ME2 Rabbit Polyclonal Antibody
cat.: HA500022
Product Type: Rabbit polyclonal IgG, primary antibodies
Species reactivity: Human, Mouse, Rat
Applications: WB, IHC-P
Clonality: Polyclonal
Form: Liquid
Storage condition: Shipped at 4℃. Store at +4℃ short term (1-2 weeks). It is recommended to aliquot into single-use upon delivery. Store at -20℃ long term.
Storage buffer: 1*TBS (pH7.4), 0.2% BSA, 50% Glycerol. Preservative: 0.05% Sodium Azide.
Concentration: 1ug/ul
Purification: Immunogen affinity purified.
Molecular weight: Predicted band size: 65 kDa
Isotype: IgG
Immunogen: Recombinant protein within human ME2 aa 20-200.
Positive control: Daudi cell lysate, HL-60 cell lysate, rat stomach tissue lysate, mouse lung tissue lysate, human tonsil tissue, human liver carcinoma tissue, human spleen tissue.
Subcellular location: Mitochondrion matrix.
Recommended Dilutions:
  WB
  IHC-P

1:500-1:1,000
1:100-1:500
Uniprot #: SwissProt: P23368 Human | Q99KE1 Mouse
Alternative names: Malate dehydrogenase Malic enzyme 2 Malic enzyme 2 mitochondrial Malic enzyme 2 NAD(+) dependent mitochondrial Malic enzyme mitochondrial Malic enzyme NAD(+) dependent mitochondrial MAOM_HUMAN ME 2 ME2 mitochondrial NAD dependent malic enzyme mitochondrial NAD ME NAD-dependent malic enzyme NAD-ME ODS1 Pyruvic malic carboxylase
Images
HA500022_1.jpg Fig1: Western blot analysis of ME2 on Daudi cell lysates with Rabbit anti-ME2 antibody (HA500022) at 1/1,000 dilution.

Lysates/proteins at 20 µg/Lane.

Predicted band size: 65 kDa
Observed band size: 65 kDa

Exposure time: 6 seconds; ECL: K1801;

4-20% SDS-PAGE gel.

Proteins were transferred to a PVDF membrane and blocked with 5% NFDM/TBST for 1 hour at room temperature. The primary antibody (HA500022) at 1/1,000 dilution was used in primary antibody dilution (K1803) at 4℃ overnight. Goat Anti-Rabbit IgG - HRP Secondary Antibody (HA1001) at 1/50,000 dilution was used for 1 hour at room temperature.
HA500022_2.jpg Fig2: Western blot analysis of ME2 on different lysates. Proteins were transferred to a PVDF membrane and blocked with 5% BSA in PBS for 1 hour at room temperature. The primary antibody (HA500022, 1/500) was used in 5% BSA at room temperature for 2 hours. Goat Anti-Rabbit IgG - HRP Secondary Antibody (HA1001) at 1:5,000 dilution was used for 1 hour at room temperature.
Positive control:
Lane 1: Daudi cell lysate
Lane 2: HL-60 cell lysate
Lane 3: Rat stomach tissue lysate
Lane 4: Mouse lung tissue lysate
HA500022_3.jpg Fig3: Immunohistochemical analysis of paraffin-embedded human tonsil tissue using anti-ME2 antibody. The section was pre-treated using heat mediated antigen retrieval with Tris-EDTA buffer (pH 8.0-8.4) for 20 minutes.The tissues were blocked in 5% BSA for 30 minutes at room temperature, washed with ddH2O and PBS, and then probed with the primary antibody (HA500022, 1/200) for 30 minutes at room temperature. The detection was performed using an HRP conjugated compact polymer system. DAB was used as the chromogen. Tissues were counterstained with hematoxylin and mounted with DPX.
HA500022_4.jpg Fig4: Immunohistochemical analysis of paraffin-embedded human liver carcinoma tissue using anti-ME2 antibody. The section was pre-treated using heat mediated antigen retrieval with Tris-EDTA buffer (pH 8.0-8.4) for 20 minutes.The tissues were blocked in 5% BSA for 30 minutes at room temperature, washed with ddH2O and PBS, and then probed with the primary antibody (HA500022, 1/800) for 30 minutes at room temperature. The detection was performed using an HRP conjugated compact polymer system. DAB was used as the chromogen. Tissues were counterstained with hematoxylin and mounted with DPX.
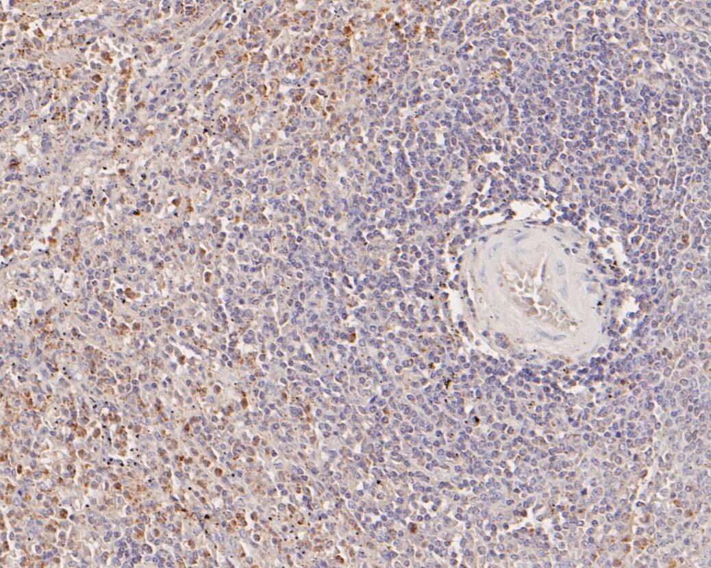
HA500022_5.jpg Fig5: Immunohistochemical analysis of paraffin-embedded human spleen tissue using anti-ME2 antibody. The section was pre-treated using heat mediated antigen retrieval with Tris-EDTA buffer (pH 8.0-8.4) for 20 minutes.The tissues were blocked in 5% BSA for 30 minutes at room temperature, washed with ddH2O and PBS, and then probed with the primary antibody (HA500022, 1/200) for 30 minutes at room temperature. The detection was performed using an HRP conjugated compact polymer system. DAB was used as the chromogen. Tissues were counterstained with hematoxylin and mounted with DPX.
Note: All products are “FOR RESEARCH USE ONLY AND ARE NOT INTENDED FOR DIAGNOSTIC OR THERAPEUTIC USE”.