Mouse FGF-21, Tag Free Protein
cat.: HA211166
Product name: Mouse FGF-21, Tag Free
Catalog No.: HA211166
Bio-Activity: Testing in progress.
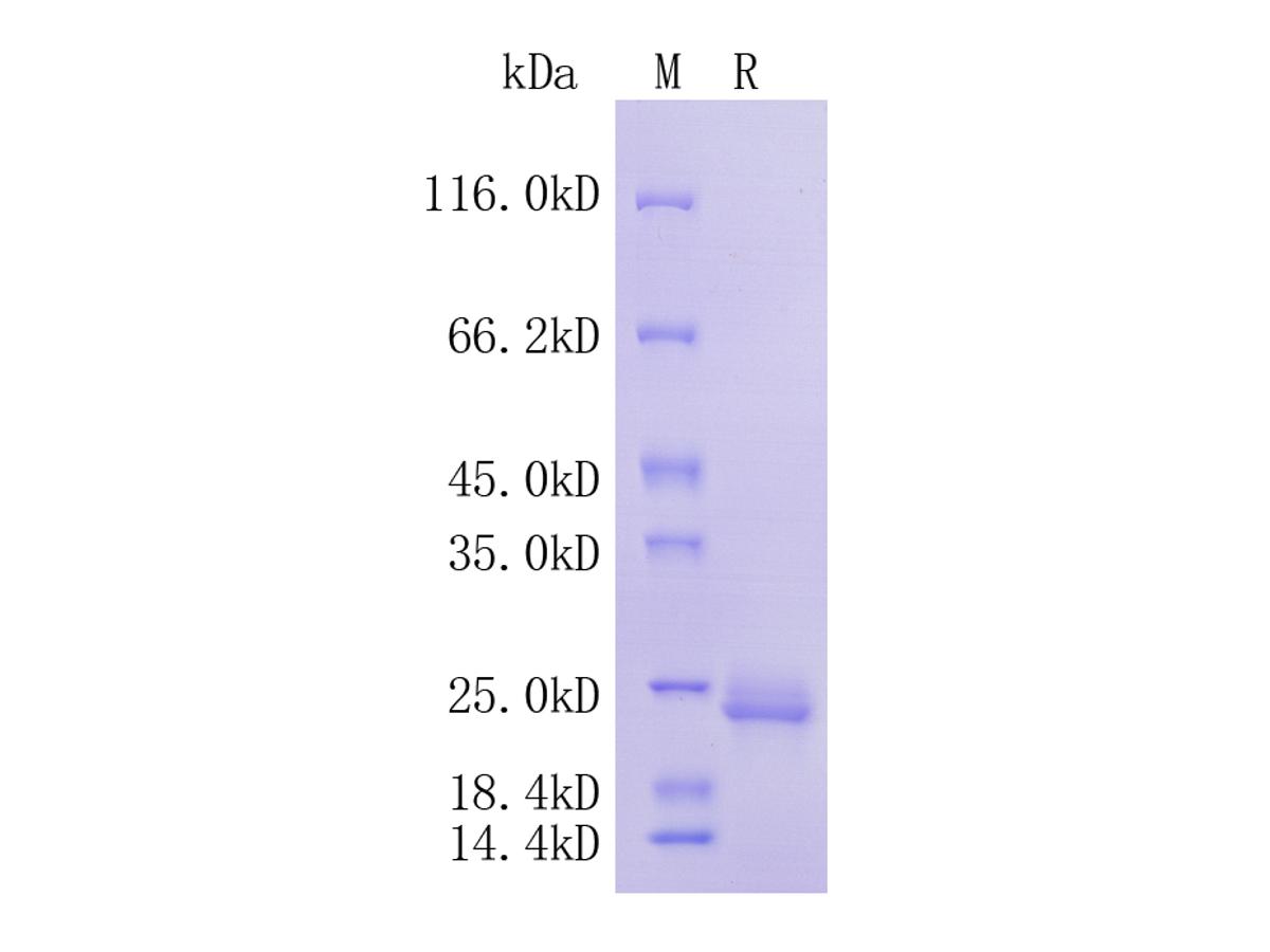
Purity: >95% as determined by SDS-PAGE.
Endotoxin: Less than 1.0 EU per μg by the LAL method.
Formulation: Lyophilized from a 0.2 μm filtered solution of PBS, pH7.4, 5% Trehalose, 5% mannitol.
Background: Fibroblast growth factor 21 (FGF-21) is a protein that in mammals is encoded by the FGF21 gene. The protein encoded by this gene is a member of the fibroblast growth factor (FGF) family and specifically a member of the endocrine subfamily which includes FGF23 and FGF15/19. FGF21 is the primary endogenous agonist of the FGF21 receptor, which is composed of the co-receptors FGF receptor 1 and β-Klotho. FGF family members possess broad mitogenic and cell survival activities and are involved in a variety of biological processes including embryonic development, cell growth, morphogenesis, tissue repair, tumor growth and invasion. FGFs act through a family of four FGF receptors. Binding is complicated and requires both interaction of the FGF molecule with an FGF receptor and binding to heparin through a heparin binding domain. Endocrine FGFs lack a heparin binding domain and thus can be released into the circulation.
Source: HEK293
Storage: Please avoid repeated freeze-thaw cycles. Samples are stable for up to twelve months from date of receipt at -20℃ to -80℃ It is recommended that aliquot the reconstituted solution to minimize freeze-thaw cycles.
Reconstitution: Reconstitute at 250 μg/ml in sterile water.
Images
HA211166_1.jpg Fig1: Protein on SDS-PAGE under reducing (R) condition.
Note: All products are “FOR RESEARCH USE ONLY AND ARE NOT INTENDED FOR DIAGNOSTIC OR THERAPEUTIC USE”.