Estrogen Receptor alpha Recombinant Rabbit Monoclonal Antibody [JE26-14]
cat.: ET7110-60
Product Type: Recombinant Rabbit monoclonal IgG, primary antibodies
Species reactivity: Human, Mouse
Applications: WB, IHC-P
Clonality: Monoclonal
Clone number: JE26-14
Form: Liquid
Storage condition: Shipped at 4℃. Store at +4℃ short term (1-2 weeks). It is recommended to aliquot into single-use upon delivery. Store at -20℃ long term.
Storage buffer: 1*TBS (pH7.4), 0.05% BSA, 40% Glycerol. Preservative: 0.05% Sodium Azide.
Concentration: 1ug/ul
Purification: Protein A affinity purified.
Molecular weight: Predicted band size: 66 kDa
Isotype: IgG
Immunogen: Synthetic peptide within Human Estrogen Receptor alpha aa 1-50 / 595.
Positive control: MCF7 cell lysate, T-47D cell lysate, human endometrium tissue, mouse endometrium tissue.
Subcellular location: Cell membrane, nucleus, cytoplasm.
Recommended Dilutions:
  WB
  IHC-P

1:2,000-1:5,000
1:200
Uniprot #: SwissProt: P03372 Human | P19785 Mouse
Alternative names: 7*/654 isoform 7*/819 2 isoform 7*/822 isoform 8*/901 isoform 8*/941 isoform DKFZp686N23123 ER alpha ER ER-alpha Era ESR ESR1 ESR1_HUMAN ESRA Estradiol receptor Estrogen nuclear receptor alpha Estrogen receptor 1 Estrogen receptor alpha 3*,4,5,6,7*/822 isoform Estrogen receptor alpha Estrogen receptor alpha delta 3*,4,5,6,7*,8*/941 isoform Estrogen receptor alpha delta 3*,4,5,6,7*/819 2 isoform Estrogen receptor alpha delta 4 +49 isoform Estrogen receptor alpha delta 4*,5,6,7*/654 isoform Estrogen receptor alpha delta 4*,5,6,7,8*/901 isoform Estrogen receptor alpha E1 E2 1 2 Estrogen receptor alpha E1 N2 E2 1 2 Estrogen receptor ESTRR NR3A1 Nuclear receptor subfamily 3 group A member 1
Images
ET7110-60_1.jpg Fig1: Western blot analysis of Estrogen Receptor alpha on different lysates with Rabbit anti-Estrogen Receptor alpha antibody (ET7110-60) at 1/5,000 dilution.

Lane 1: MCF7 cell lysate (20 µg/Lane)
Lane 2: T-47D cell lysate (20 µg/Lane)
Lane 3: HepG2 cell lysate (negative) (20 µg/Lane)

Predicted band size: 66 kDa
Observed band size: 66 kDa

Exposure time: 3 minutes; ECL: K1801;

4-20% SDS-PAGE gel.

Proteins were transferred to a PVDF membrane and blocked with 5% NFDM/TBST for 1 hour at room temperature. The primary antibody (ET7110-60) at 1/5,000 dilution was used in primary antibody dilution (K1803) at 4℃ overnight. Goat Anti-Rabbit IgG - HRP Secondary Antibody (HA1001) at 1/50,000 dilution was used for 1 hour at room temperature.
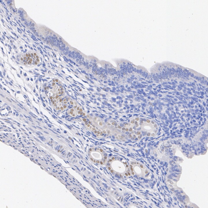
ET7110-60_2.jpg Fig2: Immunohistochemical analysis of paraffin-embedded human endometrium tissue with Rabbit anti-Estrogen Receptor alpha antibody (ET7110-60) at 1/200 dilution.

The section was pre-treated using heat mediated antigen retrieval with sodium citrate buffer (pH 6.0) (high pressure) for 2 minutes. The tissues were blocked in 1% BSA for 20 minutes at room temperature, washed with ddH2O and PBS, and then probed with the primary antibody (ET7110-60) at 1/200 dilution for 1 hour at room temperature. The detection was performed using an HRP conjugated compact polymer system. DAB was used as the chromogen. Tissues were counterstained with hematoxylin and mounted with DPX.
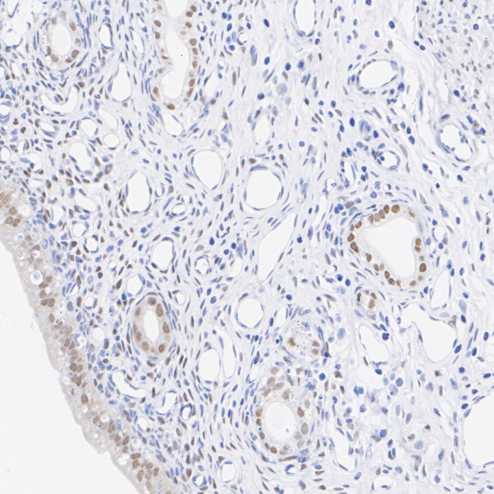
ET7110-60_3.jpg Fig3: Immunohistochemical analysis of paraffin-embedded mouse endometrium tissue with Rabbit anti-Estrogen Receptor alpha antibody (ET7110-60) at 1/200 dilution.

The section was pre-treated using heat mediated antigen retrieval with sodium citrate buffer (pH 6.0) (high pressure) for 2 minutes. The tissues were blocked in 1% BSA for 20 minutes at room temperature, washed with ddH2O and PBS, and then probed with the primary antibody (ET7110-60) at 1/200 dilution for 1 hour at room temperature. The detection was performed using an HRP conjugated compact polymer system. DAB was used as the chromogen. Tissues were counterstained with hematoxylin and mounted with DPX.
Note: All products are “FOR RESEARCH USE ONLY AND ARE NOT INTENDED FOR DIAGNOSTIC OR THERAPEUTIC USE”.