Human Cathepsin D, C-His Tag Protein
cat.: HA211077
Product name: Human Cathepsin D, C-His Tag
Catalog No.: HA211077
Bio-Activity: Testing in progress.
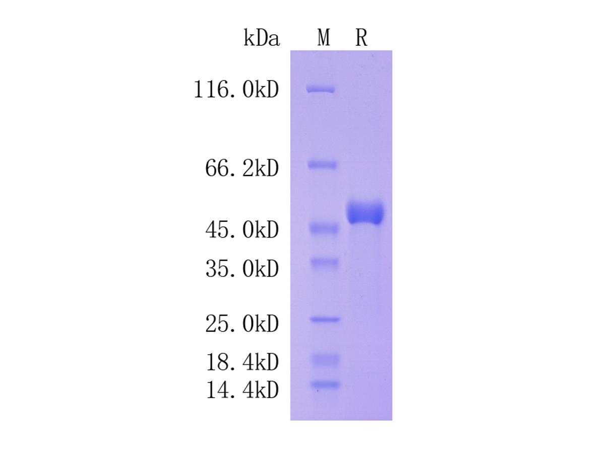
Purity: >95% as determined by SDS-PAGE.
Endotoxin: Less than 1.0 EU per μg by the LAL method.
Formulation: Lyophilized from a 0.2 μm filtered solution of PBS, pH7.4, 5% Trehalose, 5% mannitol.
Background: Acid protease active in intracellular protein breakdown. Plays a role in APP processing following cleavage and activation by ADAM30 which leads to APP degradation. Involved in the pathogenesis of several diseases such as breast cancer and possibly Alzheimer disease.
Source: HEK293
Storage: Please avoid repeated freeze-thaw cycles. Samples are stable for up to twelve months from date of receipt at -20℃ to -80℃ It is recommended that aliquot the reconstituted solution to minimize freeze-thaw cycles.
Reconstitution: Reconstitute at 250 μg/ml in sterile water.
Images
HA211077_1.jpg Fig1: Protein on SDS-PAGE under reducing (R) condition.
Note: All products are “FOR RESEARCH USE ONLY AND ARE NOT INTENDED FOR DIAGNOSTIC OR THERAPEUTIC USE”.