ICAD Recombinant Rabbit Monoclonal Antibody [JE49-23]
cat.: ET7109-91
Product Type: Recombinant Rabbit monoclonal IgG, primary antibodies
Species reactivity: Human, Mouse, Rat
Applications: WB, IHC-P, FC
Clonality: Monoclonal
Clone number: JE49-23
Form: Liquid
Storage condition: Shipped at 4℃. Store at +4℃ short term (1-2 weeks). It is recommended to aliquot into single-use upon delivery. Store at -20℃ long term.
Storage buffer: 1*TBS (pH7.4), 0.05% BSA, 40% Glycerol. Preservative: 0.05% Sodium Azide.
Concentration: 1ug/ul
Purification: Protein A affinity purified.
Molecular weight: Predicted band size: 37 kDa.
Isotype: IgG
Immunogen: Recombinant protein within human ICAD aa 37-137.
Positive control: HepG2 cell lysate, A431 cell lysate, human colon tissue, human kidney tissue, mouse colon tissue, mouse kidney tissue, rat colon tissue, rat kidney tissue, HCT116.
Subcellular location: Cytoplasm.
Recommended Dilutions:
  WB
  IHC-P
  FC

1:1,000
1:1,000
1:50-1:100
Uniprot #: SwissProt: O00273 Human | O54786 Mouse
Entrez Gene: 114214 Rat
Alternative names: A330085O09Rik Caspase activated deoxyribonuclease inhibitor short form DFF 1 DFF 45 DFF alpha DFF-45 DFF1 DFF35 DFF45 DFFA Dffa DNA fragmentation factor, alpha subunit DFFA_HUMAN DNA fragmentation factor 45 kDa subunit DNA Fragmentation Factor Alpha Subunit DNA fragmentation factor subunit alpha DNA fragmentation factor, 45 kD, alpha subunit DNA fragmentation factor, 45kDa, alpha polypeptide (DFFA), transcript variant 1 DNA fragmentation factor, 45kDa, alpha polypeptide DNA fragmentation factor, alpha subunit DNAation factor 45 kDa subunit H13 ICAD ICAD L ICAD S Inhibitor of CAD Inhibitor of Caspase Activated DNase MGC143066 OTTHUMP00000001903 OTTHUMP00000001904 RP23 121D17.3
Images
ET7109-91_1.jpg Fig1: Western blot analysis of ICAD on different lysates with Rabbit anti-ICAD antibody (ET7109-91) at 1/2,000 dilution.

Lane 1: HepG2 cell lysate
Lane 2: A431 cell lysate

Lysates/proteins at 20 µg/Lane.

Predicted band size: 37 kDa
Observed band size: 45 kDa

Exposure time: 51 seconds; ECL: K1801;

4-20% SDS-PAGE gel.

Proteins were transferred to a PVDF membrane and blocked with 5% NFDM/TBST for 1 hour at room temperature. The primary antibody (ET7109-91) at 1/2,000 dilution was used in 5% NFDM/TBST at 4℃ overnight. Goat Anti-Rabbit IgG - HRP Secondary Antibody (HA1001) at 1/50,000 dilution was used for 1 hour at room temperature.
ET7109-91_2.jpg Fig2: Western blot analysis of ICAD on different lysates with Rabbit anti-ICAD antibody (ET7109-91) at 1/1,000 dilution.

Lane 1: HAP1-parental cell lysate
Lane 2: HAP1-ICAD KD cell lysate

Lysates/proteins at 10 µg/Lane.

Predicted band size: 37 kDa
Observed band size: 40 kDa

Exposure time: 120 seconds; ECL: K1801;

4-20% SDS-PAGE gel.

Proteins were transferred to a PVDF membrane and blocked with 5% NFDM/TBST for 1 hour at room temperature. The primary antibody (ET7109-91) at 1/1,000 dilution was used in 5% NFDM/TBST at 4℃ overnight. Goat Anti-Rabbit IgG - HRP Secondary Antibody (HA1001) at 1/50,000 dilution was used for 1 hour at room temperature.
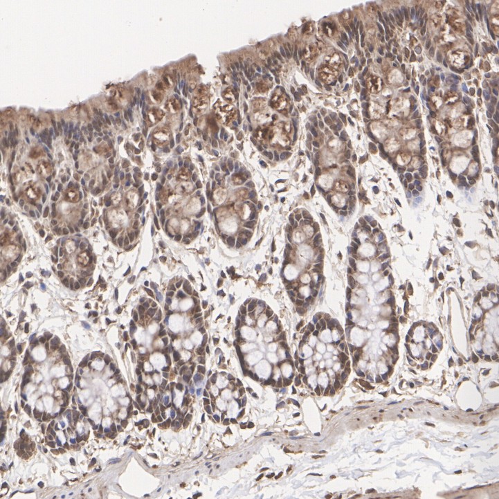
ET7109-91_3.jpg Fig3: Immunohistochemical analysis of paraffin-embedded human colon tissue with Rabbit anti-ICAD antibody (ET7109-91) at 1/1,000 dilution.

