RPL7A Recombinant Rabbit Monoclonal Antibody [JE54-45]
cat.: ET7110-70
Product Type: Recombinant Rabbit monoclonal IgG, primary antibodies
Species reactivity: Human, Mouse
Applications: WB, IHC-P
Clonality: Monoclonal
Clone number: JE54-45
Form: Liquid
Storage condition: Shipped at 4℃. Store at +4℃ short term (1-2 weeks). It is recommended to aliquot into single-use upon delivery. Store at -20℃ long term.
Storage buffer: 1*TBS (pH7.4), 0.05% BSA, 40% Glycerol. Preservative: 0.05% Sodium Azide.
Concentration: 1ug/ul
Purification: Protein A affinity purified.
Molecular weight: 30 kDa
Isotype: IgG
Immunogen: Recombinant protein within Human RPL7A aa 1-165 / 266.
Positive control: A431 cell lysate, Jurkat cell lysate, Raji cell lysate, NIH/3T3 cell lysate, C2C12 cell lysate, mouse brain tissue.
Subcellular location: Cytosol, cytosolic large ribosomal subunit, nucleolus, nucleus, cytoplasm, focal adhesion, membrane, polysomal ribosome, synapse.
Recommended Dilutions:
  WB
  IHC-P

1:500-1:1,000
1:50-1:200
Uniprot #: SwissProt: P62424 Human | P12970 Mouse
Alternative names: 60S ribosomal protein L7a L7A MGC103146 PLA X polypeptide PLA-X polypeptide ribosomal protein L7a RL7A_HUMAN RP23-414L19.4 RPL7A SURF 3 SURF-3 SURF3 surfeit 3 Surfeit locus protein 3 Thyroid hormone receptor uncoupling protein TRUP
Images
ET7110-70_1.jpg Fig1: Western blot analysis of RPL7A on different lysates with Rabbit anti-RPL7A antibody (ET7110-70) at 1/500 dilution.

Lane 1: A431 cell lysate
Lane 2: Jurkat cell lysate
Lane 3: Raji cell lysate
Lane 4: NIH/3T3 cell lysate
Lane 5: C2C12 cell lysate

Lysates/proteins at 10 µg/Lane.

Predicted band size: 30 kDa
Observed band size: 30 kDa

Exposure time: 2 minutes;

12% SDS-PAGE gel.

Proteins were transferred to a PVDF membrane and blocked with 5% NFDM/TBST for 1 hour at room temperature. The primary antibody (ET7110-70) at 1/500 dilution was used in 5% NFDM/TBST at room temperature for 2 hours. Goat Anti-Rabbit IgG - HRP Secondary Antibody (HA1001) at 1:5,000 dilution was used for 1 hour at room temperature.
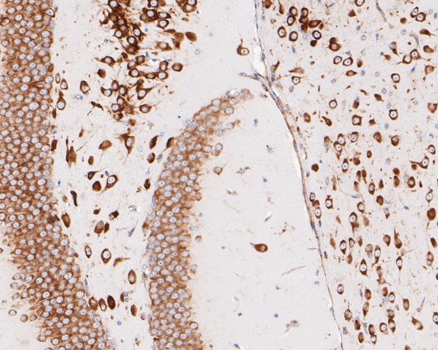
ET7110-70_2.jpg Fig2: Immunohistochemical analysis of paraffin-embedded mouse brain tissue with Rabbit anti-RPL7A antibody (ET7110-70) at 1/50 dilution.

The section was pre-treated using heat mediated antigen retrieval with sodium citrate buffer (pH 6.0) for 2 minutes. The tissues were blocked in 1% BSA for 20 minutes at room temperature, washed with ddH2O and PBS, and then probed with the primary antibody (ET7110-70) at 1/100 dilution for 1 hour at room temperature. The detection was performed using an HRP conjugated compact polymer system. DAB was used as the chromogen. Tissues were counterstained with hematoxylin and mounted with DPX.
Note: All products are “FOR RESEARCH USE ONLY AND ARE NOT INTENDED FOR DIAGNOSTIC OR THERAPEUTIC USE”.