GTF2F2 Recombinant Rabbit Monoclonal Antibody [JE56-15]
cat.: ET7111-08
Product Type: Recombinant Rabbit monoclonal IgG, primary antibodies
Species reactivity: Human, Mouse, Rat
Applications: WB, IHC-P, IF-Cell
Clonality: Monoclonal
Clone number: JE56-15
Form: Liquid
Storage condition: Shipped at 4℃. Store at +4℃ short term (1-2 weeks). It is recommended to aliquot into single-use upon delivery. Store at -20℃ long term.
Storage buffer: 1*TBS (pH7.4), 0.05% BSA, 40% Glycerol. Preservative: 0.05% Sodium Azide.
Concentration: 1ug/ul
Purification: Protein A affinity purified.
Molecular weight: Predicted band size: 28 kDa
Isotype: IgG
Immunogen: Synthetic peptide within C-terminal Human GTF2F2.
Positive control: A549 cell lysate, HepG2 cell lysate, C2C12 cell lysate, Mouse testis tissue lysate, Rat testis tissue lysate, human skin tissue, human placenta tissue, human uterus tissue, rat testis tissue, mouse testis tissue, HepG2.
Subcellular location: Nucleus.
Recommended Dilutions:
  WB
  IHC-P
  IF-Cell

1:5,000
1:50-1:200
1:50
Uniprot #: SwissProt: P13984 Human | Q8R0A0 Mouse | Q01750 Rat
Alternative names: ATP dependent helicase GTF2F2 ATP-dependent helicase GTF2F2 BTF4 General transcription factor IIF 30 kDa subunit General transcription factor IIF polypeptide 2 General transcription factor IIF subunit 2 General transcription factor IIF, polypeptide 2, 30kDa Gtf2f2 RAP30 T2FB_HUMAN TF2F2 TFIIF TFIIF beta TFIIF-beta Transcription initiation factor IIF subunit beta Transcription initiation factor RAP30
Images
ET7111-08_1.jpg Fig1: Western blot analysis of GTF2F2 on different lysates with Rabbit anti-GTF2F2 antibody (ET7111-08) at 1/5,000 dilution.

Lane 1: A549 cell lysate (20 µg/Lane)
Lane 2: HepG2 cell lysate (20 µg/Lane)
Lane 3: C2C12 cell lysate (20 µg/Lane)
Lane 4: Mouse testis tissue lysate (20 µg/Lane)
Lane 5: Rat testis tissue lysate (20 µg/Lane)

Predicted band size: 28 kDa
Observed band size: 30 kDa

Exposure time: 2 minutes; ECL: K1801;
4-20% SDS-PAGE gel.

Proteins were transferred to a PVDF membrane and blocked with 5% NFDM/TBST for 1 hour at room temperature. The primary antibody (ET7111-08) at 1/5,000 dilution was used in primary antibody dilution (K1803) at 4℃ overnight. Goat Anti-Rabbit IgG - HRP Secondary Antibody (HA1001) at 1/50,000 dilution was used for 1 hour at room temperature.
ET7111-08_2.jpg Fig2: Immunohistochemical analysis of paraffin-embedded human skin tissue with Rabbit anti-GTF2F2 antibody (ET7111-08) at 1/50 dilution.

The section was pre-treated using heat mediated antigen retrieval with sodium citrate buffer (pH 6.0) for 2 minutes. The tissues were blocked in 1% BSA for 20 minutes at room temperature, washed with ddH2O and PBS, and then probed with the primary antibody (ET7111-08) at 1/50 dilution for 1 hour at room temperature. The detection was performed using an HRP conjugated compact polymer system. DAB was used as the chromogen. Tissues were counterstained with hematoxylin and mounted with DPX.
ET7111-08_3.jpg Fig3: Immunohistochemical analysis of paraffin-embedded human placenta tissue with Rabbit anti-GTF2F2 antibody (ET7111-08) at 1/50 dilution.