The section was pre-treated using heat mediated antigen retrieval with Tris-EDTA buffer (pH 9.0) for 20 minutes. The tissues were blocked in 1% BSA for 20 minutes at room temperature, washed with ddH2O and PBS, and then probed with the primary antibody (ET7109-91) at 1/1,000 dilution for 1 hour at room temperature. The detection was performed using an HRP conjugated compact polymer system. DAB was used as the chromogen. Tissues were counterstained with hematoxylin and mounted with DPX.
ET7109-91_4.jpg Fig4: Immunohistochemical analysis of paraffin-embedded human kidney tissue with Rabbit anti-ICAD antibody (ET7109-91) at 1/1,000 dilution.

The section was pre-treated using heat mediated antigen retrieval with Tris-EDTA buffer (pH 9.0) for 20 minutes. The tissues were blocked in 1% BSA for 20 minutes at room temperature, washed with ddH2O and PBS, and then probed with the primary antibody (ET7109-91) at 1/1,000 dilution for 1 hour at room temperature. The detection was performed using an HRP conjugated compact polymer system. DAB was used as the chromogen. Tissues were counterstained with hematoxylin and mounted with DPX.
ET7109-91_5.jpg Fig5: Immunohistochemical analysis of paraffin-embedded mouse colon tissue with Rabbit anti-ICAD antibody (ET7109-91) at 1/1,000 dilution.

The section was pre-treated using heat mediated antigen retrieval with Tris-EDTA buffer (pH 9.0) for 20 minutes. The tissues were blocked in 1% BSA for 20 minutes at room temperature, washed with ddH2O and PBS, and then probed with the primary antibody (ET7109-91) at 1/1,000 dilution for 1 hour at room temperature. The detection was performed using an HRP conjugated compact polymer system. DAB was used as the chromogen. Tissues were counterstained with hematoxylin and mounted with DPX.
ET7109-91_6.jpg Fig6: Immunohistochemical analysis of paraffin-embedded mouse kidney tissue with Rabbit anti-ICAD antibody (ET7109-91) at 1/1,000 dilution.

The section was pre-treated using heat mediated antigen retrieval with Tris-EDTA buffer (pH 9.0) for 20 minutes. The tissues were blocked in 1% BSA for 20 minutes at room temperature, washed with ddH2O and PBS, and then probed with the primary antibody (ET7109-91) at 1/1,000 dilution for 1 hour at room temperature. The detection was performed using an HRP conjugated compact polymer system. DAB was used as the chromogen. Tissues were counterstained with hematoxylin and mounted with DPX.
ET7109-91_7.jpg Fig7: Immunohistochemical analysis of paraffin-embedded rat colon tissue with Rabbit anti-ICAD antibody (ET7109-91) at 1/1,000 dilution.

The section was pre-treated using heat mediated antigen retrieval with Tris-EDTA buffer (pH 9.0) for 20 minutes. The tissues were blocked in 1% BSA for 20 minutes at room temperature, washed with ddH2O and PBS, and then probed with the primary antibody (ET7109-91) at 1/1,000 dilution for 1 hour at room temperature. The detection was performed using an HRP conjugated compact polymer system. DAB was used as the chromogen. Tissues were counterstained with hematoxylin and mounted with DPX.
ET7109-91_8.jpg Fig8: Immunohistochemical analysis of paraffin-embedded rat kidney tissue with Rabbit anti-ICAD antibody (ET7109-91) at 1/1,000 dilution.

The section was pre-treated using heat mediated antigen retrieval with Tris-EDTA buffer (pH 9.0) for 20 minutes. The tissues were blocked in 1% BSA for 20 minutes at room temperature, washed with ddH2O and PBS, and then probed with the primary antibody (ET7109-91) at 1/1,000 dilution for 1 hour at room temperature. The detection was performed using an HRP conjugated compact polymer system. DAB was used as the chromogen. Tissues were counterstained with hematoxylin and mounted with DPX.
ET7109-91_9.jpg Fig9: Flow cytometric analysis of ICAD was done on HCT116 cells. The cells were fixed, permeabilized and stained with the primary antibody (ET7109-91, 1/100) (red). After incubation of the primary antibody at room temperature for an hour, the cells were stained with a Alexa Fluor 488-conjugated goat anti-rabbit IgG Secondary antibody at 1/500 dilution for 30 minutes.Unlabelled sample was used as a control (cells without incubation with primary antibody; black).
Note: All products are “FOR RESEARCH USE ONLY AND ARE NOT INTENDED FOR DIAGNOSTIC OR THERAPEUTIC USE”.