HLA F Recombinant Rabbit Monoclonal Antibody [JE54-04]
cat.: ET7110-39
Product Type: Recombinant Rabbit monoclonal IgG, primary antibodies
Species reactivity: Human
Applications: WB, IHC-P
Clonality: Monoclonal
Clone number: JE54-04
Form: Liquid
Storage condition: Shipped at 4℃. Store at +4℃ short term (1-2 weeks). It is recommended to aliquot into single-use upon delivery. Store at -20℃ long term.
Storage buffer: 1*TBS (pH7.4), 0.05% BSA, 40% Glycerol. Preservative: 0.05% Sodium Azide.
Concentration: 1ug/ul
Purification: Protein A affinity purified.
Molecular weight: Predicted band size: 39 kDa
Isotype: IgG
Immunogen: Recombinant protein within Human HLA F aa 1-127 / 346.
Positive control: Human thymus tissue lysate, human lymph node tissue, human spleen tissue lysate, human tonsil tissue, human spleen tissue.
Subcellular location: Lysosome membrane, early endosome membrane, cell membrane.
Recommended Dilutions:
  WB
  IHC-P

1:500-1:2,000
1:50-1:200
Uniprot #: SwissProt: P30511 Human
Alternative names: CDA12 HLA 5.4 HLA class I histocompatibility antigen, alpha chain F HLA class I molecule HLA F antigen HLA-CDA12 HLA-F HLAF HLAF_HUMAN Leukocyte antigen F MHC class I antigen F
Images
ET7110-39_1.jpg Fig1: Western blot analysis of HLA F on different lysates. Proteins were transferred to a PVDF membrane and blocked with 5% BSA in PBS for 1 hour at room temperature. The primary antibody (ET7110-39, 1/500) was used in 5% BSA at room temperature for 2 hours. Goat Anti-Rabbit IgG - HRP Secondary Antibody (HA1001) at 1:5,000 dilution was used for 1 hour at room temperature.
Positive control:
Lane 1: Human thymus tissue lysate
Lane 2: Human spleen tissue lysate
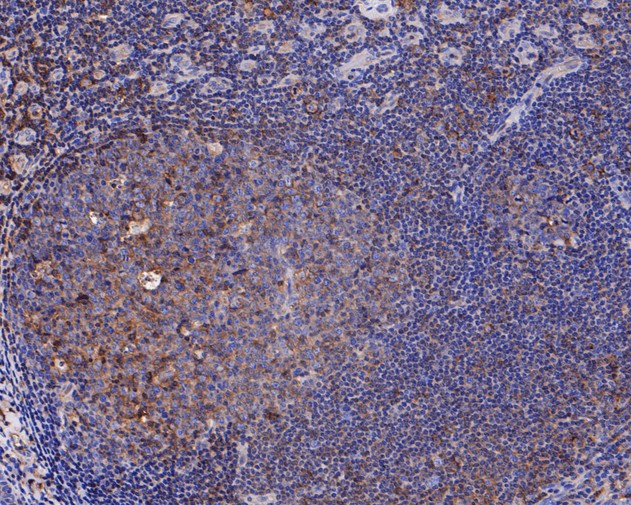
ET7110-39_2.jpg Fig2: Immunohistochemical analysis of paraffin-embedded human lymph node tissue with Rabbit anti-HLA F antibody (ET7110-39) at 1/200 dilution.

The section was pre-treated using heat mediated antigen retrieval with Tris-EDTA buffer (pH 9.0) for 20 minutes. The tissues were blocked in 1% BSA for 20 minutes at room temperature, washed with ddH2O and PBS, and then probed with the primary antibody (ET7110-39) at 1/200 dilution for 1 hour at room temperature. The detection was performed using an HRP conjugated compact polymer system. DAB was used as the chromogen. Tissues were counterstained with hematoxylin and mounted with DPX.
