PDE2A Rabbit Polyclonal Antibody
cat.: HA500055
Product Type: Rabbit polyclonal IgG, primary antibodies
Species reactivity: Human, Mouse
Applications: WB, IHC-P
Clonality: Polyclonal
Form: Liquid
Storage condition: Shipped at 4℃. Store at +4℃ short term (1-2 weeks). It is recommended to aliquot into single-use upon delivery. Store at -20℃ long term.
Storage buffer: 1*TBS (pH7.4), 0.2% BSA, 50% Glycerol. Preservative: 0.05% Sodium Azide.
Concentration: 1ug/ul
Purification: Protein A affinity purified.
Molecular weight: Predicted band size: 105 kDa
Isotype: IgG
Immunogen: Recombinant protein within human PDE2A aa 750-941.
Positive control: Human brain tissue lysate, Mouse lymphatic tissue lysate, human brain tissue, human kidney tissue.
Subcellular location: Cell membrane, Cytoplasm, Membrane, Mitochondrion, Mitochondrion inner membrane, Mitochondrion outer membrane.
Recommended Dilutions:
  WB
  IHC-P

1:500-1:1,000
1:1,000
Uniprot #: SwissProt: O00408 Human | Q922S4 Mouse
Alternative names: 5''-cyclic phosphodiesterase cGMP dependent 3'5' cyclic phosphodiesterase cGMP stimulated phosphodiesterase 1 cGMP stimulated phosphodiesterase 4 cGMP-dependent 3'' cGMP-stimulated phosphodiesterase 2 CGS PDE CGS-PDE cGSPDE Cyclic GMP stimulated phosphodiesterase Cyclic GMP-stimulated phosphodiesterase Human cGMP stimulated 3'5' cyclic nucleotide phosphodiesterase PDE 2A PDE 2A1 PDE 2A4 PDE2A PDE2A_HUMAN PDE2A1 PDE2A4 phosphodiesterase 2A Phosphodiesterase 2A cGMP stimulated
Images
HA500055_1.jpg Fig1: Western blot analysis of PDE2A on different lysates. Proteins were transferred to a PVDF membrane and blocked with 5% BSA in PBS for 1 hour at room temperature. The primary antibody (HA500055, 1/500) was used in 5% BSA at room temperature for 2 hours. Goat Anti-Rabbit IgG - HRP Secondary Antibody (HA1001) at 1:5,000 dilution was used for 1 hour at room temperature.
Positive control:
Lane 1: Human brain tissue lysate
Lane 2: Mouse lymphatic tissue lysate
HA500055_2.jpg Fig2: Immunohistochemical analysis of paraffin-embedded human brain tissue with Rabbit anti-PDE2A antibody (HA500055) at 1/1,000 dilution.

The section was pre-treated using heat mediated antigen retrieval with Tris-EDTA buffer (pH 9.0) for 20 minutes. The tissues were blocked in 1% BSA for 20 minutes at room temperature, washed with ddH2O and PBS, and then probed with the primary antibody (HA500055) at 1/1,000 dilution for 1 hour at room temperature. The detection was performed using an HRP conjugated compact polymer system. DAB was used as the chromogen. Tissues were counterstained with hematoxylin and mounted with DPX.
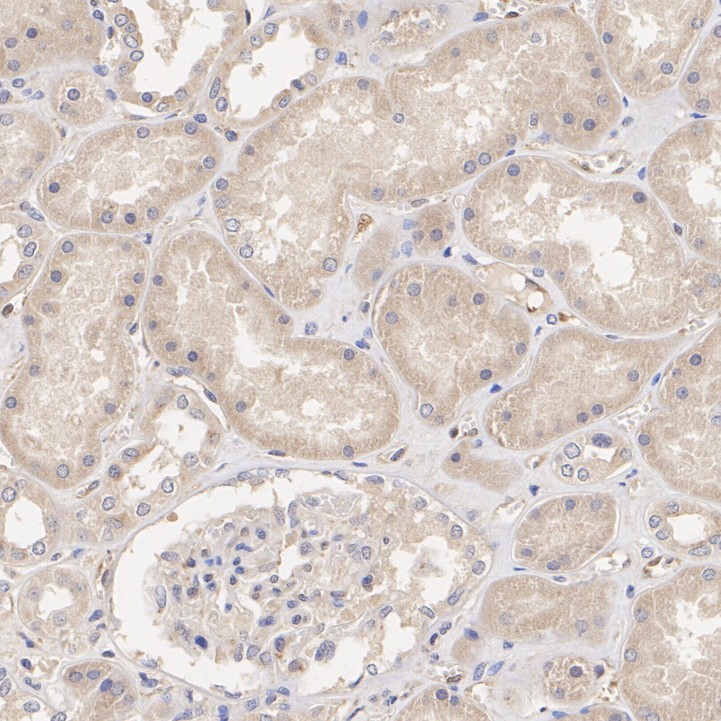
HA500055_3.jpg Fig3: Immunohistochemical analysis of paraffin-embedded human kidney tissue with Rabbit anti-PDE2A antibody (HA500055) at 1/1,000 dilution.

The section was pre-treated using heat mediated antigen retrieval with Tris-EDTA buffer (pH 9.0) for 20 minutes. The tissues were blocked in 1% BSA for 20 minutes at room temperature, washed with ddH2O and PBS, and then probed with the primary antibody (HA500055) at 1/1,000 dilution for 1 hour at room temperature. The detection was performed using an HRP conjugated compact polymer system. DAB was used as the chromogen. Tissues were counterstained with hematoxylin and mounted with DPX.
Note: All products are “FOR RESEARCH USE ONLY AND ARE NOT INTENDED FOR DIAGNOSTIC OR THERAPEUTIC USE”.