CD45 Recombinant Rabbit Monoclonal Antibody [JE03-05]
cat.: ET7111-03
Product Type: Recombinant Rabbit monoclonal IgG, primary antibodies
Species reactivity: Human
Applications: WB, IHC-P, FC, IF-Tissue, mIHC
Clonality: Monoclonal
Clone number: JE03-05
Form: Liquid
Storage condition: Shipped at 4℃. Store at +4℃ short term (1-2 weeks). It is recommended to aliquot into single-use upon delivery. Store at -20℃ long term.
Storage buffer: 1*TBS (pH7.4), 0.05% BSA, 40% Glycerol. Preservative: 0.05% Sodium Azide.
Concentration: 1ug/ul
Purification: Protein A affinity purified.
Molecular weight: Predicted band size: 147 kDa.
Isotype: IgG
Immunogen: Recombinant protein within Human CD45 aa 1,210-1,306 / 1,306.
Positive control: Jurkat cell lysates, human colon cancer tissue, human tonsil tissue, human spleen tissue, Jurkat.
Subcellular location: Cell junction, Cell membrane, Membrane
Recommended Dilutions:
  WB
  IHC-P
  FC
  IF-Tissue
  mIHC

1:500-1:1000
1:1,000
1:50-1:100
1:500
1:500-1:1,000
Uniprot #: SwissProt: P08575 Human
Alternative names: B220 CD 45 CD45 CD45 antigen CD45R GP180 L-CA LCA Leukocyte common antigen loc Ly-5 LY5 Ly5, homolog of Lyt-4 OTTHUMP00000033813 OTTHUMP00000033816 OTTHUMP00000033817 OTTHUMP00000038574 Protein tyrosine phosphatase receptor type c polypeptide Protein tyrosine phosphatase, receptor type C protein tyrosine phosphatase, receptor type, C Protein tyrosine phosphatase, receptor type, c polypeptide Ptprc PTPRC_HUMAN Receptor-type tyrosine-protein phosphatase C T200 T200 glycoprotein T200 leukocyte common antigen
Images
ET7111-03_1.jpg Fig1: Fluorescence multiplex immunohistochemical analysis of Human tonsil (Formalin/PFA-fixed paraffin-embedded sections). Panel A: the merged image of anti-CD68 (HA601115, Red), anti-CD38 (HA721268, Green), anti-CD23 (HA721139, White), anti-CD11C (ET1606-19, Cyan), anti-CD45 (ET7111-03, Magenta) and anti-CD20 (HA721138, Yellow) on tonsil. Panel B: anti-CD68 stained on Macrophage. Panel C: anti-CD38 stained on lymphocyte subsets. Panel D: anti-CD11C stained on dendritic cells. Panel E: CD45 stained on lymphocytes. Panel F: anti-CD20 stained on B cells. Panel G: anti-CD23 stained on follicular dendritic cells. HRP Conjugated UltraPolymer Goat Polyclonal Antibody HA1119/HA1120 was used as a secondary antibody. The immunostaining was performed with the Sequential Immuno-staining Kit (IRISKit™MH010101, www.luminiris.cn). The section was incubated in six rounds of staining: in the order of HA601115 (1/2,000 dilution), HA721268 (1/1,000 dilution), ET1606-19 (1/1,000 dilution), ET7111-03 (1/500 dilution), HA721138 (1/2,000 dilution) and HA721139 (1/800 dilution) for 20 mins at room temperature. Each round was followed by a separate fluorescent tyramide signal amplification system. Heat mediated antigen retrieval with Tris-EDTA buffer (pH 9.0) for 30 mins at 95℃. DAPI (blue) was used as a nuclear counter stain. Image acquisition was performed with Olympus VS200 Slide Scanner.
ET7111-03_2.jpg Fig2: Fluorescence multiplex immunohistochemical analysis of Human tonsil (Formalin/PFA-fixed paraffin-embedded sections). Panel A: the merged image of anti-BCL6 (HA601083, Red), anti-HLA-DPB1 (ET1704-13, Green), anti-Tryptase (ET1610-64, White), anti-CD20 (HA721138, Magenta) and anti-CD45 (ET7111-03, Yellow) on tonsil. HRP Conjugated UltraPolymer Goat Polyclonal Antibody HA1119/HA1120 was used as a secondary antibody. The immunostaining was performed with the Sequential Immuno-staining Kit (IRISKit™MH010101, www.luminiris.cn). The section was incubated in five rounds of staining: in the order of HA601083 (1/200 dilution), ET1704-13 (1/2,000 dilution), ET1610-64 (1/5,000 dilution), HA721138 (1/2,000 dilution) and ET7111-03 (1/500 dilution) for 20 mins at room temperature. Each round was followed by a separate fluorescent tyramide signal amplification system. Heat mediated antigen retrieval with Tris-EDTA buffer (pH 9.0) for 30 mins at 95℃. DAPI (blue) was used as a nuclear counter stain. Image acquisition was performed with Olympus VS200 Slide Scanner.
ET7111-03_3.jpg Fig3: Fluorescence multiplex immunohistochemical analysis of human tonsil (Formalin/PFA-fixed paraffin-embedded sections). Panel A: the merged image of anti-CD45 (ET7111-03, Yellow), anti-CD15 (HA721246, Green) and anti-CD11c (ET1606-19, Red) on tonsil. HRP Conjugated UltraPolymer Goat Polyclonal Antibody HA1119/HA1120 was used as a secondary antibody. The immunostaining was performed with the Sequential Immuno-staining Kit (IRISKit™MH010101, www.luminiris.cn). The section was incubated in three rounds of staining: in the order of ET7111-03 (1/500 dilution), HA721246 (1/500 dilution) and ET1606-19 (1/1,000 dilution) for 20 mins at room temperature. Each round was followed by a separate fluorescent tyramide signal amplification system. Heat mediated antigen retrieval with Tris-EDTA buffer (pH 9.0) for 30 mins at 95℃. DAPI (blue) was used as a nuclear counter stain. Image acquisition was performed with Zeiss Observer 7 Inverted Fluorescence Microscope.
ET7111-03_4.jpg Fig4: Western blot analysis of CD45 on Jurkat cell lysates with Rabbit anti-CD45 antibody (ET7111-03) at 1/1000 dilution.

