CLASP1 Recombinant Rabbit Monoclonal Antibody [JE43-19]
cat.: ET7109-31
Product Type: Recombinant Rabbit monoclonal IgG, primary antibodies
Species reactivity: Human, Mouse, Rat
Applications: WB, IF-Cell, IF-Tissue, IHC-P, FC
Clonality: Monoclonal
Clone number: JE43-19
Form: Liquid
Storage condition: Shipped at 4℃. Store at +4℃ short term (1-2 weeks). It is recommended to aliquot into single-use upon delivery. Store at -20℃ long term.
Storage buffer: 1*TBS (pH7.4), 0.05% BSA, 40% Glycerol. Preservative: 0.05% Sodium Azide.
Concentration: 1ug/ul
Purification: Protein A affinity purified.
Molecular weight: Predicted band size: 169 kDa
Isotype: IgG
Immunogen: Synthetic peptide within Human CLASP1 aa 1-50 / 1,538.
Positive control: HepG2 cell lysate, Daudi cell lysate, SH-SY-5Y, SiHa, rat kidney tissue, human stomach tissue, human small intestine tissue, mouse colon tissue.
Subcellular location: Cytoskeleton, Golgi apparatus.
Recommended Dilutions:
  WB
  IF-Cell
  IF-Tissue
  IHC-P
  FC

1:500-1:2,000
1:50-1:200
1:50-1:200
1:50-1:1,000
1:50-1:100
Uniprot #: SwissProt: Q7Z460 Human | Q80TV8 Mouse
Entrez Gene: 304740 Rat
Alternative names: 1700030C23Rik 5730583A19Rik B130045P17Rik CLAP1_HUMAN clasp1 CLIP associating protein 1 CLIP associating protein CLASP1 CLIP-associating protein 1 Cytoplasmic linker associated protein 1 Cytoplasmic linker-associated protein 1 DKFZp686D1968 DKFZp686H2039 FLJ33821 FLJ41222 hOrbit1 KIAA0622 MAST1 MGC131895 mKIAA0622 Multiple asters 1 Multiple asters homolog 1 Protein Orbit homolog 1
Images
ET7109-31_1.jpg Fig1: Western blot analysis of CLASP1 on different lysates with Rabbit anti-CLASP1 antibody (ET7109-31) at 1/500 dilution.

Lane 1: HepG2 cell lysate
Lane 2: Daudi cell lysate

Lysates/proteins at 10 µg/Lane.

Predicted band size: 169 kDa
Observed band size: 150 kDa

Exposure time: 2 minutes;

6% SDS-PAGE gel.

Proteins were transferred to a PVDF membrane and blocked with 5% NFDM/TBST for 1 hour at room temperature. The primary antibody (ET7109-31) at 1/500 dilution was used in 5% NFDM/TBST at room temperature for 2 hours. Goat Anti-Rabbit IgG - HRP Secondary Antibody (HA1001) at 1:200,000 dilution was used for 1 hour at room temperature.
ET7109-31_2.jpg Fig2: ICC staining CLASP1 in SH-SY-5Y cells (green). Formalin fixed cells were permeabilized with 0.1% Triton X-100 in TBS for 10 minutes at room temperature and blocked with 1% Blocker BSA for 15 minutes at room temperature. Cells were probed with YTHDF1 polyclonal antibody at a dilution of 1:50 for 1 hour at room temperature, washed with PBS. Alexa Fluorc™ 488 Goat anti-Rabbit IgG was used as the secondary antibody at 1/100 dilution. The nuclear counter stain is DAPI (blue).
ET7109-31_3.jpg Fig3: ICC staining CLASP1 in SiHa cells (green). Formalin fixed cells were permeabilized with 0.1% Triton X-100 in TBS for 10 minutes at room temperature and blocked with 1% Blocker BSA for 15 minutes at room temperature. Cells were probed with YTHDF1 polyclonal antibody at a dilution of 1:50 for 1 hour at room temperature, washed with PBS. Alexa Fluorc™ 488 Goat anti-Rabbit IgG was used as the secondary antibody at 1/100 dilution. The nuclear counter stain is DAPI (blue).
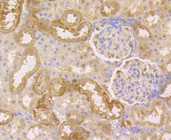
ET7109-31_4.jpg Fig4: Immunohistochemical analysis of paraffin-embedded rat kidney tissue using anti-CLASP1 antibody. The section was pre-treated using heat mediated antigen retrieval with Tris-EDTA buffer (pH 8.0-8.4) for 20 minutes.The tissues were blocked in 5% BSA for 30 minutes at room temperature, washed with ddH2O and PBS, and then probed with the antibody (ET7109-31) at 1/50 dilution, for 30 minutes at room temperature and detected using an HRP conjugated compact polymer system. DAB was used as the chrogen. Counter stained with hematoxylin and mounted with DPX.
ET7109-31_5.jpg Fig5: Immunohistochemical analysis of paraffin-embedded human stomach tissue with Rabbit anti-CLASP1 antibody (ET7109-31) at 1/1,000 dilution.

