Syk Rabbit Polyclonal Antibody
cat.: HA500080
Product Type: Rabbit polyclonal IgG, primary antibodies
Species reactivity: Human, Rat
Applications: WB, IF-Cell, IHC-P
Clonality: Polyclonal
Form: Liquid
Storage condition: Shipped at 4℃. Store at +4℃ short term (1-2 weeks). It is recommended to aliquot into single-use upon delivery. Store at -20℃ long term.
Storage buffer: 1*TBS (pH7.4), 0.2% BSA, 50% Glycerol. Preservative: 0.05% Sodium Azide.
Concentration: 1ug/ul
Purification: Immunogen affinity purified.
Molecular weight: Predicted band size: 72 kDa
Isotype: IgG
Immunogen: Recombinant protein within human Syk aa 1-200.
Positive control: Raji cell lysate, Daudi cell lysate, MCF-7, PANC-1, human spleen tissue, rat kidney tissue, rat heart tissue.
Subcellular location: Cell membrane, Cytoplasm, Membrane.
Recommended Dilutions:
  WB
  IF-Cell
  IHC-P

1:500-1:1,000
1:50-1:200
1:200-1:1,000
Uniprot #: SwissProt: P43405 Human | Q64725 Rat
Alternative names: EC 2.7.10.2 kinase Syk KSYK KSYK_HUMAN p72-Syk p72syk Spleen tyrosine kinase Syk Tyrosine protein kinase SYK Tyrosine-protein kinase SYK
Images
HA500080_1.jpg Fig1: Western blot analysis of Syk on different lysates. Proteins were transferred to a PVDF membrane and blocked with 5% BSA in PBS for 1 hour at room temperature. The primary antibody (HA500080, 1/500) was used in 5% BSA at room temperature for 2 hours. Goat Anti-Rabbit IgG - HRP Secondary Antibody (HA1001) at 1:5,000 dilution was used for 1 hour at room temperature.
Positive control:
Lane 1: Raji cell lysate
Lane 2: Daudi cell lysate
HA500080_2.jpg Fig2: ICC staining of Syk in MCF-7 cells (green). Formalin fixed cells were permeabilized with 0.1% Triton X-100 in TBS for 10 minutes at room temperature and blocked with 1% Blocker BSA for 15 minutes at room temperature. Cells were probed with the primary antibody (HA500080, 1/200) for 1 hour at room temperature, washed with PBS. Alexa Fluor®488 Goat anti-Rabbit IgG was used as the secondary antibody at 1/1,000 dilution. The nuclear counter stain is DAPI (blue).
HA500080_3.jpg Fig3: ICC staining of Syk in PANC-1 cells (green). Formalin fixed cells were permeabilized with 0.1% Triton X-100 in TBS for 10 minutes at room temperature and blocked with 1% Blocker BSA for 15 minutes at room temperature. Cells were probed with the primary antibody (HA500080, 1/50) for 1 hour at room temperature, washed with PBS. Alexa Fluor®488 Goat anti-Rabbit IgG was used as the secondary antibody at 1/1,000 dilution. The nuclear counter stain is DAPI (blue).
HA500080_4.jpg Fig4: Immunohistochemical analysis of paraffin-embedded human spleen tissue with Rabbit anti-Syk antibody (HA500080) at 1/1,000 dilution.

The section was pre-treated using heat mediated antigen retrieval with Tris-EDTA buffer (pH 9.0) for 20 minutes. The tissues were blocked in 1% BSA for 20 minutes at room temperature, washed with ddH2O and PBS, and then probed with the primary antibody (HA500080) at 1/1,000 dilution for 1 hour at room temperature. The detection was performed using an HRP conjugated compact polymer system. DAB was used as the chromogen. Tissues were counterstained with hematoxylin and mounted with DPX.
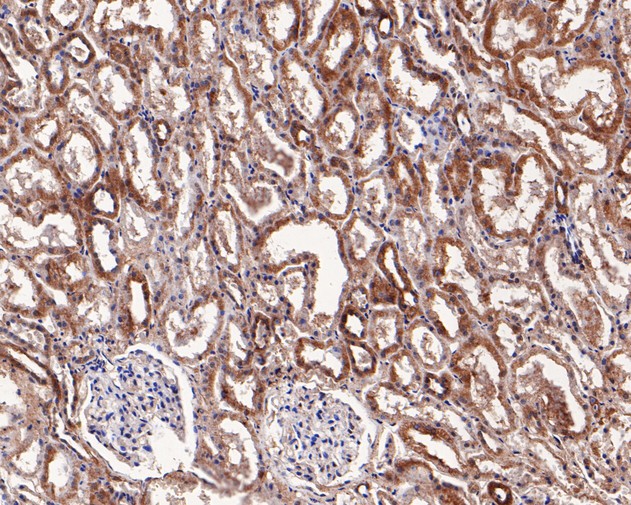
HA500080_5.jpg Fig5: Immunohistochemical analysis of paraffin-embedded rat kidney tissue using anti-Syk antibody. The section was pre-treated using heat mediated antigen retrieval with Tris-EDTA buffer (pH 8.0-8.4) for 20 minutes.The tissues were blocked in 5% BSA for 30 minutes at room temperature, washed with ddH2O and PBS, and then probed with the primary antibody (HA500080, 1/200) for 30 minutes at room temperature. The detection was performed using an HRP conjugated compact polymer system. DAB was used as the chromogen. Tissues were counterstained with hematoxylin and mounted with DPX.
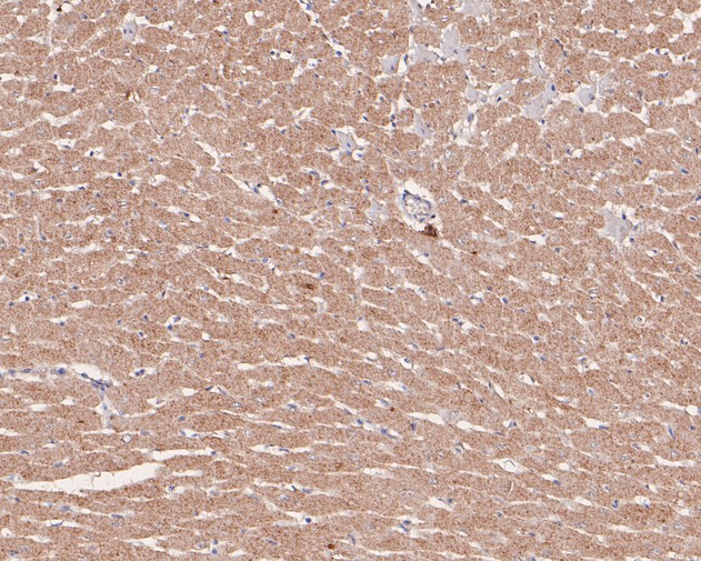
HA500080_6.jpg Fig6: Immunohistochemical analysis of paraffin-embedded rat heart tissue using anti-Syk antibody. The section was pre-treated using heat mediated antigen retrieval with Tris-EDTA buffer (pH 8.0-8.4) for 20 minutes.The tissues were blocked in 5% BSA for 30 minutes at room temperature, washed with ddH2O and PBS, and then probed with the primary antibody (HA500080, 1/200) for 30 minutes at room temperature. The detection was performed using an HRP conjugated compact polymer system. DAB was used as the chromogen. Tissues were counterstained with hematoxylin and mounted with DPX.
Note: All products are “FOR RESEARCH USE ONLY AND ARE NOT INTENDED FOR DIAGNOSTIC OR THERAPEUTIC USE”.