Mouse IL-6, Tag Free Protein
cat.: HA210796
Product name: Mouse IL-6, Tag Free
Catalog No.: HA210796
Bio-Activity: Testing in progress.
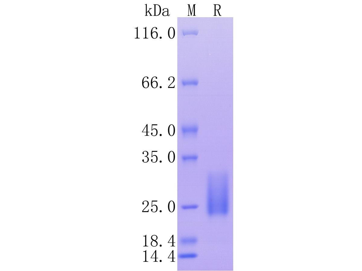
Purity: >95% as determined by SDS-PAGE.
Endotoxin: Less than 1.0 EU per μg by the LAL method.
Formulation: Lyophilized from a 0.2 μm filtered solution of PBS, pH7.4, 5% Trehalose, 5% mannitol.
Background: Cytokine with a wide variety of biological functions in immunity, tissue regeneration, and metabolism (Probable). Binds to IL6R, then the complex associates to the signaling subunit IL6ST/gp130 to trigger the intracellular IL6-signaling pathway. The interaction with the membrane-bound IL6R and IL6ST stimulates 'classic signaling', whereas the binding of IL6 and soluble IL6R to IL6ST stimulates 'trans-signaling'. Alternatively, 'cluster signaling' occurs when membrane-bound IL6:IL6R complexes on transmitter cells activate IL6ST receptors on neighboring receiver cells. IL6 is a potent inducer of the acute phase response. Rapid production of IL6 contributes to host defense during infection and tissue injury, but excessive IL6 synthesis is involved in disease pathology. In the innate immune response, is synthesized by myeloid cells, such as macrophages and dendritic cells, upon recognition of pathogens through toll-like receptors (TLRs) at the site of infection or tissue injury. In the adaptive immune response, is required for the differentiation of B-cells into immunoglolin-secreting cells (Probable). Plays a major role in the differentiation of CD4+ T cell subsets. Essential factor for the development of T follicular helper (Tfh) cells that are required for the induction of germinal-center formation. Together with IL21, controls the early generation of Tfh cells and are critical for an effective antibody response to acute viral infection.
Source: HEK293
Storage: Please avoid repeated freeze-thaw cycles. Samples are stable for up to twelve months from date of receipt at -20℃ to -80℃ It is recommended that aliquot the reconstituted solution to minimize freeze-thaw cycles.
Reconstitution: Reconstitute at 250 μg/ml in sterile water.
Images
HA210796_1.jpg Fig1: Protein on SDS-PAGE under reducing (R) condition.
Note: All products are “FOR RESEARCH USE ONLY AND ARE NOT INTENDED FOR DIAGNOSTIC OR THERAPEUTIC USE”.