CC2D1A Recombinant Rabbit Monoclonal Antibody [JE55-34]
cat.: ET7111-22
Product Type: Recombinant Rabbit monoclonal IgG, primary antibodies
Species reactivity: Human, Mouse, Rat
Applications: WB, IHC-P, IF-Cell, FC
Clonality: Monoclonal
Clone number: JE55-34
Form: Liquid
Storage condition: Shipped at 4℃. Store at +4℃ short term (1-2 weeks). It is recommended to aliquot into single-use upon delivery. Store at -20℃ long term.
Storage buffer: 1*TBS (pH7.4), 0.05% BSA, 40% Glycerol. Preservative: 0.05% Sodium Azide.
Concentration: 1ug/ul
Purification: Protein A affinity purified.
Molecular weight: Predicted band size: 104 kDa
Isotype: IgG
Immunogen: Recombinant protein within C-terminal Human CC2D1A .
Positive control: NIH/3T3 cell lysates, MCF-7 cell lysate, A431 cell lysate, PC-12 cell lysate, MCF7, PC-12, human appendix tissue, human tonsil tissue.
Subcellular location: Centrosome, Nucleus, Cytoplasm.
Recommended Dilutions:
  WB
  IHC-P
  IF-Cell
  FC

1:1,000-1:5,000
1:50-1:200
1:50
1:1,000
Uniprot #: SwissProt: Q6P1N0 Human | Q8K1A6 Mouse | Q66HA5 Rat
Alternative names: Akt kinase interacting protein 1 Coiled coil and C2 domain containing 1A Coiled coil and C2 domain containing protein 1A Five repressor element under dual repression binding protein 1 FLJ20241 FLJ41160 FRE under dual repression binding protein 1 FREUD 1 Freud 1/Aki1 Mental retardation, nonsyndromic, autosomal recessive, 3 MRT3 Putative NF kappa B activating protein 023N Putative NF kappa B activating protein
Images
ET7111-22_1.jpg Fig1: Western blot analysis of CC2D1A on different lysates with Rabbit anti-CC2D1A antibody (ET7111-22) at 1/2,000 dilution.

Lane 1: HAP1-parental cell lysate
Lane 2: HAP1-CC2D1A KD cell lysate

Lysates/proteins at 10 µg/Lane.

Predicted band size: 104 kDa
Observed band size: 130 kDa

Exposure time: 20 seconds; ECL: K1801;

4-20% SDS-PAGE gel.

Proteins were transferred to a PVDF membrane and blocked with 5% NFDM/TBST for 1 hour at room temperature. The primary antibody (ET7111-22) at 1/2,000 dilution was used in K1803 at 4℃ overnight. Goat Anti-Rabbit IgG - HRP Secondary Antibody (HA1001) at 1/50,000 dilution was used for 1 hour at room temperature.
ET7111-22_2.jpg Fig2: Western blot analysis of CC2D1A on NIH/3T3 cell lysates with Rabbit anti-CC2D1A antibody (ET7111-22) at 1/5,000 dilution.

Lysates/proteins at 20 µg/Lane.

Predicted band size: 104 kDa
Observed band size: 130 kDa

Exposure time: 25 seconds; ECL: K1801;

4-20% SDS-PAGE gel.

Proteins were transferred to a PVDF membrane and blocked with 5% NFDM/TBST for 1 hour at room temperature. The primary antibody (ET7111-22) at 1/5,000 dilution was used in primary antibody dilution (K1803) at 4℃ overnight. Goat Anti-Rabbit IgG - HRP Secondary Antibody (HA1001) at 1/50,000 dilution was used for 1 hour at room temperature.
ET7111-22_3.jpg Fig3: Western blot analysis of CC2D1A on different lysates. Proteins were transferred to a PVDF membrane and blocked with 5% BSA in PBS for 1 hour at room temperature. The primary antibody (ET7111-22, 1/1,000) was used in 5% BSA at room temperature for 2 hours. Goat Anti-Rabbit IgG - HRP Secondary Antibody (HA1001) at 1:5,000 dilution was used for 1 hour at room temperature.
Positive control:
Lane 1: MCF-7 cell lysate
Lane 2: A431 cell lysate
Lane 3: PC-12 cell lysate
ET7111-22_4.jpg Fig4: Immunocytochemistry analysis of MCF7 cells labeling CC2D1A with Rabbit anti-CC2D1A antibody (ET7111-22) at 1/50 dilution.

Cells were fixed in 4% paraformaldehyde for 15 minutes at room temperature, permeabilized with 0.1% Triton X-100 in PBS for 15 minutes at room temperature, then blocked with 1% BSA in 10% negative goat serum for 1 hour at room temperature. Cells were then incubated with Rabbit anti-CC2D1A antibody (ET7111-22) at 1/50 dilution in 1% BSA in PBST overnight at 4 ℃. Goat Anti-Rabbit IgG H&L (iFluor™ 488, HA1121) was used as the secondary antibody at 1/1,000 dilution. PBS instead of the primary antibody was used as the secondary antibody only control. Nuclear DNA was labelled in blue with DAPI.

