Human Ficolin-2, C-His Tag Protein
cat.: HA211174
Product name: Human Ficolin-2, C-His Tag
Catalog No.: HA211174
Bio-Activity: Testing in progress.
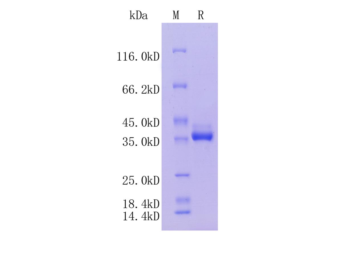
Purity: >90% as determined by SDS-PAGE.
Endotoxin: Less than 1.0 EU per μg by the LAL method.
Formulation: Lyophilized from a 0.2 μm filtered solution of PBS, pH7.4, 5% Trehalose, 5% mannitol.
Background: Ficolin-2, which was initially identified as L-ficolin, is a protein that in humans is encoded by the FCN2 gene. The product of this gene belongs to the ficolin family of proteins. This family is characterized by the presence of a leader peptide, a short N-terminal segment, followed by a collagen-like region, and a C-terminal fibrinogen-like domain. This gene is predominantly expressed in the liver, and has been shown to have carbohydrate binding and opsonic activities. Alternatively spliced transcript variants encoding different isoforms have been identified.
Source: HEK293
Storage: Please avoid repeated freeze-thaw cycles. Samples are stable for up to twelve months from date of receipt at -20℃ to -80℃ It is recommended that aliquot the reconstituted solution to minimize freeze-thaw cycles.
Reconstitution: Reconstitute at 250 μg/ml in sterile water.
Images
HA211174_1.jpg Fig1: Protein on SDS-PAGE under reducing (R) condition.
Note: All products are “FOR RESEARCH USE ONLY AND ARE NOT INTENDED FOR DIAGNOSTIC OR THERAPEUTIC USE”.