Elongation factor 1-gamma Recombinant Rabbit Monoclonal Antibody [JE54-03]
cat.: ET7110-45
Product Type: Recombinant Rabbit monoclonal IgG, primary antibodies
Species reactivity: Human, Mouse, Rat
Applications: WB, IF-Cell, IHC-P, FC
Clonality: Monoclonal
Clone number: JE54-03
Form: Liquid
Storage condition: Shipped at 4℃. Store at +4℃ short term (1-2 weeks). It is recommended to aliquot into single-use upon delivery. Store at -20℃ long term.
Storage buffer: 1*TBS (pH7.4), 0.05% BSA, 40% Glycerol. Preservative: 0.05% Sodium Azide.
Concentration: 1ug/ul
Purification: Protein A affinity purified.
Molecular weight: Predicted band size: 50 kDa
Isotype: IgG
Immunogen: Recombinant protein within Human Elongation factor 1-gamma aa 1-163 / 437.
Positive control: HeLa cell lysate, MCF7 cell lysate, NIH/3T3 cell lysate, mouse testis tissue lysate, mouse thymus tissue lysate, rat testis tissue lysate, rat thymus tissue lysate, MCF-7, PANC-1, SKOV-3, human colon carcinoma tissue, human small intestine tissue, human pancreas tissue, mouse brain tissue, rat cerebellum tissue, Daudi.
Subcellular location: Cytosol, extracellular exosome, nucleus, cytoplasm, membrane.
Recommended Dilutions:
  WB
  IF-Cell
  IHC-P
  FC

1:1,000-1:2,000
1:50-1:100
1:200-1:1000
1:50-1:100
Uniprot #: SwissProt: P26641 Human | Q9D8N0 Mouse | Q68FR6 Rat
Alternative names: 2610301D06Rik AA407312 eEF 1B gamma EEF 1G eEF-1B gamma EEF1G EF 1 gamma EF 1G EF-1-gamma EF1 gamma EF1G EF1G_HUMAN Elongation factor 1 gamma Elongation factor 1-gamma Eukaryotic translation elongation factor 1 gamma GIG 35 GIG35 MGC103354 MGC114210 MGC144723 MGC144724 MGC94929 Pancreatic tumor related protein PRO1608 Translation elongation factor eEF 1 gamma chain
Images
ET7110-45_1.jpg Fig1: Western blot analysis of Elongation factor 1-gamma on different lysates with Rabbit anti-Elongation factor 1-gamma antibody (ET7110-45) at 1/1,000 dilution.

Lane 1: HeLa cell lysate (20 µg/Lane)
Lane 2: MCF7 cell lysate (20 µg/Lane)
Lane 3: NIH/3T3 cell lysate (20 µg/Lane)
Lane 4: Mouse testis tissue lysate (40 µg/Lane)
Lane 5: Mouse thymus tissue lysate (40 µg/Lane)
Lane 6: Rat testis tissue lysate (40 µg/Lane)
Lane 7: Rat thymus tissue lysate (40 µg/Lane)

Predicted band size: 50 kDa
Observed band size: 50 kDa

Exposure time: 10 seconds; ECL: K1801;

4-20% SDS-PAGE gel.

