Human Myeloperoxidase/MPO, Tag Free Protein
cat.: HA211022
Product name: Human Myeloperoxidase/MPO, Tag Free
Catalog No.: HA211022
Bio-Activity: Testing in progress.
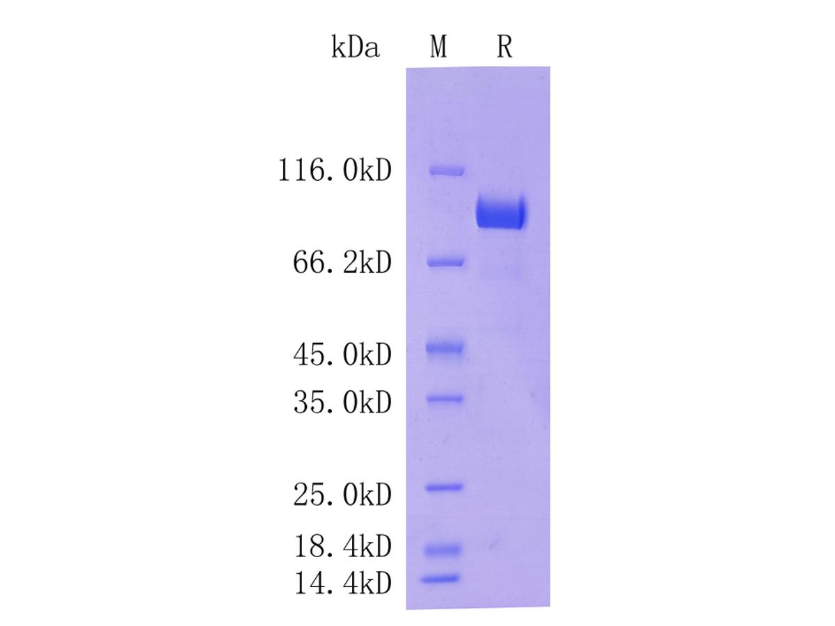
Purity: >95% as determined by SDS-PAGE.
Endotoxin: Less than 1.0 EU per μg by the LAL method.
Formulation: Lyophilized from a 0.2 μm filtered solution of PBS, pH7.4, 5% Trehalose, 5% mannitol.
Background: The heme protein myeloperoxidase (MPO) is a major component of azurophilic granules of neutrophils and polymorphonuclear leukocytes. Optimal oxygen-dependent microbiocidal activity depends on MPO as the critical enzyme for the generation of hypochlorous acid and other toxic oxygen products. The MPO precursor is synthesized during the promyelocytic stage of myeloid differentiation and is subsequently processed and transported intracellularly to the lysosomes. The precursor undergoes cotranslational N-linked glycosylation to produce a glycoprotein. Glucosidases in the endoplasmic reticulum (ER) or early cis Golgi convert the pro-MPO to a form which is sorted into a prelysosomal compartment, which undergoes final proteolytic maturation to native MPO, a pair of heavy-light protomers. In normal neutrophils, MPO is expressed as a dimer. Calreticulin, a calcium-binding protein residing in the ER, interacts specifically with fully glycosylated apopro-MPO. iMPO mRNA is abundant in human promyelocytic HL-60 and mouse myeloid leukemia NFS-60 cells. MPO is expressed at high levels in circulating neutrophils and monocytes but is not detectable in microglia, brain-specific macrophages or normal brain tissue.
Source: HEK293
Storage: Please avoid repeated freeze-thaw cycles. Samples are stable for up to twelve months from date of receipt at -20℃ to -80℃ It is recommended that aliquot the reconstituted solution to minimize freeze-thaw cycles.
Images
HA211022_1.jpg Fig1: Protein on SDS-PAGE under reducing (R) condition.
Note: All products are “FOR RESEARCH USE ONLY AND ARE NOT INTENDED FOR DIAGNOSTIC OR THERAPEUTIC USE”.