The section was pre-treated using heat mediated antigen retrieval with sodium citrate buffer (pH 6.0) for 2 minutes. The tissues were blocked in 1% BSA for 20 minutes at room temperature, washed with ddH2O and PBS, and then probed with the primary antibody (ET7111-08) at 1/50 dilution for 1 hour at room temperature. The detection was performed using an HRP conjugated compact polymer system. DAB was used as the chromogen. Tissues were counterstained with hematoxylin and mounted with DPX.
ET7111-08_4.jpg Fig4: Immunohistochemical analysis of paraffin-embedded human uterus tissue with Rabbit anti-GTF2F2 antibody (ET7111-08) at 1/50 dilution.

The section was pre-treated using heat mediated antigen retrieval with sodium citrate buffer (pH 6.0) for 2 minutes. The tissues were blocked in 1% BSA for 20 minutes at room temperature, washed with ddH2O and PBS, and then probed with the primary antibody (ET7111-08) at 1/50 dilution for 1 hour at room temperature. The detection was performed using an HRP conjugated compact polymer system. DAB was used as the chromogen. Tissues were counterstained with hematoxylin and mounted with DPX.
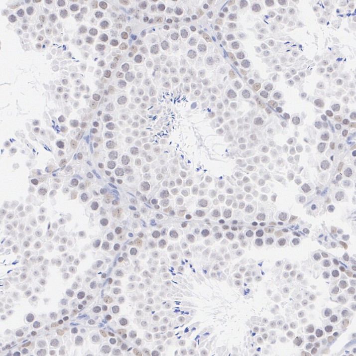
ET7111-08_5.jpg Fig5: Immunohistochemical analysis of paraffin-embedded rat testis tissue with Rabbit anti-GTF2F2 antibody (ET7111-08) at 1/50 dilution.

The section was pre-treated using heat mediated antigen retrieval with sodium citrate buffer (pH 6.0) for 2 minutes. The tissues were blocked in 1% BSA for 20 minutes at room temperature, washed with ddH2O and PBS, and then probed with the primary antibody (ET7111-08) at 1/50 dilution for 1 hour at room temperature. The detection was performed using an HRP conjugated compact polymer system. DAB was used as the chromogen. Tissues were counterstained with hematoxylin and mounted with DPX.
ET7111-08_6.jpg Fig6: Immunohistochemical analysis of paraffin-embedded mouse testis tissue with Rabbit anti-GTF2F2 antibody (ET7111-08) at 1/200 dilution.

The section was pre-treated using heat mediated antigen retrieval with Tris-EDTA buffer (pH 9.0) for 20 minutes. The tissues were blocked in 1% BSA for 20 minutes at room temperature, washed with ddH2O and PBS, and then probed with the primary antibody (ET7111-08) at 1/200 dilution for 1 hour at room temperature. The detection was performed using an HRP conjugated compact polymer system. DAB was used as the chromogen. Tissues were counterstained with hematoxylin and mounted with DPX.
ET7111-08_7.jpg Fig7: Immunocytochemistry analysis of HepG2 cells labeling GTF2F2 with Rabbit anti-GTF2F2 antibody (ET7111-08) at 1/50 dilution.

Cells were fixed in 4% paraformaldehyde for 15 minutes at room temperature, permeabilized with 0.1% Triton X-100 in PBS for 15 minutes at room temperature, then blocked with 1% BSA in 10% negative goat serum for 1 hour at room temperature. Cells were then incubated with Rabbit anti-GTF2F2 antibody (ET7111-08) at 1/50 dilution in 1% BSA in PBST overnight at 4 ℃. Goat Anti-Rabbit IgG H&L (iFluor™ 488, HA1121) was used as the secondary antibody at 1/1,000 dilution. PBS instead of the primary antibody was used as the secondary antibody only control. Nuclear DNA was labelled in blue with DAPI.

Beta tubulin (HA601187, red) was stained at 1/100 dilution overnight at +4℃. Goat Anti-Mouse IgG H&L (iFluor™ 594, HA1126) was used as the secondary antibody at 1/1,000 dilution.
Note: All products are “FOR RESEARCH USE ONLY AND ARE NOT INTENDED FOR DIAGNOSTIC OR THERAPEUTIC USE”.