FADS1 Recombinant Rabbit Monoclonal Antibody [JE55-63]
cat.: ET7111-19
Product Type: Recombinant Rabbit monoclonal IgG, primary antibodies
Species reactivity: Human, Mouse, Rat
Applications: WB, IF-Cell, IHC-P, FC
Clonality: Monoclonal
Clone number: JE55-63
Form: Liquid
Storage condition: Shipped at 4℃. Store at +4℃ short term (1-2 weeks). It is recommended to aliquot into single-use upon delivery. Store at -20℃ long term.
Storage buffer: 1*TBS (pH7.4), 0.05% BSA, 40% Glycerol. Preservative: 0.05% Sodium Azide.
Concentration: 1ug/ul
Purification: Protein A affinity purified.
Molecular weight: Predicted band size: 52 kDa.
Isotype: IgG
Immunogen: Synthetic peptide within N-terminal Human FADS1.
Positive control: Mouse liver tissue lysate, Rat liver tissue lysate, HeLa, NIH/3T3, RAW264.7, human liver carcinoma tissue, human thyroid tissue, human colon carcinoma tissue, human breast carcinoma tissue, human stomach carcinoma tissue, human small intestine tissue, A549.
Subcellular location: Mitochondrion, Endoplasmic reticulum membrane.
Recommended Dilutions:
  WB
  IF-Cell
  IHC-P
  FC

1:500-1:1,000
1:50-1:100
1:50-1:200
1:50-1:100
Uniprot #: SwissProt: O60427 Human | Q920L1 Mouse | Q920R3 Rat
Alternative names: D5D Delta 5 desaturase Delta 5 fatty acid desaturase Delta(5) desaturase Delta(5) fatty acid desaturase Delta-5 desaturase Fads1 FADS1_HUMAN FADS6 FADSD5 Fatty acid desaturase 1 FLJ38956 Linoleoyl CoA desaturase (delta 6 desaturase) like 1 LLCDL1 TU12
Images
ET7111-19_1.jpg Fig1: Western blot analysis of FADS1 on different lysates with Rabbit anti-FADS1 antibody (ET7111-19) at 1/2,000 dilution.

Lane 1: Mouse liver tissue lysate
Lane 2: Rat liver tissue lysate

Lysates/proteins at 20 µg/Lane.

Predicted band size: 52 kDa
Observed band size: 55 kDa

Exposure time: 20 seconds; ECL: K1801;

4-20% SDS-PAGE gel.

Proteins were transferred to a PVDF membrane and blocked with 5% NFDM/TBST for 1 hour at room temperature. The primary antibody (ET7111-19) at 1/2,000 dilution was used in 5% NFDM/TBST at 4℃ overnight. Goat Anti-Rabbit IgG - HRP Secondary Antibody (HA1001) at 1/50,000 dilution was used for 1 hour at room temperature.
ET7111-19_2.jpg Fig2: Immunocytochemistry analysis of HeLa cells labeling FADS1 with Rabbit anti-FADS1 antibody (ET7111-19) at 1/100 dilution.

Cells were fixed in 4% paraformaldehyde for 15 minutes at room temperature, permeabilized with 0.1% Triton X-100 in PBS for 15 minutes at room temperature, then blocked with 1% BSA in 10% negative goat serum for 1 hour at room temperature. Cells were then incubated with Rabbit anti-FADS1 antibody (ET7111-19) at 1/100 dilution in 1% BSA in PBST overnight at 4 ℃. Goat Anti-Rabbit IgG H&L (iFluor™ 488, HA1121) was used as the secondary antibody at 1/1,000 dilution. PBS instead of the primary antibody was used as the secondary antibody only control. Counterstained with Mitotracker. Nuclear DNA was labelled in blue with DAPI.
ET7111-19_3.jpg Fig3: Immunocytochemistry analysis of NIH/3T3 cells labeling FADS1 with Rabbit anti-FADS1 antibody (ET7111-19) at 1/100 dilution.

Cells were fixed in 4% paraformaldehyde for 15 minutes at room temperature, permeabilized with 0.1% Triton X-100 in PBS for 15 minutes at room temperature, then blocked with 1% BSA in 10% negative goat serum for 1 hour at room temperature. Cells were then incubated with Rabbit anti-FADS1 antibody (ET7111-19) at 1/100 dilution in 1% BSA in PBST overnight at 4 ℃. Goat Anti-Rabbit IgG H&L (iFluor™ 488, HA1121) was used as the secondary antibody at 1/1,000 dilution. PBS instead of the primary antibody was used as the secondary antibody only control. Counterstained with Mitotracker. Nuclear DNA was labelled in blue with DAPI.
ET7111-19_4.jpg Fig4: Immunocytochemistry analysis of RAW264.7 cells labeling FADS1 with Rabbit anti-FADS1 antibody (ET7111-19) at 1/100 dilution.