Proteins were transferred to a PVDF membrane and blocked with 5% NFDM/TBST for 1 hour at room temperature. The primary antibody (ET7110-45) at 1/1,000 dilution was used in 5% NFDM/TBST at 4℃ overnight. Goat Anti-Rabbit IgG - HRP Secondary Antibody (HA1001) at 1/50,000 dilution was used for 1 hour at room temperature.
ET7110-45_2.jpg Fig2: ICC staining of Elongation factor 1-gamma in MCF-7 cells (green). Formalin fixed cells were permeabilized with 0.1% Triton X-100 in TBS for 10 minutes at room temperature and blocked with 1% Blocker BSA for 15 minutes at room temperature. Cells were probed with the primary antibody (ET7110-45, 1/100) for 1 hour at room temperature, washed with PBS. Alexa Fluor®488 Goat anti-Rabbit IgG was used as the secondary antibody at 1/1,000 dilution. The nuclear counter stain is DAPI (blue).
ET7110-45_3.jpg Fig3: ICC staining of Elongation factor 1-gamma in PANC-1 cells (green). Formalin fixed cells were permeabilized with 0.1% Triton X-100 in TBS for 10 minutes at room temperature and blocked with 1% Blocker BSA for 15 minutes at room temperature. Cells were probed with the primary antibody (ET7110-45, 1/50) for 1 hour at room temperature, washed with PBS. Alexa Fluor®488 Goat anti-Rabbit IgG was used as the secondary antibody at 1/1,000 dilution. The nuclear counter stain is DAPI (blue).
ET7110-45_4.jpg Fig4: ICC staining of Elongation factor 1-gamma in SKOV-3 cells (green). Formalin fixed cells were permeabilized with 0.1% Triton X-100 in TBS for 10 minutes at room temperature and blocked with 1% Blocker BSA for 15 minutes at room temperature. Cells were probed with the primary antibody (ET7110-45, 1/50) for 1 hour at room temperature, washed with PBS. Alexa Fluor®488 Goat anti-Rabbit IgG was used as the secondary antibody at 1/1,000 dilution. The nuclear counter stain is DAPI (blue).
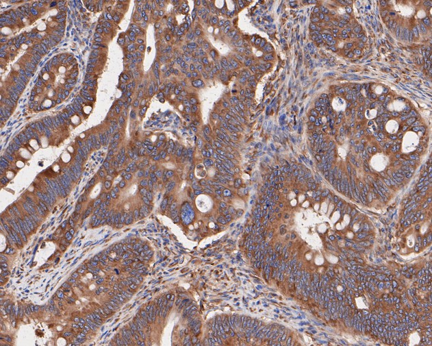
ET7110-45_5.jpg Fig5: Immunohistochemical analysis of paraffin-embedded human colon carcinoma tissue using anti-Elongation factor 1-gamma antibody. The section was pre-treated using heat mediated antigen retrieval with sodium citrate buffer (pH 6.0) for 20 minutes. The tissues were blocked in 5% BSA for 30 minutes at room temperature, washed with ddH2O and PBS, and then probed with the primary antibody (ET7110-45, 1/400) for 30 minutes at room temperature. The detection was performed using an HRP conjugated compact polymer system. DAB was used as the chromogen. Tissues were counterstained with hematoxylin and mounted with DPX.
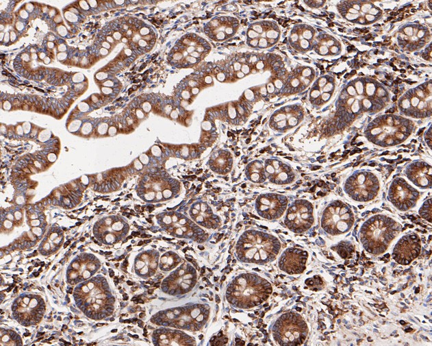
ET7110-45_6.jpg Fig6: Immunohistochemical analysis of paraffin-embedded human small intestine tissue using anti-Elongation factor 1-gamma antibody. The section was pre-treated using heat mediated antigen retrieval with sodium citrate buffer (pH 6.0) for 20 minutes. The tissues were blocked in 5% BSA for 30 minutes at room temperature, washed with ddH2O and PBS, and then probed with the primary antibody (ET7110-45, 1/400) for 30 minutes at room temperature. The detection was performed using an HRP conjugated compact polymer system. DAB was used as the chromogen. Tissues were counterstained with hematoxylin and mounted with DPX.
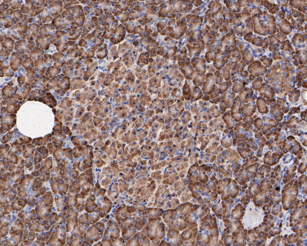
ET7110-45_7.jpg Fig7: Immunohistochemical analysis of paraffin-embedded human pancreas tissue using anti-Elongation factor 1-gamma antibody. The section was pre-treated using heat mediated antigen retrieval with sodium citrate buffer (pH 6.0) for 20 minutes. The tissues were blocked in 5% BSA for 30 minutes at room temperature, washed with ddH2O and PBS, and then probed with the primary antibody (ET7110-45, 1/400) for 30 minutes at room temperature. The detection was performed using an HRP conjugated compact polymer system. DAB was used as the chromogen. Tissues were counterstained with hematoxylin and mounted with DPX.
ET7110-45_8.jpg Fig8: Immunohistochemical analysis of paraffin-embedded mouse brain tissue using anti-Elongation factor 1-gamma antibody. The section was pre-treated using heat mediated antigen retrieval with sodium citrate buffer (pH 6.0) for 20 minutes. The tissues were blocked in 5% BSA for 30 minutes at room temperature, washed with ddH2O and PBS, and then probed with the primary antibody (ET7110-45, 1/400) for 30 minutes at room temperature. The detection was performed using an HRP conjugated compact polymer system. DAB was used as the chromogen. Tissues were counterstained with hematoxylin and mounted with DPX.
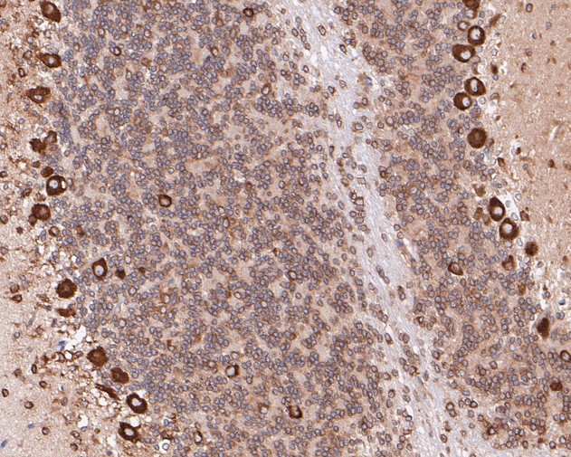
ET7110-45_9.jpg Fig9: Immunohistochemical analysis of paraffin-embedded rat cerebellum tissue using anti-Elongation factor 1-gamma antibody. The section was pre-treated using heat mediated antigen retrieval with sodium citrate buffer (pH 6.0) for 20 minutes. The tissues were blocked in 5% BSA for 30 minutes at room temperature, washed with ddH2O and PBS, and then probed with the primary antibody (ET7110-45, 1/200) for 30 minutes at room temperature. The detection was performed using an HRP conjugated compact polymer system. DAB was used as the chromogen. Tissues were counterstained with hematoxylin and mounted with DPX.
ET7110-45_10.jpg Fig10: Flow cytometric analysis of Elongation factor 1-gamma was done on Daudi cells. The cells were fixed, permeabilized and stained with the primary antibody (ET7110-45, 1/50) (red). After incubation of the primary antibody at room temperature for an hour, the cells were stained with a Alexa Fluor 488-conjugated Goat anti-Rabbit IgG Secondary antibody at 1/1000 dilution for 30 minutes.Unlabelled sample was used as a control (cells without incubation with primary antibody; black).
Note: All products are “FOR RESEARCH USE ONLY AND ARE NOT INTENDED FOR DIAGNOSTIC OR THERAPEUTIC USE”.