Fbx32 Recombinant Rabbit Monoclonal Antibody [JE41-27]
cat.: ET7109-25
Product Type: Recombinant Rabbit monoclonal IgG, primary antibodies
Species reactivity: Human, Mouse, Rat
Applications: WB, IF-Cell
Clonality: Monoclonal
Clone number: JE41-27
Form: Liquid
Storage condition: Shipped at 4℃. Store at +4℃ short term (1-2 weeks). It is recommended to aliquot into single-use upon delivery. Store at -20℃ long term.
Storage buffer: 1*TBS (pH7.4), 0.05% BSA, 40% Glycerol. Preservative: 0.05% Sodium Azide.
Concentration: 1ug/ul
Purification: Protein A affinity purified.
Molecular weight: Predicted band size: 41 kDa
Isotype: IgG
Immunogen: Recombinant protein within Human Fbx32 aa 1-160 / 355.
Positive control: Mouse skeletal muscle tissue lysate, rat skeletal muscle tissue lysate, A431, L6.
Subcellular location: Cytoplasm. Nucleus.
Recommended Dilutions:
  WB
  IF-Cell

1:2,000
1:50-1:200
Uniprot #: SwissProt: Q969P5 Human | Q9CPU7 Mouse | Q91Z62 Rat
Alternative names: 4833442G10Rik AI430017 Atrogin 1 Atrogin-1 ATROGIN1 Atrophy gene 1 F box only protein 32 F-box only protein 32 F-box protein 32 FBX32_HUMAN fbxo25 FBXO32 FLJ32424 MAFbx MGC108443 MGC137646 MGC33610 Muscle atrophy F box Muscle atrophy F box protein Muscle atrophy F-box protein
Images
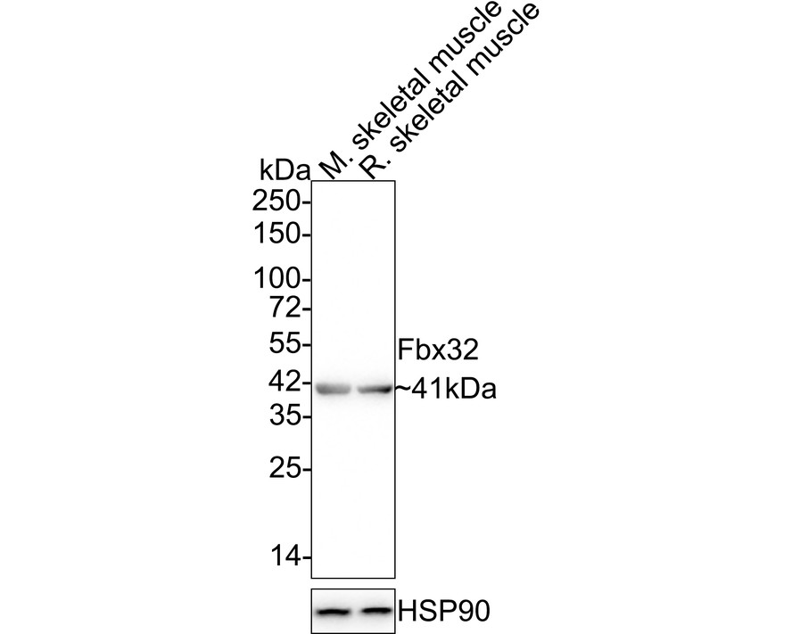
ET7109-25_1.jpg Fig1: Western blot analysis of Fbx32 on different lysates with Rabbit anti-Fbx32 antibody (ET7109-25) at 1/2,000 dilution.

Lane 1: Mouse skeletal muscle tissue lysate
Lane 2: Rat skeletal muscle tissue lysate

Lysates/proteins at 20 µg/Lane.

Predicted band size: 41 kDa
Observed band size: 41 kDa

Exposure time: 3 minutes;

4-20% SDS-PAGE gel.

Proteins were transferred to a PVDF membrane and blocked with 5% NFDM/TBST for 1 hour at room temperature. The primary antibody (ET7109-25) at 1/2,000 dilution was used in 5% NFDM/TBST at 4℃ overnight. Goat Anti-Rabbit IgG - HRP Secondary Antibody (HA1001) at 1/50,000 dilution was used for 1 hour at room temperature.
ET7109-25_2.jpg Fig2: ICC staining of Fbx32 in A431 cells (green). Formalin fixed cells were permeabilized with 0.1% Triton X-100 in TBS for 10 minutes at room temperature and blocked with 10% negative goat serum for 15 minutes at room temperature. Cells were probed with the primary antibody (ET7109-25, 1/50) for 1 hour at room temperature, washed with PBS. Alexa Fluor®488 conjugate-Goat anti-Rabbit IgG was used as the secondary antibody at 1/1,000 dilution. The nuclear counter stain is DAPI (blue).
ET7109-25_3.jpg Fig3: ICC staining of Fbx32 in L6 cells (green). Formalin fixed cells were permeabilized with 0.1% Triton X-100 in TBS for 10 minutes at room temperature and blocked with 10% negative goat serum for 15 minutes at room temperature. Cells were probed with the primary antibody (ET7109-25, 1/50) for 1 hour at room temperature, washed with PBS. Alexa Fluor®488 conjugate-Goat anti-Rabbit IgG was used as the secondary antibody at 1/1,000 dilution. The nuclear counter stain is DAPI (blue).
Note: All products are “FOR RESEARCH USE ONLY AND ARE NOT INTENDED FOR DIAGNOSTIC OR THERAPEUTIC USE”.