 
	            	| Product Type: | Recombinant Rabbit monoclonal IgG, primary antibodies | 
|---|---|
| Species reactivity: | Human | 
| Applications: | WB, IHC-P | 
| Clonality: | Monoclonal | 
| Clone number: | JE52-69 | 
| Form: | Liquid | 
| Storage condition: | Shipped at 4℃. Store at +4℃ short term (1-2 weeks). It is recommended to aliquot into single-use upon delivery. Store at -20℃ long term. | 
| Storage buffer: | 1*TBS (pH7.4), 0.05% BSA, 40% Glycerol. Preservative: 0.05% Sodium Azide. | 
| Concentration: | 1ug/ul | 
| Purification: | Protein A affinity purified. | 
| Molecular weight: | Predicted band size: 68 kDa | 
| Isotype: | IgG | 
| Immunogen: | Recombinant protein within Human SENP2 aa 280-420 / 589. | 
| Positive control: | 293 cell lysates, human colon tissue, human breast tissue, human kidney tissue. | 
| Subcellular location: | Cytoplasm, Membrane, Nuclear pore complex, Nucleus. | 
| Recommended Dilutions: WB IHC-P | 1:500-1:1,000 1:50-1:100 | 
| Uniprot #: | SwissProt: Q9HC62 Human | 
| Alternative names: | Axam2 DKFZp762A2316 KIAA1331 Senp2 SENP2_HUMAN Sentrin specific protease 2 Sentrin-specific protease 2 Sentrin/SUMO specific protease SENP2 Sentrin/SUMO-specific protease SENP2 SMT3 specific isopeptidase 2 SMT3-specific isopeptidase 2 Smt3ip2 SUMO1/sentrin/SMT3 specific peptidase 2 | 
|   | Fig1: Western blot analysis of SENP2 on 293 cell lysates. Proteins were transferred to a PVDF membrane and blocked with 5% BSA in PBS for 1 hour at room temperature. The primary antibody (ET7110-33, 1/500) was used in 5% BSA at room temperature for 2 hours. Goat Anti-Rabbit IgG - HRP Secondary Antibody (HA1001) at 1:5,000 dilution was used for 1 hour at room temperature. | 
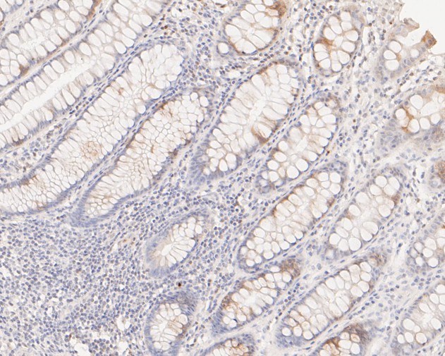
|   | Fig2: Immunohistochemical analysis of paraffin-embedded human colon tissue using anti-SENP2 antibody. The section was pre-treated using heat mediated antigen retrieval with sodium citrate buffer (pH 6.0) for 20 minutes. The tissues were blocked in 5% BSA for 30 minutes at room temperature, washed with ddH2O and PBS, and then probed with the primary antibody (ET7110-33, 1/50) for 30 minutes at room temperature. The detection was performed using an HRP conjugated compact polymer system. DAB was used as the chromogen. Tissues were counterstained with hematoxylin and mounted with DPX. | 
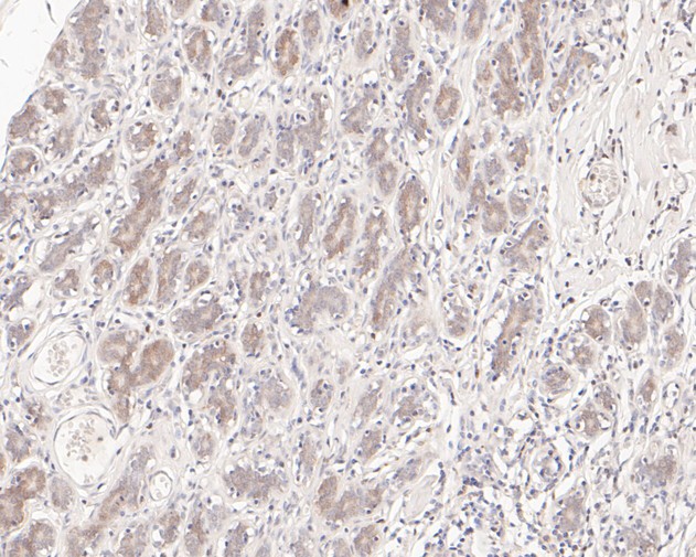
|   | Fig3: Immunohistochemical analysis of paraffin-embedded human breast tissue using anti-SENP2 antibody. The section was pre-treated using heat mediated antigen retrieval with sodium citrate buffer (pH 6.0) for 20 minutes. The tissues were blocked in 5% BSA for 30 minutes at room temperature, washed with ddH2O and PBS, and then probed with the primary antibody (ET7110-33, 1/50) for 30 minutes at room temperature. The detection was performed using an HRP conjugated compact polymer system. DAB was used as the chromogen. Tissues were counterstained with hematoxylin and mounted with DPX. | 
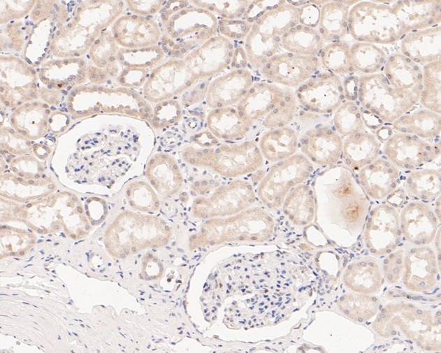
|   | Fig4: Immunohistochemical analysis of paraffin-embedded human kidney tissue using anti-SENP2 antibody. The section was pre-treated using heat mediated antigen retrieval with sodium citrate buffer (pH 6.0) for 20 minutes. The tissues were blocked in 5% BSA for 30 minutes at room temperature, washed with ddH2O and PBS, and then probed with the primary antibody (ET7110-33, 1/50) for 30 minutes at room temperature. The detection was performed using an HRP conjugated compact polymer system. DAB was used as the chromogen. Tissues were counterstained with hematoxylin and mounted with DPX. |