GNB2 Recombinant Rabbit Monoclonal Antibody [JE47-16]
cat.: ET7109-53
Product Type: Recombinant Rabbit monoclonal IgG, primary antibodies
Species reactivity: Human, Mouse, Rat
Applications: WB, IHC-P, IF-Tissue
Clonality: Monoclonal
Clone number: JE47-16
Form: Liquid
Storage condition: Shipped at 4℃. Store at +4℃ short term (1-2 weeks). It is recommended to aliquot into single-use upon delivery. Store at -20℃ long term.
Storage buffer: 1*TBS (pH7.4), 0.05% BSA, 40% Glycerol. Preservative: 0.05% Sodium Azide.
Concentration: 1ug/ul
Purification: Protein A affinity purified.
Molecular weight: Predicted band size: 37 kDa
Isotype: IgG
Immunogen: Recombinant protein within Human GNB2 aa 1-130 / 340.
Positive control: HeLa cell lysate, MCF7 cell lysate, NIH/3T3 cell lysate, Mouse brain tissue lysate, C6 cell lysate, Rat brain tissue lysate, human brain tissue, mouse brain tissue, rat brain tissue.
Subcellular location: Perinuclear region.
Recommended Dilutions:
  WB
  IHC-P
  IF-Tissue

1:5,000
1:200
1:100-1:500
Uniprot #: SwissProt: P62879 Human | P62880 Mouse | P54313 Rat
Alternative names: G protein beta 2 subunit G protein subunit beta 2 G protein subunit beta-2 GBB2_HUMAN Gnb2 Gnb2l1 Guanine nucleotide binding protein beta 2 subunit Guanine nucleotide binding protein G I G S G T beta 2 subunit 2 Guanine nucleotide binding protein G protein beta polypeptide 2 Guanine nucleotide-binding protein G(I)/G(S)/G(T) subunit beta-2 OTTHUMP00000174601 OTTHUMP00000174602 RACK1 Receptor for activated C kinase Receptor of activated protein kinase C 1 Signal transducing guanine nucleotide binding regulatory protein beta Transducin beta chain 2
Images
ET7109-53_1.jpg Fig1: Western blot analysis of GNB2 on different lysates with Rabbit anti-GNB2 antibody (ET7109-53) at 1/5,000 dilution.

Lane 1: HeLa cell lysate (20 µg/Lane)
Lane 2: MCF7 cell lysate (20 µg/Lane)
Lane 3: NIH/3T3 cell lysate (20 µg/Lane)
Lane 4: Mouse brain tissue lysate (40 µg/Lane)
Lane 5: C6 cell lysate (20 µg/Lane)
Lane 6: Rat brain tissue lysate (40 µg/Lane)

Predicted band size: 37 kDa
Observed band size: 37 kDa

Exposure time: 6 seconds; ECL: K1801;

4-20% SDS-PAGE gel.

Proteins were transferred to a PVDF membrane and blocked with 5% NFDM/TBST for 1 hour at room temperature. The primary antibody (ET7109-53) at 1/5,000 dilution was used in primary antibody dilution (K1803) at 4℃ overnight. Goat Anti-Rabbit IgG - HRP Secondary Antibody (HA1001) at 1/50,000 dilution was used for 1 hour at room temperature.
ET7109-53_2.jpg Fig2: Application: IF-Tissue

Species: Mouse

Site: brain

Sample: Paraffin-embedded section

Antibody concentration: 1/100
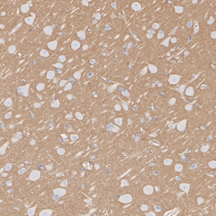
ET7109-53_3.jpg Fig3: Immunohistochemical analysis of paraffin-embedded human brain tissue with Rabbit anti-GNB2 antibody (ET7109-53) at 1/200 dilution.

The section was pre-treated using heat mediated antigen retrieval with Tris-EDTA buffer (pH 9.0) for 20 minutes. The tissues were blocked in 1% BSA for 20 minutes at room temperature, washed with ddH2O and PBS, and then probed with the primary antibody (ET7109-53) at 1/200 dilution for 1 hour at room temperature. The detection was performed using an HRP conjugated compact polymer system. DAB was used as the chromogen. Tissues were counterstained with hematoxylin and mounted with DPX.
ET7109-53_4.jpg Fig4: Immunohistochemical analysis of paraffin-embedded mouse brain tissue with Rabbit anti-GNB2 antibody (ET7109-53) at 1/200 dilution.

The section was pre-treated using heat mediated antigen retrieval with Tris-EDTA buffer (pH 9.0) for 20 minutes. The tissues were blocked in 1% BSA for 20 minutes at room temperature, washed with ddH2O and PBS, and then probed with the primary antibody (ET7109-53) at 1/200 dilution for 1 hour at room temperature. The detection was performed using an HRP conjugated compact polymer system. DAB was used as the chromogen. Tissues were counterstained with hematoxylin and mounted with DPX.
ET7109-53_5.jpg Fig5: Immunohistochemical analysis of paraffin-embedded rat brain tissue with Rabbit anti-GNB2 antibody (ET7109-53) at 1/200 dilution.

The section was pre-treated using heat mediated antigen retrieval with Tris-EDTA buffer (pH 9.0) for 20 minutes. The tissues were blocked in 1% BSA for 20 minutes at room temperature, washed with ddH2O and PBS, and then probed with the primary antibody (ET7109-53) at 1/200 dilution for 1 hour at room temperature. The detection was performed using an HRP conjugated compact polymer system. DAB was used as the chromogen. Tissues were counterstained with hematoxylin and mounted with DPX.
Note: All products are “FOR RESEARCH USE ONLY AND ARE NOT INTENDED FOR DIAGNOSTIC OR THERAPEUTIC USE”.