Mouse TSLP, Tag Free Protein
cat.: HA211088
Product name: Mouse TSLP, Tag Free
Catalog No.: HA211088
Bio-Activity: Testing in progress.
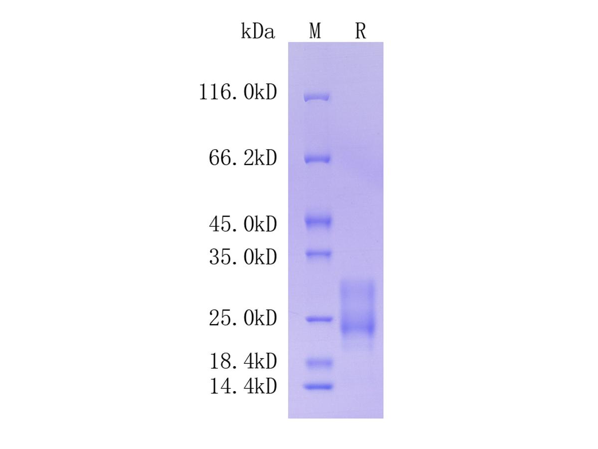
Purity: >95% as determined by SDS-PAGE.
Endotoxin: Less than 1.0 EU per μg by the LAL method.
Formulation: Lyophilized from a 0.2 μm filtered solution of PBS, pH7.4, 5% Trehalose, 5% mannitol.
Background: Thymic stromal lymphopoietin (TSLP) is an interleukin (IL)-2-like cytokine, alarmin, and growth factor involved in numerous physiological and pathological processes, primarily those of the immune system. It shares a common ancestor with IL-7. Originally appreciated for its role in immune cell proliferation and development, and then for its pivotal role in type 2 immune responses, TSLP is now known to be involved in other types of immune responses, autoimmune disease, and certain cancers.
Source: HEK293
Storage: Please avoid repeated freeze-thaw cycles. Samples are stable for up to twelve months from date of receipt at -20℃ to -80℃ It is recommended that aliquot the reconstituted solution to minimize freeze-thaw cycles.
Reconstitution: Reconstitute at 250 μg/ml in sterile water.
Images
HA211088_1.jpg Fig1: Protein on SDS-PAGE under reducing (R) condition.
Note: All products are “FOR RESEARCH USE ONLY AND ARE NOT INTENDED FOR DIAGNOSTIC OR THERAPEUTIC USE”.