The section was pre-treated using heat mediated antigen retrieval with Tris-EDTA buffer (pH 9.0) for 20 minutes. The tissues were blocked in 1% BSA for 20 minutes at room temperature, washed with ddH2O and PBS, and then probed with the primary antibody (ET7109-31) at 1/1,000 dilution for 1 hour at room temperature. The detection was performed using an HRP conjugated compact polymer system. DAB was used as the chromogen. Tissues were counterstained with hematoxylin and mounted with DPX.
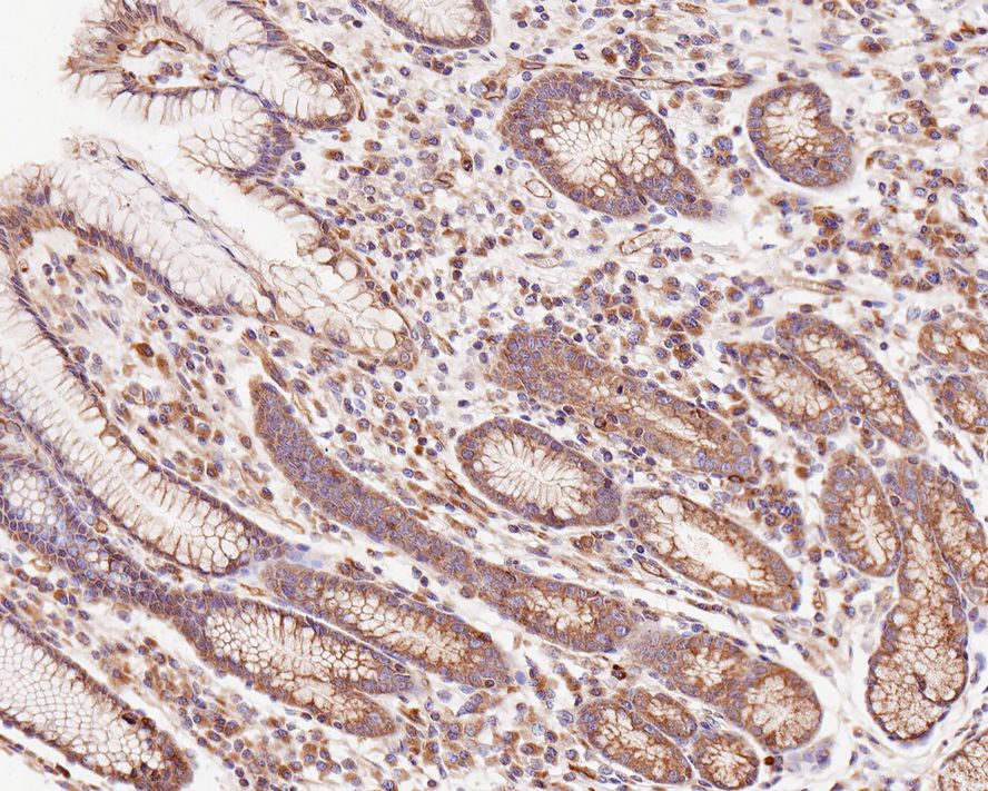
ET7109-31_6.jpg Fig6: Immunohistochemical analysis of paraffin-embedded human small intestine tissue with Rabbit anti-CLASP1 antibody (ET7109-31) at 1/1,000 dilution.

The section was pre-treated using heat mediated antigen retrieval with Tris-EDTA buffer (pH 9.0) for 20 minutes. The tissues were blocked in 1% BSA for 20 minutes at room temperature, washed with ddH2O and PBS, and then probed with the primary antibody (ET7109-31) at 1/1,000 dilution for 1 hour at room temperature. The detection was performed using an HRP conjugated compact polymer system. DAB was used as the chromogen. Tissues were counterstained with hematoxylin and mounted with DPX.
ET7109-31_7.jpg Fig7: Immunohistochemical analysis of paraffin-embedded mouse colon tissue using anti-CLASP1 antibody. The section was pre-treated using heat mediated antigen retrieval with Tris-EDTA buffer (pH 8.0-8.4) for 20 minutes.The tissues were blocked in 5% BSA for 30 minutes at room temperature, washed with ddH2O and PBS, and then probed with the antibody (ET7109-31) at 1/50 dilution, for 30 minutes at room temperature and detected using an HRP conjugated compact polymer system. DAB was used as the chrogen. Counter stained with hematoxylin and mounted with DPX.
ET7109-31_8.jpg Fig8: Flow cytometric analysis of CLASP1 was done on SiHa cells. The cells were fixed, permeabilized and stained with YTHDF1 antibody at 1/100 dilution (red) compared with an unlabelled control (cells without incubation with primary antibody; black). After incubation of the primary antibody on room temperature for an hour, the cells was stained with a Alexa Fluor™ 488-conjugated goat anti-rabbit IgG Secondary antibody at 1/500 dilution for 30 minutes.
Note: All products are “FOR RESEARCH USE ONLY AND ARE NOT INTENDED FOR DIAGNOSTIC OR THERAPEUTIC USE”.