Lysates/proteins at 10 µg/Lane.

Predicted band size: 147 kDa
Observed band size: 200 kDa

Exposure time: 2 minutes;

8% SDS-PAGE gel.

Proteins were transferred to a PVDF membrane and blocked with 5% NFDM/TBST for 1 hour at room temperature. The primary antibody (ET7111-03) at 1/1000 dilution was used in 5% NFDM/TBST at room temperature for 2 hours. Goat Anti-Rabbit IgG - HRP Secondary Antibody (HA1001) at 1:5,000 dilution was used for 1 hour at room temperature.
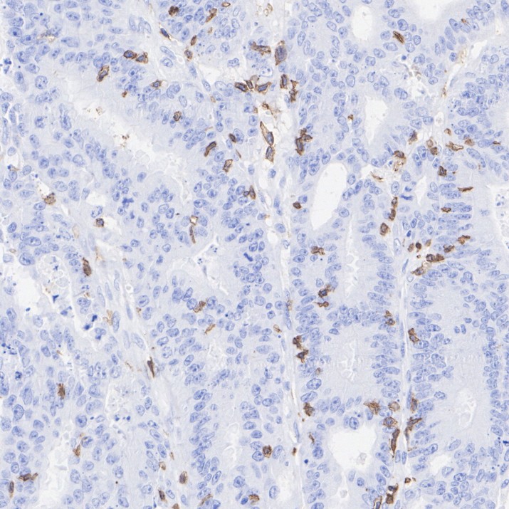
ET7111-03_5.jpg Fig5: Immunohistochemical analysis of paraffin-embedded human colon cancer tissue with Rabbit anti-CD45 antibody (ET7111-03) at 1/1,000 dilution.

