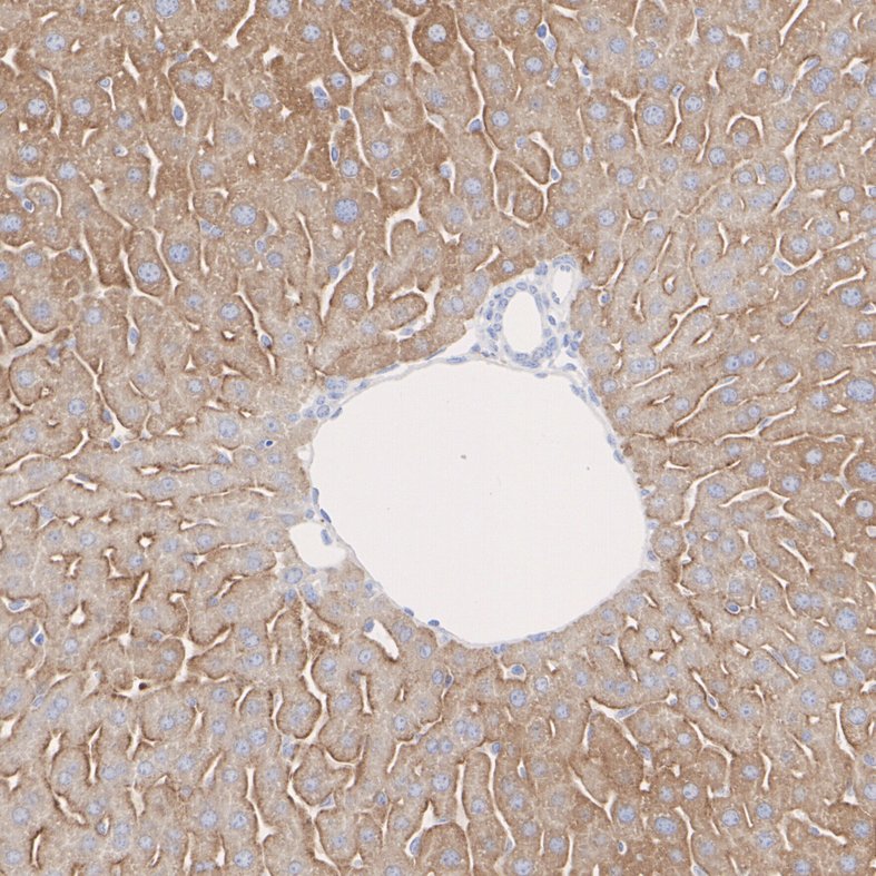
ET7109-05_5.jpg Fig5: Immunohistochemical analysis of paraffin-embedded rat liver tissue with Rabbit anti-CYP27A1 antibody (ET7109-05) at 1/100 dilution.

The section was pre-treated using heat mediated antigen retrieval with Tris-EDTA buffer (pH 9.0) for 20 minutes. The tissues were blocked in 1% BSA for 20 minutes at room temperature, washed with ddH2O and PBS, and then probed with the primary antibody (ET7109-05) at 1/100 dilution for 1 hour at room temperature. The detection was performed using an HRP conjugated compact polymer system. DAB was used as the chromogen. Tissues were counterstained with hematoxylin and mounted with DPX.
ET7109-05_6.jpg Fig6: Flow cytometric analysis of HepG2 cells labeling CYP27A1.

Cells were fixed and permeabilized. Then stained with the primary antibody (ET7109-05, 1/100) (red) compared with Rabbit IgG Isotype Control (green). After incubation of the primary antibody at +4℃ for an hour, the cells were stained with a iFluor™ 488 conjugate-Goat anti-Rabbit IgG Secondary antibody (HA1121) at 1/1,000 dilution for 30 minutes at +4℃. Unlabelled sample was used as a control (cells without incubation with primary antibody; black).
Note: All products are “FOR RESEARCH USE ONLY AND ARE NOT INTENDED FOR DIAGNOSTIC OR THERAPEUTIC USE”.