UBE4B Recombinant Rabbit Monoclonal Antibody [JE55-76]
cat.: ET7111-11
Product Type: Recombinant Rabbit monoclonal IgG, primary antibodies
Species reactivity: Human, Mouse, Rat
Applications: WB, IHC-P
Clonality: Monoclonal
Clone number: JE55-76
Form: Liquid
Storage condition: Shipped at 4℃. Store at +4℃ short term (1-2 weeks). It is recommended to aliquot into single-use upon delivery. Store at -20℃ long term.
Storage buffer: 1*TBS (pH7.4), 0.05% BSA, 40% Glycerol. Preservative: 0.05% Sodium Azide.
Concentration: 1ug/ul
Purification: Protein A affinity purified.
Molecular weight: Predicted band size: 146 kDa.
Isotype: IgG
Immunogen: Synthetic peptide within N-terminal Human UBE4B.
Positive control: HeLa cell lysate, Raji cell lysate, RAW264.7 cell lysate, PC-12 cell lysate, Mouse testis tissue lysate, Rat testis tissue lysate, human lung carcinoma tissue, human kidney tissue, mouse kidney tissue, rat kidney tissue, rat skeletal muscle tissue.
Subcellular location: Nucleus, Cytoplasm.
Recommended Dilutions:
  WB
  IHC-P

1:5,000
1:50-1:200
Uniprot #: SwissProt: O95155 Human | Q9ES00 Mouse
Entrez Gene: 298652 Rat
Alternative names: 4930551I19Rik 4933406G05Rik AU014668 D4Bwg0973e E4 HDNB1 Homozygously deleted in neuroblastoma 1 KIAA0684 mKIAA0684 RP23 173D8.1 Ube4b UBE4B_HUMAN Ubiquitin conjugation factor E4 B Ubiquitin fusion degradation protein 2 UBOX3 UFD2 UFD2a Ufd2p
Images
ET7111-11_1.jpg Fig1: Western blot analysis of UBE4B on different lysates with Rabbit anti-UBE4B antibody (ET7111-11) at 1/5,000 dilution.

Lane 1: HeLa cell lysate (10 µg/Lane)
Lane 2: Raji cell lysate (10 µg/Lane)
Lane 3: RAW264.7 cell lysate (10 µg/Lane)
Lane 4: PC-12 cell lysate (10 µg/Lane)
Lane 5: Mouse testis tissue lysate (20 µg/Lane)
Lane 6: Rat testis tissue lysate (20 µg/Lane)

Predicted band size: 146 kDa
Observed band size: 146 kDa

Exposure time: 6 seconds; ECL: K1801;
4-20% SDS-PAGE gel.

Proteins were transferred to a PVDF membrane and blocked with 5% NFDM/TBST for 1 hour at room temperature. The primary antibody (ET7111-11) at 1/5,000 dilution was used in primary antibody dilution (K1803) at 4℃ overnight. Goat Anti-Rabbit IgG - HRP Secondary Antibody (HA1001) at 1/50,000 dilution was used for 1 hour at room temperature.
ET7111-11_2.jpg Fig2: All lanes: Western blot analysis of UBE4B with anti-UBE4B antibody [JE55-76] (ET7111-11) at 1:1,000 dilution.
Lane 1: Wild-type N2A whole cell lysate (30 µg).
Lane 2: UBE4B knockout N2A whole cell lysate (30 µg).

ET7111-11 was shown to specifically react with UBE4B in wild-type N2A cells. No band was observed when UBE4B knockdout sample was tested. Wild-type and UBE4B knockout samples were subjected to SDS-PAGE. Proteins were transferred to a PVDF membrane and blocked with 5% NFDM in TBST for 1 hour at room temperature. The primary antibody (ET7111-11, 1:1,000) was used in 5% BSA at room temperature for 2 hours.
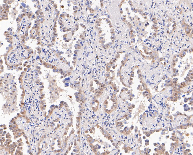
ET7111-11_3.jpg Fig3: Immunohistochemical analysis of paraffin-embedded human lung carcinoma tissue with Rabbit anti-UBE4B antibody (ET7111-11) at 1/200 dilution.

The section was pre-treated using heat mediated antigen retrieval with sodium citrate buffer (pH 6.0) for 2 minutes. The tissues were blocked in 1% BSA for 20 minutes at room temperature, washed with ddH2O and PBS, and then probed with the primary antibody (ET7111-11) at 1/200 dilution for 1 hour at room temperature. The detection was performed using an HRP conjugated compact polymer system. DAB was used as the chromogen. Tissues were counterstained with hematoxylin and mounted with DPX.
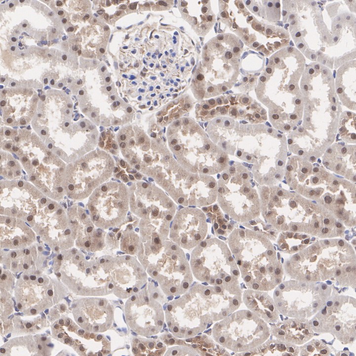
ET7111-11_4.jpg Fig4: Immunohistochemical analysis of paraffin-embedded human kidney tissue with Rabbit anti-UBE4B antibody (ET7111-11) at 1/200 dilution.

