NDUFAF1 Recombinant Rabbit Monoclonal Antibody [JE47-18]
cat.: ET7109-54
Product Type: Recombinant Rabbit monoclonal IgG, primary antibodies
Species reactivity: Human
Applications: WB, IHC-P
Clonality: Monoclonal
Clone number: JE47-18
Form: Liquid
Storage condition: Shipped at 4℃. Store at +4℃ short term (1-2 weeks). It is recommended to aliquot into single-use upon delivery. Store at -20℃ long term.
Storage buffer: 1*TBS (pH7.4), 0.05% BSA, 40% Glycerol. Preservative: 0.05% Sodium Azide.
Concentration: 1ug/ul
Purification: Protein A affinity purified.
Molecular weight: Predicted band size: 38 kDa
Isotype: IgG
Immunogen: Recombinant protein within Human NDUFAF1 aa 1-190 / 327.
Positive control: K-562 cell lysate, HeLa cell lysate, Jurkat cell lysate, HEK-293 cell lysate, human kidney tissue, human liver tissue.
Subcellular location: Mitochondrion, Mitochondrion matrix.
Recommended Dilutions:
  WB
  IHC-P

1:2,000
1:200-1:1,000
Uniprot #: SwissProt: Q9Y375 Human
Alternative names: CGI 65 CGI65 CIA30 CIA30_HUMAN Complex I intermediate associated protein 30 Complex I intermediate associated protein 30 mitochondrial Complex I intermediate-associated protein 30, mitochondrial NADH dehydrogenase (ubiquinone) 1 alpha subcomplex assembly factor 1 NADH dehydrogenase [ubiquinone] 1 alpha subcomplex assembly factor 1 NADH:ubiquinone oxidoreductase complex assembly factor 1 NDUFAF 1 Ndufaf1 antibod
Images
ET7109-54_1.jpg Fig1: Western blot analysis of NDUFAF1 on different lysates with Rabbit anti-NDUFAF1 antibody (ET7109-54) at 1/2,000 dilution.

Lane 1: K-562 cell lysate (20 µg/Lane)
Lane 2: HeLa cell lysate (20 µg/Lane)
Lane 3: Jurkat cell lysate (20 µg/Lane)
Lane 4: HEK-293 cell lysate (20 µg/Lane)

Predicted band size: 38 kDa
Observed band size: 33 kDa

Exposure time: 25 seconds; ECL: K1801;
4-20% SDS-PAGE gel.

Proteins were transferred to a PVDF membrane and blocked with 5% NFDM/TBST for 1 hour at room temperature. The primary antibody (ET7109-54) at 1/2,000 dilution was used in 5% NFDM/TBST at 4℃ overnight. Goat Anti-Rabbit IgG - HRP Secondary Antibody (HA1001) at 1/50,000 dilution was used for 1 hour at room temperature.
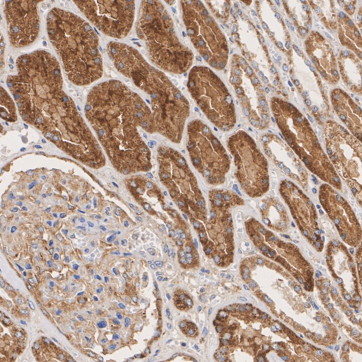
ET7109-54_2.jpg Fig2: Immunohistochemical analysis of paraffin-embedded human kidney tissue with Rabbit anti-NDUFAF1 antibody (ET7109-54) at 1/200 dilution.

The section was pre-treated using heat mediated antigen retrieval with Tris-EDTA buffer (pH 9.0) for 20 minutes. The tissues were blocked in 1% BSA for 20 minutes at room temperature, washed with ddH2O and PBS, and then probed with the primary antibody (ET7109-54) at 1/200 dilution for 1 hour at room temperature. The detection was performed using an HRP conjugated compact polymer system. DAB was used as the chromogen. Tissues were counterstained with hematoxylin and mounted with DPX.
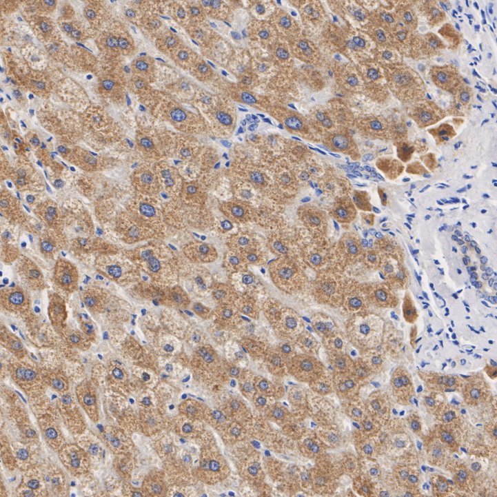
ET7109-54_3.jpg Fig3: Immunohistochemical analysis of paraffin-embedded human liver tissue with Rabbit anti-NDUFAF1 antibody (ET7109-54) at 1/1,000 dilution.

The section was pre-treated using heat mediated antigen retrieval with Tris-EDTA buffer (pH 9.0) for 20 minutes. The tissues were blocked in 1% BSA for 20 minutes at room temperature, washed with ddH2O and PBS, and then probed with the primary antibody (ET7109-54) at 1/1,000 dilution for 1 hour at room temperature. The detection was performed using an HRP conjugated compact polymer system. DAB was used as the chromogen. Tissues were counterstained with hematoxylin and mounted with DPX.
Note: All products are “FOR RESEARCH USE ONLY AND ARE NOT INTENDED FOR DIAGNOSTIC OR THERAPEUTIC USE”.