XPD Recombinant Rabbit Monoclonal Antibody [JE55-02]
cat.: ET7110-93
Product Type: Recombinant Rabbit monoclonal IgG, primary antibodies
Species reactivity: Human, Mouse, Monkey
Applications: WB, IHC-P
Clonality: Monoclonal
Clone number: JE55-02
Form: Liquid
Storage condition: Shipped at 4℃. Store at +4℃ short term (1-2 weeks). It is recommended to aliquot into single-use upon delivery. Store at -20℃ long term.
Storage buffer: 1*TBS (pH7.4), 0.05% BSA, 40% Glycerol. Preservative: 0.05% Sodium Azide.
Concentration: 1ug/ul
Purification: Protein A affinity purified.
Molecular weight: Predicted band size: 87 kDa.
Isotype: IgG
Immunogen: Recombinant protein within Human XPD aa 620-760 / 760.
Positive control: K-562 cell lysate, 293T cell lysate, COS-1 cell lysate, human skin tissue, mouse skin tissue, human colon carcinoma tissue, human smooth muscle tissue, human kidney tissue.
Subcellular location: Nucleus, Cytoplasm, cytoskeleton, spindle.
Recommended Dilutions:
  WB
  IHC-P

1:5,000
1:200-1:1,000
Uniprot #: SwissProt: P18074 Human | O08811 Mouse
Alternative names: TFIIH 80 kDa subunit Basic transcription factor 2 80 kDa subunit BTF2 p80 COFS 2 COFS2 CXPD DNA excision repair protein ERCC 2 DNA excision repair protein ERCC-2 DNA repair protein complementing XP D cells DNA repair protein complementing XP-D cells EM9 ERCC 2 ERCC2 ERCC2_HUMAN Excision repair 2 Excision repair cross complementing rodent repair deficiency complementation Excision repair cross complementing rodent repair deficiency, complementation group 2 MAG MGC102762 MGC126218 MGC126219 OTTHUMP00000045860 OTTHUMP00000045861 OTTHUMP00000045862 OTTHUMP00000045863 TFIIH 80 kDa subunit TFIIH basal transcription factor complex 80 kDa subunit TFIIH Basal Transcription Factor Complex Helicase Subunit TFIIH basal transcription factor complex helicase XPD subunit TFIIH basal transcription factor complex p80 subunit TFIIH p80 TTD Xeroderma pigmentosum complementary group D Xeroderma pigmentosum group D complementing protein Xe......
Images
ET7110-93_1.jpg Fig1: Western blot analysis of XPD on different lysates with Rabbit anti-XPD antibody (ET7110-93) at 1/5,000 dilution.

Lane 1: K-562 cell lysate
Lane 2: 293T cell lysate
Lane 3: COS-1 cell lysate

Lysates/proteins at 20 µg/Lane.

Predicted band size: 87 kDa
Observed band size: 75 kDa

Exposure time: 10 seconds; ECL: K1801;
4-20% SDS-PAGE gel.

Proteins were transferred to a PVDF membrane and blocked with 5% NFDM/TBST for 1 hour at room temperature. The primary antibody (ET7110-93) at 1/5,000 dilution was used in primary antibody dilution (K1803) at 4℃ overnight. Goat Anti-Rabbit IgG - HRP Secondary Antibody (HA1001) at 1/50,000 dilution was used for 1 hour at room temperature.
ET7110-93_2.jpg Fig2: Immunohistochemical analysis of paraffin-embedded human skin tissue with Rabbit anti-XPD antibody (ET7110-93) at 1/200 dilution.

The section was pre-treated using heat mediated antigen retrieval with Tris-EDTA buffer (pH 9.0) for 20 minutes. The tissues were blocked in 1% BSA for 20 minutes at room temperature, washed with ddH2O and PBS, and then probed with the primary antibody (ET7110-93) at 1/200 dilution for 1 hour at room temperature. The detection was performed using an HRP conjugated compact polymer system. DAB was used as the chromogen. Tissues were counterstained with hematoxylin and mounted with DPX.
ET7110-93_3.jpg Fig3: Immunohistochemical analysis of paraffin-embedded mouse skin tissue with Rabbit anti-XPD antibody (ET7110-93) at 1/1,000 dilution.

The section was pre-treated using heat mediated antigen retrieval with Tris-EDTA buffer (pH 9.0) for 20 minutes. The tissues were blocked in 1% BSA for 20 minutes at room temperature, washed with ddH2O and PBS, and then probed with the primary antibody (ET7110-93) at 1/1,000 dilution for 1 hour at room temperature. The detection was performed using an HRP conjugated compact polymer system. DAB was used as the chromogen. Tissues were counterstained with hematoxylin and mounted with DPX.
ET7110-93_4.jpg Fig4: Immunohistochemical analysis of paraffin-embedded human colon carcinoma tissue with Rabbit anti-XPD antibody (ET7110-93) at 1/200 dilution.

The section was pre-treated using heat mediated antigen retrieval with Tris-EDTA buffer (pH 6.0) for 20 minutes. The tissues were blocked in 1% BSA for 20 minutes at room temperature, washed with ddH2O and PBS, and then probed with the primary antibody (ET7110-93) at 1/200 dilution for 0.5 hour at room temperature. The detection was performed using an HRP conjugated compact polymer system. DAB was used as the chromogen. Tissues were counterstained with hematoxylin and mounted with DPX.
ET7110-93_5.jpg Fig5: Immunohistochemical analysis of paraffin-embedded human smooth muscle tissue with Rabbit anti-XPD antibody (ET7110-93) at 1/200 dilution.

The section was pre-treated using heat mediated antigen retrieval with Tris-EDTA buffer (pH 6.0) for 20 minutes. The tissues were blocked in 1% BSA for 20 minutes at room temperature, washed with ddH2O and PBS, and then probed with the primary antibody (ET7110-93) at 1/200 dilution for 0.5 hour at room temperature. The detection was performed using an HRP conjugated compact polymer system. DAB was used as the chromogen. Tissues were counterstained with hematoxylin and mounted with DPX.
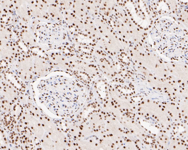
ET7110-93_6.jpg Fig6: Immunohistochemical analysis of paraffin-embedded human kidney tissue with Rabbit anti-XPD antibody (ET7110-93) at 1/200 dilution.

The section was pre-treated using heat mediated antigen retrieval with Tris-EDTA buffer (pH 6.0) for 20 minutes. The tissues were blocked in 1% BSA for 20 minutes at room temperature, washed with ddH2O and PBS, and then probed with the primary antibody (ET7110-93) at 1/200 dilution for 0.5 hour at room temperature. The detection was performed using an HRP conjugated compact polymer system. DAB was used as the chromogen. Tissues were counterstained with hematoxylin and mounted with DPX.
Note: All products are “FOR RESEARCH USE ONLY AND ARE NOT INTENDED FOR DIAGNOSTIC OR THERAPEUTIC USE”.