The section was pre-treated using heat mediated antigen retrieval with Tris-EDTA buffer (pH 9.0) for 20 minutes. The tissues were blocked in 1% BSA for 20 minutes at room temperature, washed with ddH2O and PBS, and then probed with the primary antibody (ET7111-11) at 1/200 dilution for 1 hour at room temperature. The detection was performed using an HRP conjugated compact polymer system. DAB was used as the chromogen. Tissues were counterstained with hematoxylin and mounted with DPX.
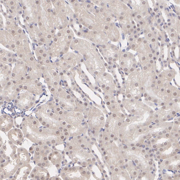
ET7111-11_5.jpg Fig5: Immunohistochemical analysis of paraffin-embedded mouse kidney tissue with Rabbit anti-UBE4B antibody (ET7111-11) at 1/200 dilution.

The section was pre-treated using heat mediated antigen retrieval with Tris-EDTA buffer (pH 9.0) for 20 minutes. The tissues were blocked in 1% BSA for 20 minutes at room temperature, washed with ddH2O and PBS, and then probed with the primary antibody (ET7111-11) at 1/200 dilution for 1 hour at room temperature. The detection was performed using an HRP conjugated compact polymer system. DAB was used as the chromogen. Tissues were counterstained with hematoxylin and mounted with DPX.
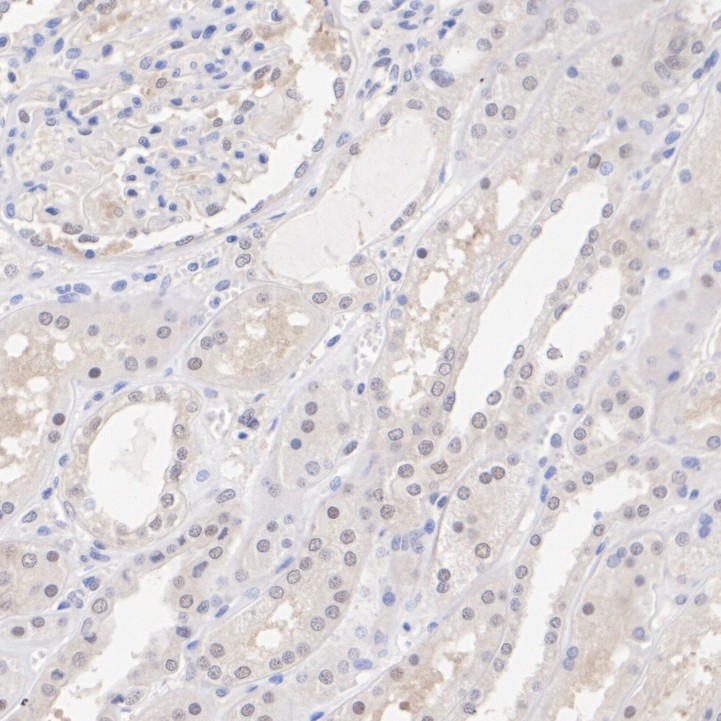
ET7111-11_6.jpg Fig6: Immunohistochemical analysis of paraffin-embedded rat kidney tissue with Rabbit anti-UBE4B antibody (ET7111-11) at 1/200 dilution.

The section was pre-treated using heat mediated antigen retrieval with Tris-EDTA buffer (pH 9.0) for 20 minutes. The tissues were blocked in 1% BSA for 20 minutes at room temperature, washed with ddH2O and PBS, and then probed with the primary antibody (ET7111-11) at 1/200 dilution for 1 hour at room temperature. The detection was performed using an HRP conjugated compact polymer system. DAB was used as the chromogen. Tissues were counterstained with hematoxylin and mounted with DPX.
ET7111-11_7.jpg Fig7: Immunohistochemical analysis of paraffin-embedded rat skeletal muscle tissue with Rabbit anti-UBE4B antibody (ET7111-11) at 1/50 dilution.

The section was pre-treated using heat mediated antigen retrieval with sodium citrate buffer (pH 6.0) for 2 minutes. The tissues were blocked in 1% BSA for 20 minutes at room temperature, washed with ddH2O and PBS, and then probed with the primary antibody (ET7111-11) at 1/50 dilution for 1 hour at room temperature. The detection was performed using an HRP conjugated compact polymer system. DAB was used as the chromogen. Tissues were counterstained with hematoxylin and mounted with DPX.
Note: All products are “FOR RESEARCH USE ONLY AND ARE NOT INTENDED FOR DIAGNOSTIC OR THERAPEUTIC USE”.