Beta tubulin (HA601187, red) was stained at 1/100 dilution overnight at +4℃. Goat Anti-Mouse IgG H&L (iFluor™ 594, HA1126) was used as the secondary antibody at 1/1,000 dilution.
ET7111-22_5.jpg Fig5: Immunocytochemistry analysis of PC-12 cells labeling CC2D1A with Rabbit anti-CC2D1A antibody (ET7111-22) at 1/50 dilution.

Cells were fixed in 4% paraformaldehyde for 15 minutes at room temperature, permeabilized with 0.1% Triton X-100 in PBS for 15 minutes at room temperature, then blocked with 1% BSA in 10% negative goat serum for 1 hour at room temperature. Cells were then incubated with Rabbit anti-CC2D1A antibody (ET7111-22) at 1/50 dilution in 1% BSA in PBST overnight at 4 ℃. Goat Anti-Rabbit IgG H&L (iFluor™ 488, HA1121) was used as the secondary antibody at 1/1,000 dilution. PBS instead of the primary antibody was used as the secondary antibody only control. Nuclear DNA was labelled in blue with DAPI.

Beta tubulin (HA601187, red) was stained at 1/100 dilution overnight at +4℃. Goat Anti-Mouse IgG H&L (iFluor™ 594, HA1126) was used as the secondary antibody at 1/1,000 dilution.
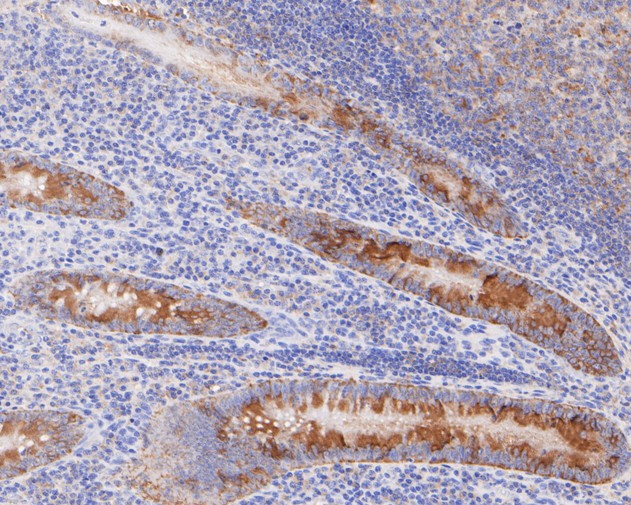
ET7111-22_6.jpg Fig6: Immunohistochemical analysis of paraffin-embedded human appendix tissue using anti-CC2D1A antibody. The section was pre-treated using heat mediated antigen retrieval with sodium citrate buffer (pH 6.0) for 20 minutes. The tissues were blocked in 5% BSA for 30 minutes at room temperature, washed with ddH2O and PBS, and then probed with the primary antibody (ET7111-22, 1/200) for 30 minutes at room temperature. The detection was performed using an HRP conjugated compact polymer system. DAB was used as the chromogen. Tissues were counterstained with hematoxylin and mounted with DPX.
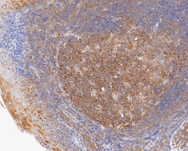
ET7111-22_7.jpg Fig7: Immunohistochemical analysis of paraffin-embedded human tonsil tissue using anti-CC2D1A antibody. The section was pre-treated using heat mediated antigen retrieval with sodium citrate buffer (pH 6.0) for 20 minutes. The tissues were blocked in 5% BSA for 30 minutes at room temperature, washed with ddH2O and PBS, and then probed with the primary antibody (ET7111-22, 1/50) for 30 minutes at room temperature. The detection was performed using an HRP conjugated compact polymer system. DAB was used as the chromogen. Tissues were counterstained with hematoxylin and mounted with DPX.
ET7111-22_8.jpg Fig8: Flow cytometric analysis of PC-12 cells labeling CC2D1A.

Cells were fixed and permeabilized. Then stained with the primary antibody (ET7111-22, 1/1,000) (red) compared with Rabbit IgG Isotype Control (green). After incubation of the primary antibody at +4℃ for an hour, the cells were stained with a iFluor™ 488 conjugate-Goat anti-Rabbit IgG Secondary antibody (HA1121) at 1/1,000 dilution for 30 minutes at +4℃. Unlabelled sample was used as a control (cells without incubation with primary antibody; black).
Note: All products are “FOR RESEARCH USE ONLY AND ARE NOT INTENDED FOR DIAGNOSTIC OR THERAPEUTIC USE”.