The section was pre-treated using heat mediated antigen retrieval with Tris-EDTA buffer (pH 9.0) for 20 minutes. The tissues were blocked in 1% BSA for 20 minutes at room temperature, washed with ddH2O and PBS, and then probed with the primary antibody (ET7111-03) at 1/1,000 dilution for 1 hour at room temperature. The detection was performed using an HRP conjugated compact polymer system. DAB was used as the chromogen. Tissues were counterstained with hematoxylin and mounted with DPX.
ET7111-03_6.jpg Fig6: Immunohistochemical analysis of paraffin-embedded human tonsil tissue with Rabbit anti-CD45 antibody (ET7111-03) at 1/200 dilution.

The section was pre-treated using heat mediated antigen retrieval with Tris-EDTA buffer (pH 9.0) for 20 minutes. The tissues were blocked in 1% BSA for 20 minutes at room temperature, washed with ddH2O and PBS, and then probed with the primary antibody (ET7111-03) at 1/200 dilution for 1 hour at room temperature. The detection was performed using an HRP conjugated compact polymer system. DAB was used as the chromogen. Tissues were counterstained with hematoxylin and mounted with DPX.
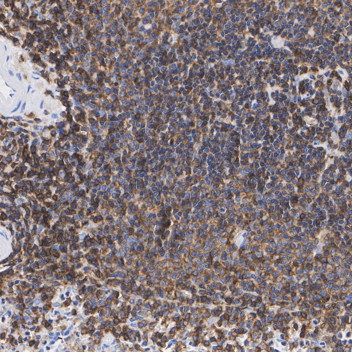
ET7111-03_7.jpg Fig7: Immunohistochemical analysis of paraffin-embedded human spleen tissue with Rabbit anti-CD45 antibody (ET7111-03) at 1/200 dilution.

The section was pre-treated using heat mediated antigen retrieval with Tris-EDTA buffer (pH 9.0) for 20 minutes. The tissues were blocked in 1% BSA for 20 minutes at room temperature, washed with ddH2O and PBS, and then probed with the primary antibody (ET7111-03) at 1/200 dilution for 1 hour at room temperature. The detection was performed using an HRP conjugated compact polymer system. DAB was used as the chromogen. Tissues were counterstained with hematoxylin and mounted with DPX.
ET7111-03_8.jpg Fig8: Immunofluorescence analysis of paraffin-embedded human tonsil tissue labeling CD45 with Rabbit anti-CD45 antibody (ET7111-03) at 1/500 dilution.

The section was pre-treated using heat mediated antigen retrieval with Tris-EDTA buffer (pH 9.0) for 20 minutes. The tissues were blocked in 10% negative goat serum for 1 hour at room temperature, washed with PBS, and then probed with the primary antibody (ET7111-03, green) at 1/500 dilution overnight at 4 ℃, washed with PBS. Goat Anti-Rabbit IgG H&L (iFluor™ 488, HA1121) was used as the secondary antibody at 1/1,000 dilution. Nuclei were counterstained with DAPI (blue).
ET7111-03_9.jpg Fig9: Flow cytometric analysis of CD45 was done on Jurkat cells. The cells were fixed, permeabilized and stained with the primary antibody (ET7111-03, 1/100) (red). After incubation of the primary antibody at room temperature for an hour, the cells were stained with a Alexa Fluor 488-conjugated goat anti-rabbit IgG Secondary antibody at 1/500 dilution for 30 minutes.Unlabelled sample was used as a control (cells without incubation with primary antibody; black).
Note: All products are “FOR RESEARCH USE ONLY AND ARE NOT INTENDED FOR DIAGNOSTIC OR THERAPEUTIC USE”.