Cells were fixed in 4% paraformaldehyde for 15 minutes at room temperature, permeabilized with 0.1% Triton X-100 in PBS for 15 minutes at room temperature, then blocked with 1% BSA in 10% negative goat serum for 1 hour at room temperature. Cells were then incubated with Rabbit anti-FADS1 antibody (ET7111-19) at 1/100 dilution in 1% BSA in PBST overnight at 4 ℃. Goat Anti-Rabbit IgG H&L (iFluor™ 488, HA1121) was used as the secondary antibody at 1/1,000 dilution. PBS instead of the primary antibody was used as the secondary antibody only control. Counterstained with Mitotracker. Nuclear DNA was labelled in blue with DAPI.
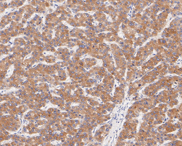
ET7111-19_5.jpg Fig5: Immunohistochemical analysis of paraffin-embedded human liver carcinoma tissue using anti-FADS1 antibody. The section was pre-treated using heat mediated antigen retrieval with Tris-EDTA buffer (pH 8.0-8.4) for 20 minutes.The tissues were blocked in 5% BSA for 30 minutes at room temperature, washed with ddH2O and PBS, and then probed with the primary antibody (ET7111-19, 1/200) for 30 minutes at room temperature. The detection was performed using an HRP conjugated compact polymer system. DAB was used as the chromogen. Tissues were counterstained with hematoxylin and mounted with DPX.
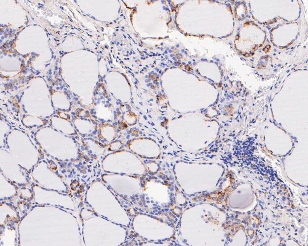
ET7111-19_6.jpg Fig6: Immunohistochemical analysis of paraffin-embedded human thyroid tissue using anti-FADS1 antibody. The section was pre-treated using heat mediated antigen retrieval with Tris-EDTA buffer (pH 8.0-8.4) for 20 minutes.The tissues were blocked in 5% BSA for 30 minutes at room temperature, washed with ddH2O and PBS, and then probed with the primary antibody (ET7111-19, 1/200) for 30 minutes at room temperature. The detection was performed using an HRP conjugated compact polymer system. DAB was used as the chromogen. Tissues were counterstained with hematoxylin and mounted with DPX.
ET7111-19_7.jpg Fig7: Immunohistochemical analysis of paraffin-embedded human colon carcinoma tissue using anti-FADS1 antibody. The section was pre-treated using heat mediated antigen retrieval with Tris-EDTA buffer (pH 8.0-8.4) for 20 minutes.The tissues were blocked in 5% BSA for 30 minutes at room temperature, washed with ddH2O and PBS, and then probed with the primary antibody (ET7111-19, 1/200) for 30 minutes at room temperature. The detection was performed using an HRP conjugated compact polymer system. DAB was used as the chromogen. Tissues were counterstained with hematoxylin and mounted with DPX.
ET7111-19_8.jpg Fig8: Immunohistochemical analysis of paraffin-embedded human breast carcinoma tissue using anti-FADS1 antibody. The section was pre-treated using heat mediated antigen retrieval with Tris-EDTA buffer (pH 8.0-8.4) for 20 minutes.The tissues were blocked in 5% BSA for 30 minutes at room temperature, washed with ddH2O and PBS, and then probed with the primary antibody (ET7111-19, 1/200) for 30 minutes at room temperature. The detection was performed using an HRP conjugated compact polymer system. DAB was used as the chromogen. Tissues were counterstained with hematoxylin and mounted with DPX.
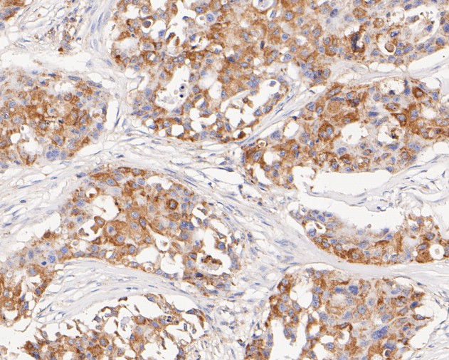
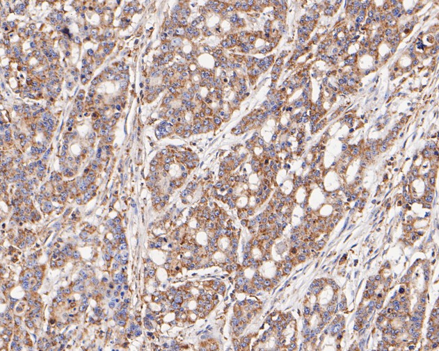
ET7111-19_9.jpg Fig9: Immunohistochemical analysis of paraffin-embedded human stomach carcinoma tissue using anti-FADS1 antibody. The section was pre-treated using heat mediated antigen retrieval with Tris-EDTA buffer (pH 8.0-8.4) for 20 minutes.The tissues were blocked in 5% BSA for 30 minutes at room temperature, washed with ddH2O and PBS, and then probed with the primary antibody (ET7111-19, 1/200) for 30 minutes at room temperature. The detection was performed using an HRP conjugated compact polymer system. DAB was used as the chromogen. Tissues were counterstained with hematoxylin and mounted with DPX.
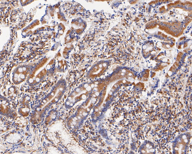
ET7111-19_10.jpg Fig10: Immunohistochemical analysis of paraffin-embedded human small intestine tissue using anti-FADS1 antibody. The section was pre-treated using heat mediated antigen retrieval with Tris-EDTA buffer (pH 8.0-8.4) for 20 minutes.The tissues were blocked in 5% BSA for 30 minutes at room temperature, washed with ddH2O and PBS, and then probed with the primary antibody (ET7111-19, 1/200) for 30 minutes at room temperature. The detection was performed using an HRP conjugated compact polymer system. DAB was used as the chromogen. Tissues were counterstained with hematoxylin and mounted with DPX.
ET7111-19_11.jpg Fig11: Flow cytometric analysis of FADS1 was done on A549 cells. The cells were fixed, permeabilized and stained with the primary antibody (ET7111-19, 1/50) (red). After incubation of the primary antibody at room temperature for an hour, the cells were stained with a Alexa Fluor 488-conjugated Goat anti-Rabbit IgG Secondary antibody at 1/1000 dilution for 30 minutes.Unlabelled sample was used as a control (cells without incubation with primary antibody; black).
Note: All products are “FOR RESEARCH USE ONLY AND ARE NOT INTENDED FOR DIAGNOSTIC OR THERAPEUTIC USE”.