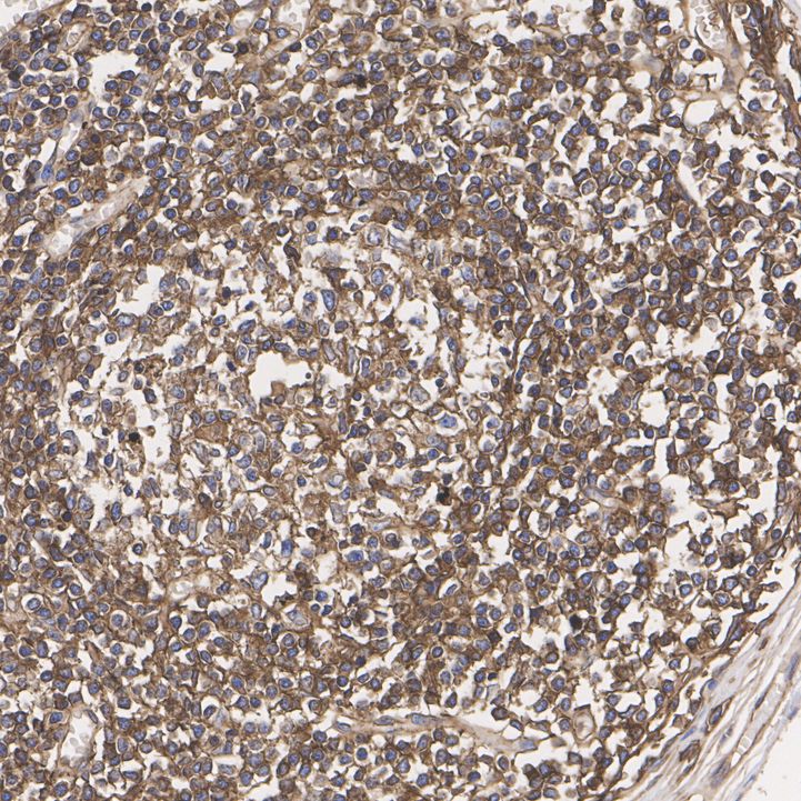
ET7110-39_3.jpg Fig3: Immunohistochemical analysis of paraffin-embedded human tonsil tissue using anti-HLA F antibody. The section was pre-treated using heat mediated antigen retrieval with Tris-EDTA buffer (pH 8.0-8.4) for 20 minutes.The tissues were blocked in 5% BSA for 30 minutes at room temperature, washed with ddH2O and PBS, and then probed with the primary antibody (ET7110-39, 1/50) for 30 minutes at room temperature. The detection was performed using an HRP conjugated compact polymer system. DAB was used as the chromogen. Tissues were counterstained with hematoxylin and mounted with DPX.
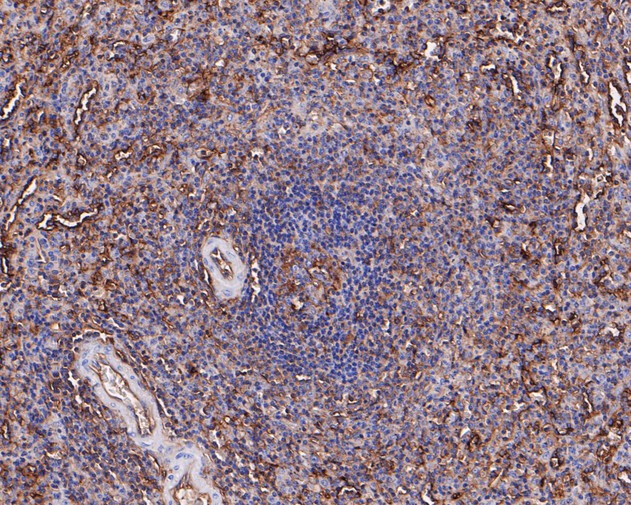
ET7110-39_4.jpg Fig4: Immunohistochemical analysis of paraffin-embedded human spleen tissue using anti-HLA F antibody. The section was pre-treated using heat mediated antigen retrieval with Tris-EDTA buffer (pH 8.0-8.4) for 20 minutes.The tissues were blocked in 5% BSA for 30 minutes at room temperature, washed with ddH2O and PBS, and then probed with the primary antibody (ET7110-39, 1/50) for 30 minutes at room temperature. The detection was performed using an HRP conjugated compact polymer system. DAB was used as the chromogen. Tissues were counterstained with hematoxylin and mounted with DPX.
Note: All products are “FOR RESEARCH USE ONLY AND ARE NOT INTENDED FOR DIAGNOSTIC OR THERAPEUTIC USE”.